今天的内容,是大家都很关心的牙齿美白。
不知道广大小可爱有没有遇到这样一种情况,当你画了美美的妆,涂上精心挑选好的唇膏,但开口一笑的刹那间,一口黄牙让你备受打击…

牙黄影响形象是不争的事实,很多好看的口红色号都不适合牙黄星人。

而一口又白又亮的牙齿,才是气质的象征,可以直接让颜值上升好几个level,越看越舒服~

女明星们为了两排大白牙也是妙招尽出,可以说hin拼惹!

韩国的泫雅保持牙白的方式,是用天然椰子油漱口,据说这是来自印度的一种民间疗法。

“椰子油美白牙齿”的具体做法是:早上起床后,空腹先喝一大杯温开水。再将一匙椰子油含在嘴里,完全浸润牙齿,前后漱口让油在牙齿与牙龈间搅拌推动,持续漱口15~20分钟之后,即可吐出。美白效果因人而异。

迪丽热巴在牙齿清洁美白方面非常注重小细节,在每次用完牙刷刷牙之后,都会用棉签对牙齿进行“二次清洁”!

热巴会用棉花棒沾少许牙膏,在牙缝位置不停刷,刷走牙刷未必能刷到的牙缝细菌和污垢,使牙齿有更全面的清洁,自然就更白净啦〜

韩国男神斩杀者朴信惠,为了白牙专门订制防磨牙套。

平时在喝茶等容易使牙齿色素沉淀的饮品时,就会提前带上牙套,已免牙齿沾染到色素,避免任何一个会让牙齿变黄的可能。

日本的新木优子会在刷牙前用牙膏薄敷牙面5分钟,防止茶和咖啡等产生的色素沉淀在牙齿上,然后再刷牙。

看来女星们在美白牙齿这件事上可没少花心思,毕竟再灿烂的笑容,再显白的口红遇上一口大黄牙,真是毁灭性的暴击!


今天阿参就来和大家聊聊有关于牙齿美白的小知识。

目前常见的美白牙齿的方法有:美白牙膏、牙粉、美白牙贴、皓齿美白、全瓷贴面这几种。

在牙粉是否有效果前,我们得了解自身牙齿与皮肤一样,分很多层

牙齿呈半透明的状态的那一层叫做牙釉质,会显现出牙齿内部的颜色,绝大多数牙齿内部本身,则带有淡淡的黄色,这也是很多人牙齿看起来不白的主要原因。

牙粉只是一种牙齿清洁剂,最多只能清除牙齿的污垢,不会改变牙齿本身的颜色。而不正确的操作施力方式会伤及无辜,可能造成牙龈或口腔黏膜损伤。
举个栗子,用牙粉就像用洗衣粉清洗黄衣服,最多只能洗掉衣服上的污渍,但并不能让黄衣服变白衣服。

而对于市面上大多数美白牙膏,主要帮助牙齿清除外源性牙黄,祛除污渍和牙垢,像参半燕窝牙膏,还能像护理皮肤一样呵护口腔,让牙龈摆脱亚健康。


原理:运用的是过氧化物的氧化漂白作用。

使用方法:美白牙贴由上下两贴组成,不要在使用牙贴前刷牙,使用时间虽然说时间越长,效果越好,但建议不要超过30分钟。
使用感受:第一次使用有可能会出现牙酸的状况!就像是含了一片柠檬,又不能吐的心情,口水分泌会很多!
⚠️注意事项:牙齿敏感的旁友请自觉绕道~因为其中的氧化物会刺激牙龈边缘神经血管,可能导致牙齿敏感。

顺便一提,美白牙贴只推荐临时有重要场合出席,来不及做牙齿美白的小仙女。


原理:皓齿美白技术,是通过氧化剂过氧化氢中的小分子穿过牙釉质和牙本质渗透到牙齿的所有部分,在釉小柱间移动,分解清除牙变色的色素分子。

使用方法:它采用的是低温纳米光,完全避免了操作过程中对牙神经的刺激而引发的不适感。医生会根据色素侵入牙齿的深浅程度,为患者选择不同的治疗方案。

⚠️注意事项:做一次皓齿美白大概是40分钟左右。做完当场就能看见明显的效果,颜色也比较自然,是一种不错的牙齿美白方法。但是皓齿美白的费用也不低,5K起步。

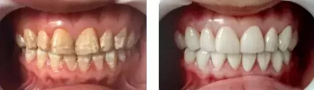
原理:全瓷贴面是指在不磨牙或少磨牙的情况下,应用粘接材料,将薄层瓷修复体固定于患牙唇、颊面,以恢复影响美观的缺损、遮盖变色等缺陷的一种修复方法。

⚠️大白话理解版:就是把全瓷贴面贴在原来的牙齿上,天生黄牙、大乱牙,全瓷贴面都可以轻松解决!下面就是瓷贴面的生动对比。
⚠️注意事项:全瓷贴面是最快改变牙黄的方法,但是只能掩盖表面牙黄的问题,它的费用也是按照单颗牙齿来计费的,一颗牙齿取模,选材到最后贴面,费用在1000-3000元左右。
瓷贴面前后对比照


阿参按照有效程度给大家从小到大分一下级:
★:牙粉
★★:美白牙膏和电动牙刷
★★★:美白牙贴
★★★★:皓齿灭白
★★★★★:贴瓷牙
其中★★的电动牙刷和美白牙膏,阿参相信想牙齿美白的小仙女们应该已经是人手一份了。

这两者都是必不可少的产品,无论是追求美白的路上,还是已经做完美白牙贴或是冷光美白,日常都需要常备这两个产品来维持住现有的牙色,然后你才能再谈进一步的美白。
阿参本次重点讲的是美白牙贴,牙齿漂白产品安全操作的范围也就6%-10%,再高就不是很适宜自己在家操作了。
所以牙齿漂白产品一定要选择正规厂家的,不然谁知道添加了多少浓度的过氧化物,自己操作非常有可能损伤牙齿甚至牙龈。

维持时间
一般可维持6个月~3年,具体的长短要看你后续的保养,比如有没有每天注意正确刷牙,有没有勤用美白牙膏,有没有日常注意少食用深色食品饮料等等。

不适宜人群
牙齿本身就存在牙齿敏感、牙龈问题的人群,不是完全不能使用,但是用后敏感、酸痛的感觉要比一般健康的牙齿更强烈,要慎重选择。
副作用
牙齿暂时性的敏感和酸痛,这个期间暂时停用,一般1~3天后会自行恢复。
主要注意的是,一定要选用正规产品,不然可能就不是暂时性的损伤了。

减轻副作用
- 选用浓度更低的产品
- 拉长使用的间隔时间
- 减少每次跟牙齿接触的时间
- 使用漂白产品的同时多用缓解牙敏感的牙膏

优点
- 比美白牙膏见效更快、效果更好;
- 价格稍贵但在可接受范围内;
- 维持时间虽不及冷光美白,但保护得当也还不错。
缺点
- 暂时性的牙敏感、酸痛;
- 使用感受不佳;
- 牙齿排列非常不整齐的人牙贴很难完全覆盖。

阿参觉得这一次的推送特别实用!同意的小仙女拜托点个再看,ball ball你了
