医学影像征象解析汇集
消化系统部分(四)
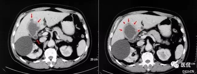
19 珍珠项链征又名珍珠项圈征
【影像表现】在CT或MRCP及T2W I上增厚的胆囊壁中多发、微小圆点状的高信号囊腔,大小2~7mm,一般为4mm,形似珍珠项圈。
【征象解释】胆囊肌层及上皮增生、肥大,粘膜外翻进入肌层形成罗-阿氏窦。因为罗-阿氏窦内充满胆汁,在MRCP或T2WI增厚的胆囊壁内可呈显著高信号点。
【讨论】胆囊腺肌瘤病是胆囊上皮及肌层增生,粘膜向增厚的肌层内突出或穿过肌层形成罗-阿氏窦,是胆囊的一种常见疾病。发病率为2.8%~5%或更高,常表现为胆囊壁的局限性或弥漫性增厚,因此必须与胆囊癌鉴别。
胆囊腺肌瘤病有3种分型:弥漫型、节段型、局限型。因为有这种形态变异,它可表现为弥漫性胆囊壁增厚或局限性、局灶性损害,可能被误以为胆囊癌口因此,胆囊腺肌瘤病与胆囊癌的影像学区别是非常重要的口病理学上,胆囊腺肌瘤病的特征表现是增厚的胆囊肌层中看到罗-阿氏窦,罗-阿氏窦的发现是诊断胆囊腺肌瘤病的关键点。
在静脉胆道造影中充满造影剂的罗-阿氏窦被认为是胆囊腺肌瘤病的特异性病征,也称为珍珠项链征。然而,罗-阿氏窦的显示率相对较低(大约5%),因为胆囊不可能一直充满造影剂。虽然,静脉胆道造影检查前服脂肪餐可能改善罗-阿氏窦的显示,但还是不够;而且,静脉胆道造影用的造影剂频繁发生变态反应,有时可能导致过敏性休克口目前,对于胆囊疾病的非创性且方便的检查方法首选US。虽然US对胆囊腺肌瘤病的诊断有一定的敏感性,但因为它依赖操作者的经验,所以有一定的不确定性,其观察视野小、肠道气体、肥胖及与结石共存使US在胆囊壁的评估仁有一定困难。因此,Us在胆囊腺肌瘤病的诊断准确率只有60%。
CT及MRI可发现胆囊壁的局限性或弥漫性增厚,以及病变处勒膜层的早期强化和浆膜层的延迟强化,但很难与胆囊炎和胆囊癌相鉴别。罗-阿氏窦内含胆汁,在T2WI上表现为胆囊壁肿块内或增厚的胆囊壁内直径为4~7mm的类圆形高信号灶;在动态增强扫描图像上,表现为增强的肿块内或增厚的胆囊壁内不强化的低或无信号灶。由于动脉期CT或MRI增强比较低的对比度与空间分辨率,较多小的罗-阿氏窦无法显示,动脉期CT或MRI能鉴别最小直径5mm的罗-阿氏窦,而MRCP能鉴别的最小直径是3mm,MRI重T2加权快速自旋回波序列在胆囊腺肌瘤病中的诊断价值已经被研究,因为罗-阿氏窦充满胆汁,在增厚的胆囊壁中可呈显著高信号点。单次激发快速SE序列MRCP很少出现运动伪影和磁敏感性伪影,对于显示罗-阿氏窦,单次激发快速自旋回波序列MRI比动脉期CT或MRI增强扫描及重T2加权快速自旋回波序列更可靠。
