临床中,坐骨神经常在梨状肌周围受卡压或刺激,而出现臀部及坐骨神经分布区域的疼痛或麻木等一系列综合症状,称之为 梨状肌综合征(Piriformis syndrome) ,最早由Yeoman于1928年首次描述,并认为与坐骨神经解剖变异有关。据文献报道,约6%的下肢放射痛是因梨状肌综合征引起的。

图示: P:梨状肌(piriformis muscle),SN:坐骨神经(sciatic nerve) ,SP:骶丛,STL:骶结节韧带,SG:上孖肌,OI:闭孔内肌,IG:下孖肌
梨状肌(Piriformis muscle)
梨状肌 起于S2-4椎体前面,向外穿坐骨大孔出骨盆,止于股骨大转子。其与坐骨大孔上、下缘之间各形成一间隙,分别为 梨状肌上孔 和 梨状肌下孔 ,它们分别被一些重要的血管神经穿过,对我们理解梨状肌综合征相关临床症状很重要。

图示: 穿过梨状肌上下孔的结构 。穿过梨状肌上孔有臀上动静脉和臀上神经,而穿过梨状肌下孔的有坐骨神经、股后皮神经、臀下神经及动静脉,阴部神经及阴部内动静脉。其中臀上神经支配臀中、小肌和阔筋膜张肌后部,臀下神经支配臀大肌及臀下部皮肤, 阴部神经支配生殖器及会阴部皮肤 。
坐骨神经与梨状肌的位置关系
在臀部,坐骨神经与梨状肌的位置关系甚为密切,且常有变异。 1937年Beaton 和Anson将坐骨神经与梨状肌相关解剖变异分为6型,并认为坐骨神经异常的结构变异是引起梨状肌综合征的主要原因,并写进了教科书。

图示: 梨状肌与坐骨神经关系的Beaton-Anson分型 。梨状肌(粗箭头)、坐骨神经(细箭头)、坐骨神经的腓总神经部分(虚箭头)和坐骨神经的胫神经部分(弯曲箭头)。据报道, 1型最常见(84.2%),为正常型 ,2型次之(11.7%)为变异型,而其他变异型约占4.1%。
无论 梨状肌与坐骨神经关系有多么密切,梨状肌综合征可影响正常或变异的坐骨神经解剖结构的患者,而具有变异解剖结构的患者却通常无症状。最近, Bartret等的研究对教科书的经典理论(梨状肌综合征主要因坐骨神经变异的解剖结构引起的)提出质疑 ,他们通过大样本臀部MRI研究发现,坐骨神经变异型约占19.2%,且坐骨神经变异型与梨状肌综合征的发生没有关系。用他们的话说, Variant anatomy is a “normal variant of uncertain clinical significance”(变异型是一个没有临床意义的正常变异)。


图示:最新研究,发现梨状肌的解剖变异没有临床意义

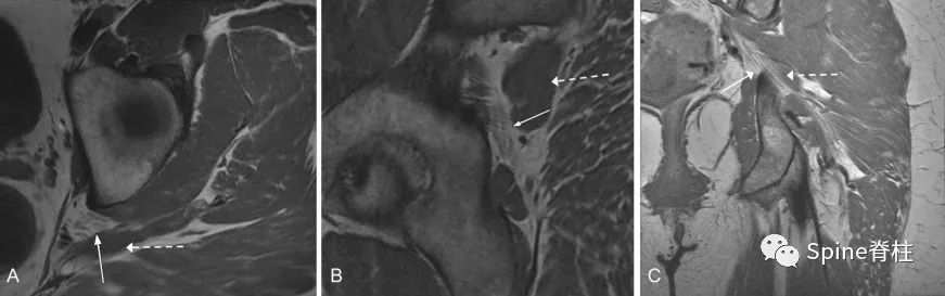
图示:MRI T1像的 Beaton-Anson 1型 ( 最常见的坐骨神经解剖,被认为是正常型 )。坐骨神经的胫神经与腓总神经部分(细箭头)位于梨状肌(虚箭头)的前面。轴位(A)、矢状位(B)和冠状位(C)平面。

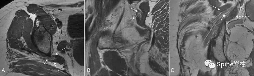
图示:MRI T1像的 Beaton-Anson 3型 。坐骨神经的腓总神经部分(白色细箭头)在梨状肌的后面(白色虚线箭头),胫神经部分(白色粗箭头)在前面。轴位(A)、矢状位(B)和冠状位(C)平面。

图示:MRI T1像的 Beaton-Anson 4型 。坐骨神经(细箭头)穿过梨状肌(虚线箭头)走行。轴位(A)、矢状位(B)和冠状位(C)平面。
深部臀肌综合征(Deep gluteal syndrome,GDS)
最近, 也有学者质疑梨状肌综合征这个诊断 ,他们认为很多臀部疾病不是因梨状肌周缘病变引起的也被统称为梨状肌综合征。臀部坐骨神经卡压或被刺激,不仅仅因梨状肌,也可因腘绳肌、臀部的纤维带、臀部结核或占位性病变导致。因此,称为 深部臀肌综合征 更为恰当。



