腓骨远端这个位置参与构成踝关节,所以一旦损伤,通常可能会伴有踝关节周边的韧带损伤或者是关节软骨的损伤,也有可能存在着踝关节的远端骨折,由于位置恢复的不是特别好,所以导致患者存在着症状,伤后三个月还会疼痛。这样的患者其实很多,所以今天我们把几种常见的情况和大家分析下!

腓骨远端的韧带损伤
腓骨与胫骨之间连接着很多比较复杂的韧带,那么在扭伤的时候就有可能造成腓骨与胫骨之间韧带的撕裂,如果在扭伤的当时没有发现,那么就有可能造成踝关节的不稳定,患者在行走的过程当中关节不稳自然就会导致疼痛。
通常情况下容易受损伤的是距腓前韧带韧带以及下胫腓韧带。

明确是否存在距腓前韧带韧带损伤可以通过核磁检查,如果下胫腓韧带撕裂的比较明显,那么在x线上我们可以看到下胫腓关节的间隙有明显的增宽。

因为三个月左右的时间确实比较长了,此时如果再通过一些其他的保守治疗,可能很难将韧带的张力和强度恢复了,此时要找专业的足踝外科医生或者是运动医学科医生查体,结合辅助检查,明确到底是否需要进行手术治疗重建或者是修复松弛的韧带,关节的稳定性恢复以后症状自然也就消失了。
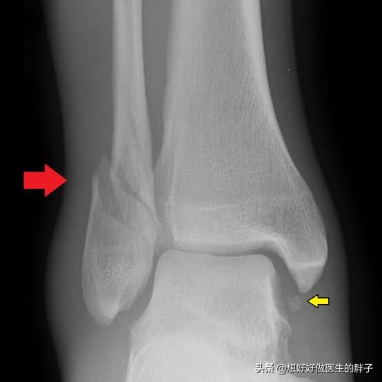
腓骨远端的螺旋骨折
在踝关节的损伤当中,有一种情况叫螺旋骨折,这种骨折在踝关节扭伤当中非常的常见。在损伤当时拍x线的时候,通常情况下骨折离断的并不是特别的明显,整体形态看着还可以,所以很多人采取了保守治疗。但是x线检查通常是平面的检查,它并不能代替整个三维情况的表现,一些螺旋骨折的患者往往需要进行手术治疗,因为这种骨折不是属于稳定骨折,很有可能保守治疗效果不好,骨折断裂的距离会越来越大。

如果是这种情况导致三个月的时间踝关节还疼,应该复查x线,明确骨折恢复的情况,此时已经错过了最佳的治疗时间,如果强行手术将已经形成骨痂的部分重新打开,将会造成比较大的创伤。所以如果不是情非得已还是要考虑进行保守治疗,如果疼痛比较明显,可以口服或者是外用一些镇痛药物帮助控制疼痛,要加强踝关节的康复锻炼。尽量的减少长时间的负重行走,给踝关节一个恢复的机会,有的时候症状慢慢的就会消失掉。
踝关节的软骨损伤
其实踝关节的损伤,最讨厌的还是踝关节软骨的损伤,因为软骨一旦损伤之后,就有可能导致创伤性的关节炎,患者将会面临长时间的关节疼痛和日益加重的关节变形。
通常情况下踝关节的损伤比较容易导致软骨的损伤,因为踝关节周边肌肉力量并不是特别强,虽然有的时候扭伤并不会造成骨折,但是一个过度的撞击就有可能损伤到关节腔的软骨。
这种情况通常要进行踝关节核磁检查,明确关节腔软骨是否存在退变,因为在普通x线上,我们看不见关节软骨。

如果明确了存在关节软骨的损伤,早期我们可以通过控制体重、加强踝关节功能的康复锻炼,可以尝试关节内注射玻璃酸钠或者是prp帮助促进损伤的修复,观察能否帮助患者缓解症状。如果疼痛比较明显,可以考虑进行关节镜手术,观察能否帮助患者减轻症状。三个月的时间个人倾向认为还是以保守治疗为主,暂时可以不用手术。
踝关节康复锻炼
现在损伤已经三个月左右的时间了,使用双拐负重仍然会疼痛,也不排除关节损伤以后存在着肌肉萎缩或者是踝关节的粘连,所以适当的进行一些科学合理的康复锻炼帮助自己缓解症状是可以的,以下是一些简单的康复锻炼办法,每个动作建议以5~15次为一组,每天做2~3组,坚持做一段时间观察能否缓解症状,另外在康复锻炼的过程当中,如果哪一个动作诱发明显的疼痛可以及时停止,千万别强求。






总结
踝关节扭伤由于在受伤的当时往往得不到重视,之后症状加重也是很正常的,先不要焦虑!
这种情况在临床上非常的常见,建议题主最好要复查踝关节的x线片子以及核磁检查,一定要找专业的足踝科医生或者是运动医学科医生进行复查,观察自己的问题,到底在哪里之后,根据医生的建议选择科学合理的办法,帮助自己缓解症状、消除症状。
另外在恢复的过程当中一定要注意康复锻炼的重要性,可以咨询当地专业骨科康复科的医生的帮助,如果没有这样的条件,可以按照文中的办法简单帮组自己减轻症状。如果您还有其他的疑惑,可以在下方留言,大家共同探讨。
我是坚持用简单语言解释复杂疾病知识的谢新辉,码字不易,如果能赞同我的观点,请帮忙点个关注或点个赞吧,如果您或者是您的家人朋友也有踝关节扭伤这方面的困扰,请把这篇文章转发给需要的他们吧,谢谢了!

#谢医生科普小站# #健康科普排位赛# #真相来了# @生命召集令 @头条健身 @健康真相官 @头条健康 @头条辟谣