珍珠项链征在诊断胆囊腺肌瘤病方面特异性较高,达92%。因此,在诊断胆囊腺肌瘤病和鉴别胆囊腺肌瘤病与胆囊癌中是较为特异性的。MRCP对于显示<3mm的罗-阿氏窦有一定困难。胆囊囊壁内钙化在CT上能帮助诊断胆囊腺肌瘤病,而在MRCP上可能成为一个陷阱。浓胆汁比正常胆汁有更短的T1时间,浓胆汁患者罗-阿氏窦可能无法鉴别。因此珍珠项链征在这些患者中不能被鉴别,特别是用长回波时间的MRCP技术。浓胆汁T1时间短,在T1W I中显示为高信号强度。因此T2W I可能对证明罗-阿氏窦有帮助。因为胆囊壁内脓肿或黄色肉芽肿的存在。黄色肉芽肿性胆囊炎可能显示类似的珍珠项链征。胆囊腺肌瘤病与胆囊癌有时可以共存,员然很少见,但有这样的病例限制了珍珠项链征鉴别胆囊腺肌瘤病与胆囊癌。因此,那些局部胆囊腺肌瘤病的患者特别要密切随访检查,即使在MRCP图像上已明确异示珍珠项链征。

20 囊中囊征又名子囊征
【表现】肝细粒棘球蚴病在B超和CT检查时,母囊内出现大小不一、数目不等的子囊,形成多发或蜂窝状,有时呈车轮状。
【解释】囊中囊征为囊型肝棘球蚴病的特征性表现,母囊即为棘球蚴囊本身,子囊山母囊生发层产生的生发囊或头节。生发囊脱落于囊中,形成子囊,漂浮于母囊中,形成特征性的囊中囊征。
【讨论】肝棘球蚴病即包虫病,是由棘球锄寄生于肝脏引起的,其发生率居人体棘球蚴病首位,占人休棘球蚴病的53%~75%。主要流行于牧区,患.者有牧认生活史或与犬、羊及其皮毛接触史。
肝棘球蚴病分为两型,山细粒棘球蚴虫卵感染引起的细粒棘球蚴病和山泡状棘球蚴虫卵感染引起的多房棘球蚴病。细粒棘球蚴病约占98%,泡型棘球蚴病少见。两型棘球蝴病的感染途径相同,虫卵被吞食后在小肠内孵出六钩蚴,黝经肠壁血管随血流经门静脉入肝,逐渐发育成肝棘球蚴囊,但其在肝内发生病理改变不同。囊中囊征可见于细粒棘球蚴病。
细粒棘球蚴形成的棘球蚴囊多寄生在肝右叶,常单发,少数多发,呈缓慢膨胀式生长,逐渐长大成巨囊。在生长过程中,棘球蚴囊周围炎症反应形成较厚的纤维性包膜,构成了棘球蚴囊的外囊。棘球蚴囊本身为内囊口外、内囊之问有丰富的血管可保证棘球蚴囊的血供。内囊很薄,山外层的角皮层和内层的生发层组成。角皮层起到保护生发层和吸收营养的作用;生发层有很强的繁殖能力,可向囊腔内生成带细蒂的生发囊,内含许多头节。生发囊脱落于囊中,形成子囊,漂浮于母囊中。头节也可产生子囊。子囊与母囊相同,可继续产生生发囊或孙囊,形成祖孙三代共处一囊中。囊壁破裂为严重的并发症。囊内含有毒性蛋白的液体,可引起变态反应,甚至发生过敏性休克;破裂出的头节种植于腹腔继发新棘球蚴囊。长期生长的棘球蚴囊内囊壁可发生钙化。
临床表现.呈慢性过程,早期可无症状,或出现变态反应。进展期囊肿增大,出现腹胀、食欲缺乏、肝大。常伴有右胸腔积液。实验室检查血嗜酸性粒细胞增多,囊液抗原皮内试验和补体结合试验阳性。
肝棘球蝴囊肿的超声特点与一般囊肿相似,可见单囊或多囊的无回声区。依据其特征分为单囊划、多囊型、噢沙型、混合型和母子囊型。可见囊中囊,即母子囊回声和钙化囊壁的强回声,少数囊内不均匀细粒状、条带状、岛屿状的囊沙回声。
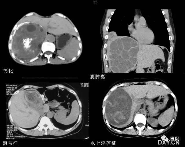