图示: 臀深部区域 。尸体臀部的臀大肌被切除。1:坐骨神经,2:梨状肌,3:骶结节韧带,4:腘绳肌,5:闭孔内肌,6:股四头肌部分,7:小转子,8:大转子。
梨状肌综合征的临床表现
患者多有臀部外伤或受凉史,女性多见,最典型的症状为 臀深部疼痛(97.9%) 和 坐骨神经支配区的放射痛(81.9%) ,咳嗽、喷嚏或腹压增加会加重疼痛,严重者,患肢不能伸直,自觉下肢短缩,步履跛行,病史较长者可伴有患肢肌肉萎缩。值得注意的是, 部分患者伴有性功能障碍或会阴部麻木,是因上述阴部神经受刺激导致的 。由于中国人这方面比较隐晦,所以问病史时,应反复询问确认。
梨状肌综合征的体征
回顾文献,梨状肌综合征的阳性体征较多,比如:Freiberg sign、Pace sign、SFAIR test 、Seated piriformis stretch test、Active piriformis test 等等。
1、梨状肌综合征的典型体位表现

2、臀部压痛(触诊)
梨状肌深部压痛,可触及条索状或弥漫性肌束隆起。

图示: 触诊臀肌深间隙。(A)坐骨大切迹(黑色轮廓)。梨状肌(以红色表示)和坐骨神经(以黄色表示)。(B)坐骨外侧(实心红线)。腘绳肌(红线)和坐骨神经(以黄色表示)。(C)坐骨内侧。骶结节韧带(以蓝色表示)和阴部神经(黄线)。
3、梨状肌紧张试验
患者仰卧位于检查床上,将患肢伸直,做内收内旋动作,如坐骨神经有放射性疼痛,再迅速将患肢外展外旋,疼痛随即缓解,即为梨状肌紧张试验阳性。
4、直腿抬高试验
患肢在直腿抬高60°以前疼痛显著阳性,但抬高超过60°,损伤的梨状肌不再被拉长,疼痛反而减轻。


4、FAIR test
(Flexion, adduction and internal rotation)
患者取侧卧位,面向检查者。检查者用一只手抓住脚踝,另一只手按压臀部,使患肢弯曲、内收和内旋,产生臀部疼痛及放射痛为阳性。


5、Seated piriformis stretch test
病人坐在检查台边缘。髋关节屈曲而膝关节伸直。当触诊坐骨大切迹时,检查者内旋内收患肢以引发症状。


6、Active piriformis test
患者取侧卧位,将脚后跟蹬向桌面,并主动外展外旋(黄色箭头)对抗阻力(橙色箭头)。检查者将一只手放在梨状肌水平,另一手放置在患膝。


但值得注意的是, 梨状肌综合征可能有某几个体征同时阳性,但不是所有的体征均为阳性 。文献报道,Seated piriformis stretch test 结合Active piriformis test 诊断梨状肌综合征, 敏感性为91%,特异性为80% 。现在骨科分科较细,有时脊柱外科医生忽略臀部相关疾病的查体,导致误诊误治。虽然目前影像学检查逐渐丰富多样,但并不能代替有效的体格检查。
梨状肌综合征的辅助检查
梨状肌综合征的影响学检查,主要依靠 臀部MRI ,但需排除臀部转移性恶性肿瘤、臀部结核等刺激坐骨神经。另外,随着内镜技术的发展,梨状肌综合征也可在 内镜下 诊断和治疗。

局麻内镜椎间盘摘除术后梨状肌综合征
值得脊柱外科医生关注的是,韩国学者Kim等发现局麻下经皮内镜下椎间盘摘除术后(PELD)梨状肌综合征的发生率为 40.4%(61/151) ,远远高于梨状肌综合征的整体人群发生率(13.7%),且多在术后1月左右出现症状,导致有些人误诊为腰椎间盘突出的复发。他们认为, 局麻下PELD术后梨状肌综合征高发与术中患者焦虑有关 ,术中焦虑可引起臀部肌肉异常紧张、痉挛,从而容易出现梨状肌综合征。


参考文献:
Hernando. Skeletal Radiol. 2015; 44:919–934
Martin.J Hip Preserv Surg.2015;2(2):99-107
Fishman. Arch Phys Med Rehabil.2002;83(3):295-301
Martin. Knee Surg Sports Traumatol Arthrosc. 2014; 22:882–888
Kim. Eur Spine J. 2011; 20:1663–1668
Bartret. European Radiology. 2018; 28:4681–4686
王怀经. 局部解剖学. 人民卫生出版社(八年制,第一版)