明天和意外,永远不知道哪个先到来。5月9日凌晨1点51分,本是大家进入梦乡,睡意正酣的时候,但在萧县人民医院手术室,正在上演着一场和时间赛跑、同死神抗争的救命手术。
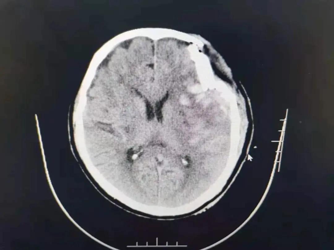
家住萧县白土镇的潘大爷在回家途中,因意外摔伤头部,急到萧县人民医院就诊,头颅CT显示:粉碎性凹陷性颅骨骨折、脑挫伤、脑内血肿。潘大爷处于昏迷状态,左颞顶部挫伤、肿胀,其上有一长约7㎝的伤口,有脑组织外溢,颅骨凹陷明显,病情危急,需急诊开颅手术,事不宜迟,必须争分夺秒。生命重于泰山,面对病人危重的病情,急诊科、神经外科医生响应迅速,立即组织专家进行综合会诊,认为患者情况危急,必须马上手术,在和家属充分沟通基础上,家属同意实施手术抢救。



经过相关检查和评估,在神经外科、麻醉科、手术室等多学科的紧密协作下,神经外科副主任武宏和马涛、纵锋两位医师立即实施手术抢救。虽然夜色已深,神经外科的医生们仍在沉着冷静地进行着一场与时间赛跑的生命拉力赛。经过近3个小时的努力,手术于早上5:05分顺利完成,术后患者转入ICU监护治疗。此次手术风险高,难度大,病人伤情严重,病情危急。医生们面对危急的病情,顺利完成“颅骨碎骨片清除+血肿清除+挫损失活脑组织清除术”,实现了萧县人民医院在颅脑损伤领域新的突破,标志着人民医院神经外科手术水平再次迈向上新的台阶。