细粒棘球蚴病的CT表现颇具特征性,在肝棘球蚴病的诊断,棘球蚴囊肿的定位,了解囊肿数目、大小和形态及并发症方面,CT是一种主要的检查手段。主要表现有:1)单纯囊肿型,肝棘球蚴囊肿大小不一,单发或多发,呈圆形或类圆形,有时呈浅的分叶轮廓,病灶边缘光整、清晰口囊壁密度略高于肝组织,囊壁厚为1~5mm,内外囊壁紧贴,有文献报道,单纯囊肿型可形成双层囊壁结构,显示双壁征。钙化或合并感染时,囊壁明显增厚。囊内密度均匀一致,CT值为-15~25Hu,单纯清澈的囊液密度呈水样,干涸或合并感染时密度升高,注射造影剂后密度不变(无强化)。2)囊内囊,母囊内出现子囊,即囊中囊征,为肝棘球蚴病的特征性表现,文献报道出现率为52. 1%。子囊的数目和大小不一。而且无钙化的子囊密度总是低于母囊,近周边部新生的子囊密度常低于中心部较陈旧的子囊,因而易被CT显示。多个子囊充满母囊时呈多房状或蜂窝状改变,如主要分布在母囊的周边部分则呈车轮状。3)钙化也为常见表现,外囊壁钙化呈弧形或蛋壳状,厚薄可不规则,囊内容物(母囊碎片、退化的头节和子囊)钙化常呈无定形的条片状或片状。4)母囊破裂分离,丙感染、损伤或囊液外漏,可造成内囊分离,有以下几种表现:内、外囊部分分离,CT图像显示为双边征、天幕征;内囊完全分离、塌陷、卷缩并悬浮于囊液中,形成特征性水蛇征、水上浮莲征或水上百合征。偶尔完全分离脱落的内囊撒开呈飘带征。5)并发症以感染最为常见,感染性棘球蚴囊肿有以下特点;囊内密度增高;囊壁增厚;偶见气泡影或形成气-液平面,在排除手术或穿刺术后,被认为是肝棘球蚴囊肿感染的可京征象。此外,因手术或自发破裂后,含头节的囊液流入膜腔内,形成腹腔内棘球蚴囊肿,偶尔可破入胸腔内。
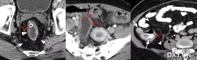
上述各种征象可在同一病例的不同囊内甚至同一囊内见到。CT和B超均为本病的重要检查方法,依据肝棘球蚴病的特征表现囊中囊征等,CT诊断准确率达99%。CT显示各种形态的钙化优于超声,而超声较易发现子囊的壁及囊中碎片等。

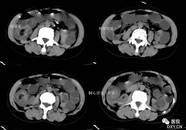
21 靶征(肠套叠)
是肠套叠最常见的特征性CT征像,为肠套叠长轴与CT扫描层面垂直时的表现,反映了套叠的各层肠壁、肠腔及肠系膜间的关系。典型排列为自外向内分别代表鞘部外层肠壁、鞘部肠腔内造影剂、鞘部内层肠壁、偏心性套入部肠系膜、套入部肠壁、套入部肠腔内造影剂。:
肠套叠是指一段肠管及与其相连的肠系膜(套入部)被套如其相连的一段长管内(鞘部),导致肠内容物通过阻碍。婴儿由于大肠与小肠管径之比例相差大。故小肠易陷入大肠而被套牢。少数肠套叠可能来自某些器质性病变如美凯尔憩室、肠息肉、异位胰腺小结、血管瘤、异物、复制肠管、淋巴增生、肿瘤、寄生虫等,其中以美凯尔憩室最多,过敏性紫斑也常会合并肠套叠,大于2岁的小孩发生肠套叠,一定要考虑到这些病变。大于5岁的病例中,则以淋巴瘤为最多;成人肠套叠小肠多见,常伴发良性病变;结肠型肠套叠则更多由恶性病变继发。良性病变有脂肪瘤、平滑肌瘤、血管瘤、神经纤维瘤、腺瘤样息肉、美克尔憩室、术后粘连机场动力性病变等;恶性病变有转移瘤、腺癌、类癌、淋巴瘤及平滑肌肉瘤等。由于肠套叠长轴与CT扫描层面的角度不同,表现各异。如扫描层面和迂曲的肠道相平行时,表现为彗星尾征或肾形征:即套叠近端肠系膜血管牵拉聚拢的征象。