
日前,贵阳东方骨科医院于天彦主任团队凭借精湛的手术技术,成功应用力达康XU单髁假体,为一名双侧膝关节骨性关节炎患者行“双膝内侧人工单髁置换术”,手术进展非常顺利,获得了良好的即时稳定效果。
此次手术是 贵阳东方骨科医院接诊的“第三例双膝”关节单髁置换术,同时也是第四十例固定平台单髁置换术 。单髁置换的开展,既为患者解决了膝关节病痛,保留了膝关节原有的功能状态,也是贵阳东方骨科医院医疗实力的体现。
病情描述
患者,女,56岁。
主诉
双膝反复疼痛10+年,右膝加重伴活动受限1+年。
现病史
患者10年前因劳累后出现双膝关节疼痛,呈间歇性酸胀痛,以上下楼梯时疼痛较重,长时间行走疼痛加重,轻微活动后疼痛减轻,无游走性疼痛,关节僵硬等不适,曾行针灸治疗,治疗后症状稍缓解,但仍反复发作。病情逐渐加重,1年前感右膝疼痛再次加重且有下蹲、行走困难、关节畸形,自服用"消炎止痛药"未见明显好转,疼痛常反复发作。现为进一步治疗就诊,门诊以"双膝骨性关节炎"收入院。
专科检查
双膝关节未见明显畸形、肿胀,双膝皮温不高、皮色不红,双膝髌骨内侧压痛明显,以关节线处压痛为甚,以右膝疼痛明显,双膝关节功能活动稍受限,左膝活动度(伸约5°,屈100°),右膝活动度(伸约5°,屈约90°),双膝关节活动时未扪及明显摩擦感及弹响,髌股关节活动欠佳,双膝磨髌实验、麦氏试验、研磨试验均为(+),内外侧应力试验、抽屉试验(-),生理反射存在,病理征阴性,双下肢肌力、肌张力正常,余无明显阳性体征。
辅助检查
双膝关节正侧位片结果示:双膝关节退行性骨关节炎。
临床诊断
双膝骨性关节炎Ⅲ期,拟行双侧膝关节单髁置换术。
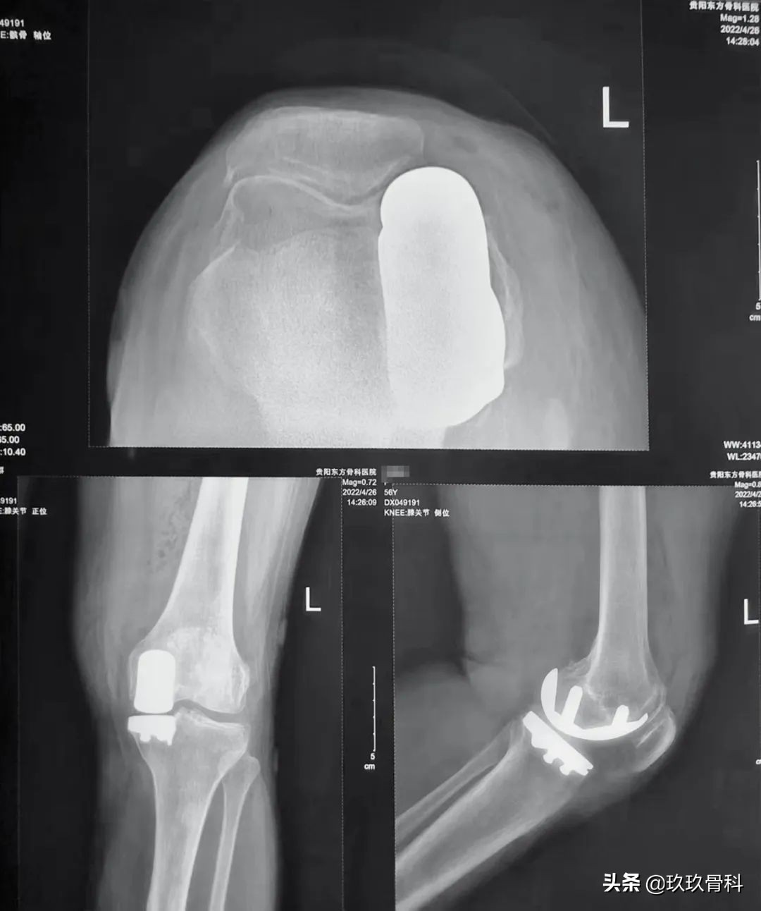
术前影像

术后影像



术者简介

于天彦主任
副主任医师
贵州省骨科医院专科联盟专家,贵阳东方骨科医院脊柱关节外科主任。毕业于哈尔滨医科大学,从事骨科临床工作近三十年。先后两次去第二军医大学第一附属医院上海长海医院骨科进修,一次去天津医院进修,任骨科主任二十余年。现可开展脊柱、骨盆、四肢各种常规及复杂手术;开放手术及微创手术;髋关节置换术,后外侧入路、前外侧入路(DAA)及翻修手术,膝关节置换术、单髁置换手术及翻修手术等;另外对各种骨病诊断和治疗也有一定研究。发表专利三项,获科技成果两项,论文数篇。
北京力达康科技有限公司
北京力达康科技有限公司成立于1998年,公司本着“力致高科、康华益民“的宗旨,经过23年的创新发展,成为一家集研发、生产、销售、服务于一体,以外科植入物为主业的国家级医疗器械高新技术企业,国产医疗人工关节领域的龙头骨干企业,和优秀的民族品牌企业。公司先后获得国家火炬计划、国家创新基金等奖项,入选国家十三五重点科研规划目录。
公司现阶段生产销售人工关节三万余套,未来三年营收将超过10亿元,并努力成为人工关节A股上市公司。公司未来将在顺义空港C区打造中国骨科医疗器械领域“产、学、研、医”一体化的科技创新联合体,为中国骨科医疗器械的发展做出新的更大的贡献。