一般情况下,慧星尾征均与肾型肿块相伴出现。该肾形肿块为套鞘部游离缘与套入部近端肠管及肠系膜的CT斜切面图像,其中游离的套鞘呈弧形围绕套入部,形状若肾轮廓外形,而套入部近端肠管、肠系膜形状若肾蒂。此时,所谓慧星尾征的组成还应包括套入近端肠管。如果套叠的肠管与CT扫描垂直,则呈靶形征,即肿块影表现为圆形或类似环形。通常在肿块内可分辨出层样结构,推测可能是继发于套入部和鞘部间的液体或是肠壁水肿造成密度对比,类似同心圆形;当套入部肠壁显著水肿坏死或套入部肿瘤周围浸润累及肠系膜,肠系膜血管及脂肪、套叠时间较长,套入部系膜血管受挤压时,静脉血液回流障碍,套入部肠壁充血水肿、变硬,形成不完全性肠梗阻,套叠以上肠管蠕动增强,可引起代偿性肠管扩张肥厚,并可见肠系膜连同其血管纠集、扭曲,形成“漩涡征”。
成人肠套叠还有一些间接征象可帮助诊断,如肠壁不规则增厚或见密度不均匀的软组织块影,伴周围系膜及筋膜浸润、腹膜后淋巴结增大,则提示病因是恶性肿瘤。肿瘤所致肠壁水肿、坏死与部分炎症引起的套叠无法明确区分,肠壁及肠系膜血管有增厚伴肠壁内气体影的征象可提示血运障碍。如CT显示肠套叠直接征象、并伴随近段肠梗阻征象,则表示套入时间较长。如果套入部肠壁及鞘部组织发生水肿、变硬,形成不完全性肠梗阻,套叠以上肠管蠕动增强,可引起代偿性肠管扩张肥厚。

肠套叠形成的“靶征”

扫描层面和迂曲的肠道相平行时,表现为彗星尾征或肾形征:即套叠近端肠系膜血管牵拉聚拢的征象。
22 靶征(肠壁)
主要见于腹部增强扫描,增后的肠壁表现为三层结构,内层和外层是高密度强化层,两者之间是低密度的中间层。
靶征出现于可导致长鼻粘膜水肿、炎症或两者同时存在的多种肠管病变。其内层代表粘膜层,外层代表固有层和浆膜层,由于对比剂的强化而成高密度,中层的低密度被认为是由于粘膜下层水肿所致。靶征的出现提示粘膜和固有层、浆膜层的充血并伴有粘膜下水肿和炎症。颈静脉注射对比剂后,各层之间的密度差异在动脉早期和门晚期表现最为清楚,如果对比剂注入速度太慢、剂量太少以及延时超过2分钟,此征根本不出现。但是当粘膜下水肿非常严重时,CT平扫也可能出现。如果肠管内充满水而使肠管扩张时,靶征显示更为清楚。
CT扫描时,良性的肠管病变通常表现为肠壁的环形均匀性增厚,厚度从粘膜面到浆膜面一般不超过1公分,根据病因和病变严重程度的不同,偶尔可能超过1公分,但一般在2公分以内。肠壁出现靶征的病变主要见于缺血性肠病、小肠壁内出血、克隆氏病、溃疡性结肠炎、血管性疾病、感染性疾病、放射疾病和门脉高压所致肠粘膜水肿等。靶征并不是一个特异征象,但是在恶性病变中一般不出现此征,只是浸润性直肠癌是一个例外。
所以,一般情况下,靶征的出现,首先要考虑的是肠道的炎症性病变。以下病例是一个系统性红斑狼疮的年轻女性患者:

23 不成比例脂肪绞缠征
不成比例脂肪绞缠主要指的是增厚肠壁和周围脂肪在数量方面比例的严重失衡。在少数急性胃肠道疾病中,以肠壁相邻的肠系膜为中心而不是以肠壁为中心,因此肠壁周围脂肪增厚明显高于肠壁厚度。和这一征像相关的疾病主要包括4类:憩室炎、肠脂垂炎、网膜梗死和阑尾炎。胃肠道的大多数炎性疾病包括感染性的、非感染性的和局部缺血性的病变,都是以肠道为中心。这些疾病的肠壁增厚程度往往超过相邻脂肪条索的厚度。但是对于少数以肠壁临近系膜为中心的疾病,脂肪增生明显超过肠壁的厚度。

左上图:右侧腹横肌深面、胆囊内前方梭形囊性病变,有壁但不均匀,略有强化。与腹横肌成锐角,腹横肌肥厚。周围脂肪模糊,有索条点状影。
右上图:邻近降结肠远端系膜壁旁可见一卵圆形类似脂肪密度的病变,周边可见火焰样炎性改变,邻近肠壁有轻微增厚,无明显脓肿及肠梗阻征象。
左下图:肠壁增厚,结肠袋襞显影不良,以及结肠周围脂肪束条状改变。
右下图:CT显示壁明显增强的管状结构(箭头),右中腹的脂肪系膜反应。
24 脂肪晕征
“脂肪晕”征的CT表现为肠壁与黏膜之间的环形低密度影,密度均匀,形态与肠腔相一致, CT值-10到- 68 Hu,厚度基本相等。发病部位以升结肠、横结肠、降结肠多见。出现伴随性肠周围脂肪聚集和肿大的淋巴结,则位于肠壁之外。黏膜下层脂肪聚集形成的环形结构称为“脂肪晕”征 ,它是慢性炎症性肠疾病 、细胞减数治疗或器官移植的急性表现。
小肠和/或结肠壁内出现脂肪曾经被认定为炎症性肠疾病,也可以说是Crohn′s病的征象。如果“脂肪晕”征在结肠出现同时伴有肠壁增厚则是溃疡性结肠炎的征象。但是目前有人提出,“脂肪晕”征也可以是正常表现。非炎症性肠疾病时出现“脂肪晕”征是正常的或是肥胖症。
肠腔中度扩张时可以更好地显示“脂肪晕”征 。但是,当肠腔扩张非常明显的时候,此征象则很少出现或消失,这可能是肠腔扩张肠壁紧张压迫脂肪层所致。清洁的肠腔自内向外可以形成气体—黏膜—脂肪晕—肠壁的结构层次,而非清洁肠腔则结构层次为肠内容物—脂肪晕—肠壁,因为黏膜与内容物混为一体。

左图:慢性溃疡性结肠炎横轴位CT图像:增厚的直肠壁表现为脂肪晕征,可见明显的直肠周围脂肪。
中图:溃疡性结肠炎CT图像:内环为粘膜层,外环为固有肌层,中间层为水肿的粘膜下层。
右图:克罗恩回结肠炎CT图像,显示回肠末端及盲肠增厚,伴有周围纤维脂肪增值。旁见一枚增大的淋巴结。
以上三图中,红箭头所指均系肠壁内脂肪。一般来说,肠壁脂肪的CT值应该在-10hu以下,但是由于部分容积效应,或同时并存的肠壁水肿,密度可能会较高。所以要注意“脂肪晕”征与水肿的鉴别:“脂肪晕”征的病理基础是黏膜下脂肪的聚集,而水肿是肠壁组织间隙水分的增多。所以,水肿以肠壁增厚为主,而“脂肪晕”征以黏膜与肠壁的分离为主。水的密度高于脂肪, CT值在0 Hu左右。另外,水肿是某种疾病的急性反应并有相应的临床症状,而“脂肪晕”征的患者是无胃肠道症状的。
“脂肪晕”征、Crohn′s病、肾结石、肥胖症之间的关系 Crohn′s病与“脂肪晕”征的共性是都有脂肪晕。Crohn′s病的脂肪晕程度小于“脂肪晕”征且常伴有黏膜紊乱、肠壁增厚、肠腔狭窄等变化而单纯“脂肪晕”征没有。有人报告 Crohn′s病患者中肾结石呈高发状态,说明了Crohn′s与肾结石的关系。肠壁“脂肪晕”征是炎症性肠疾病的表现之一,但可以在没有炎症性肠疾病时出现,此时代表正常表现或肥胖症。
25 肠系膜混浊征
肠系膜脂肪受炎症细胞、液体(水肿、淋巴液和血液)、肿瘤浸润及纤维化的CT表现。当肠系膜被液体或细胞浸润时,其脂肪CT值增加到-40~ -60HU(肠系膜脂肪的CT值类似于皮下及腹膜后脂肪,约-100~-160hu,肠系膜血管常呈横行或断面显示。),动、静脉失去锐利边缘。根据浸润的性质和范围,肠系膜血管可部分或完全模糊,顺着脏层腹膜常能发现肠系膜疾病的线索,在周围脂肪衬托下,肠系膜病变显示更加清晰。

上两幅图:肠系膜上动脉栓塞
下两幅图:十二指肠扭转致肠壁增厚、肠系膜水肿
造成肠系膜混浊征的主要有以下疾病需要鉴别:
1)肠系膜水肿
肠系膜水可由许多疾病引起,如低蛋白血症、肝硬化、肾病、心力衰竭、三尖瓣狭窄病变、缩窄性心包炎、门脉高压、门静脉血栓、肠系膜血管栓塞、血管炎、柏-查综合症、下腔静脉阻塞和外伤等,如肠系膜水肿是由全身性疾病引起,则有广泛的皮下水肿和覆水。CT扫描常由于身体近床侧的皮下组织内有新月状高密度影,代表增多的细胞外水分,肠系膜呈云雾状改变的范围从肠管的浆膜面直到肠系膜上动、静脉起始部的肠系膜根部;肝硬化由于低蛋白血症门脉高压常引起肠系膜水肿。肠系膜动、静脉血栓所引起的肠系膜水肿可呈局限性或弥漫性,发现血管内栓子或管腔缩小常可提示肠系膜血管栓塞,肠缺血的其他征象为节段性肠壁增厚,气肿性肠炎,当出现坏死时可有小静脉分支内集气。
2)淋巴水肿
肠系膜淋巴水肿常继发于淋巴系统阻塞,如先天性发育异常、炎症、肿瘤、外科手术和放疗等,淋巴液从淋巴管内渗透至肠系膜间质。淋巴系统的先天发育异常可引起通过肠系膜的侧支交通扩大及及发行淋巴水肿;肠管的淋巴管扩张征表现为淋巴淤滞伴有肠系膜淋巴水肿计入糜腹水。丝虫病以侵犯淋巴系统,引起中心淋巴阻塞,常累及腹股沟区,但也可侵犯肠系膜、
3)炎症
典型的小肠系膜炎症浸润可见于胰腺炎,重型胰腺炎时,释放的胰酶渗入小网膜内或沿身旁前间隙进入小肠系膜,有时甚至结肠系膜。其他局灶性炎症如阑尾炎、炎性肠病及憩室炎也可引起附近小肠系膜的炎症。腹部结核最常表现为淋巴结结核,尽管受累淋巴结直径可达3公分,但多数只是表现淋巴结数量增多,大小仍正常,肠系膜可弥漫浸润,肠攀粘连,肠系膜表面有小结节,大网膜浸润,肠壁受侵,淋巴结边缘强化而中养成低密度。
4)出血和损伤
血液可由供应肠系膜、肠壁、后腹膜或盆腔的血管渗出至肠系膜内,急性出血CT呈高密度(40~60hu),肠系膜内出血可呈弥漫性或局限性,常引起肠壁水肿,集气及游离气体,具有外伤史或过度抗凝治疗史者有助于做出正确诊断,但肠系膜缺血可有类似CT表现。
5)肿瘤最常累及肠系膜的肿瘤是非何杰金氏病淋巴瘤(NHL),NHL常导致淋巴结肿大成团而呈“三明治”征,NHL也是边缘清楚的肠系膜混浊最常见的病因,化疗使受累淋巴结缩小后易与显示,受累肠系膜呈薄纱状,与全身性疾病引起的肠系膜水肿不同,病变完全局限于原肿大淋巴结的区域,尽管有乳糜腹水的报道,但合并腹水并不常见,对照化疗前肠系膜区和覆膜和膜膜后淋巴结肿大可作出正确诊断,何杰金氏病极少累及肠系膜,NHL累及小肠系膜远较其他系膜多见。侵犯肠系膜的其他肿瘤包括:胰腺癌、结肠癌、乳腺癌、胃癌、类癌、黑色素瘤、白血病、间皮瘤及卵巢癌等,偶尔中央淋巴管阻塞引起肠系膜水肿,发现肠系膜根部的肿块常提示中央淋巴管阻塞。肿瘤半纤维化和淋巴水肿可类似肠系膜混浊,类癌表现为肿块周围有星样放射状扩展的纤维条索并有结节,常有钙化,这在其他病少见。约1/3肠系膜纤维化增生弥漫浸润肠系膜,尽管组织学表现为良性,但肿块为局部侵蚀性,半数强化较肌肉明显,腹壁纤维增生或纤维瘤常伴有Gardner氏综合症提示此病。
6)特发性疾病
肠系膜脂膜炎(收缩性或脂肪硬化性脂膜炎)可与NHL相似,肠系膜呈弥漫增厚及炎性改变,病理特征为噬脂细胞,代表肠系膜内吞噬脂质的巨噬细胞,放射学表现为围绕大血管的软组织密度放射状条索影,对血管不产生推移现象,无淋巴结肿大,典型表现为肠系膜血管周围的脂肪晕轮,血管受包绕及肿块内钙化可与NHL鉴别。
26 蜂窝征
腹腔内残留纱布在人体内引起渗出或液化坏死并纤维包裹形成异物性脓肿(纱布瘤)。纱布瘤的影像特点是:圆形或卵圆形肿块,较大,有完整包膜,薄壁,较少的情况下为后壁,边界较完整,增强后薄膜可以持续强化。不同时期的纱布瘤可以不同的表现:早期(如10各月或半年前)的多表现为蜂窝状;2~5年内一般表现为囊性飘带状;10~20年之后则为实性软组织密度,包膜钙化呈钙化性网状结构。手术过程中残留在人体内的医用纱布所形成的肿瘤样病变。
以下是不同时期纱布瘤的表现:

27 腹茧症
全部或部分小肠被一层致密、灰白色的纤维膜所包裹,形似“蚕茧”,故称为腹茧症,又称为特发性硬化性腹膜炎、小肠禁锢症、小肠纤维膜包裹症等。多见于青春期女性。腹部CT十二指肠空肠交界处扭曲,肠系膜增厚伴上消化道扩张,提示不全性肠梗阻。X线可发现全部或部分小肠聚拢于某一部分,位置固定。CT检查有更助于腹茧症的术前诊断。CT能显示梗阻程度及包块内肠管的情况,还能显示包裹在肠管周围的纤维包膜。一旦观察到包膜便可诊断腹茧症。典型的CT表现为扩张的小肠肠袢固定在腹部的某一部位,并被增厚的包膜所包裹或分割。增强扫描示包膜强化明显,部分病例可见腹腔积液及肠管间积液。
鉴别诊断
需要与腹膜包裹症鉴别,后者
(1)结核性腹膜炎所致的腹膜纤维化:表现为腹膜与肠管及网膜间有不易分离的广泛致密粘连,网膜增厚,收缩成团,悬在横结肠处,病理可见典型的干酪样肉芽肿。
(2)腹膜包裹症:表现为小肠包绕在一层相对正常的腹膜当中,与肠管无粘连,肠蠕动不受限,其来源是胚胎发育中残留的脐囊,属发育异常。腹膜包裹症也是一种少见疾病,患者小肠被包绕在一层相对正常的腹膜当中。该病是胚胎发育中脐囊残留,并随小肠发生、发育而被包绕入腹腔,包囊颈部附于十二指肠,又名“十二指肠旁疝”。与腹茧症不同的是,腹膜包裹症小肠外被膜与正常腹膜相似,其内壁与小肠肠管并无粘连,小肠近似位于一个较小的腹膜腔中,肠管蠕动不受限,很少发生肠梗阻。
(3)硬化性腹膜炎:多发生于腹膜透析、腹腔化疗、腹部手术、肝硬化腹水及长期服用普拉洛尔等,全腹紧缩、质硬如板,腹膜壁层及全腹脏器广泛粘连,肠管间粘连紧密,难以分离。

快扫码关注医侃(yikantime),就差你啦!▼