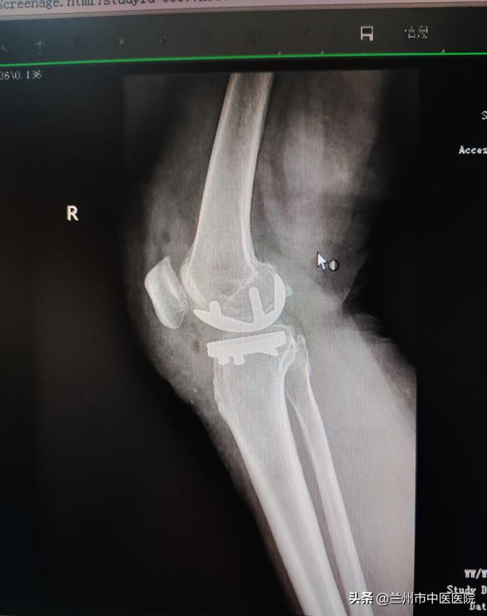
近日,兰州市中医医院骨科团队精诚合作,在麻醉科等相关科室的全力配合下,成功完成了单间室膝关节骨性关节炎、单髁置换术,手术顺利完成,病人术后恢复良好,家属满意。

该手术的成功实施是我院骨科又一项新技术突破。

近年来,全膝关节置换术(TKA)已经被证明是一种治疗膝关节骨性关节炎非常有效的手术。膝关节由三个间室组成:内侧间室(位于膝关节内侧),外侧间室(位于膝关节外侧)和髌股关节间室(位于膝关节的前面)。然而,在有些骨关节炎的患者中,骨关节炎不会累及整个膝关节,只有内侧间室可能会受到疾病的影响。对于这些患者,单髁关节置换是可以选择的治疗方法。膝关节单髁关节置换(UKA)已成为某些患者的可行选择。

膝关节的单髁置换手术,仅把膝关节的单侧髁部置换为表面假体。把膝关节由前正中线上等分,单侧髁部就是内侧或者是外侧的部分。简单来说,就是对一半膝关节进行置换,这一半膝关节主要构成是胫骨髁和股骨髁。当患者膝关节因骨性关节炎等发生了的严重病灶,但病变范围比较局限,该手术可以保留2/3正常的膝关节结构,让患者可以保留关节自然本体的感觉,恢复关节的活动,还可以延缓患者做全膝关节置换的时间。

单髁置换术具有手术创伤小、术后恢复快、病人疼痛轻、失血少、术后本体感觉好、花费少等特点。用于膝关节早期病变,可明显改善病人生活质量,延缓病人的全膝置换时间,对很多患者来说可以免除全膝关节置换。

单髁置换术特点:相对于全膝关节置换术,单髁置换术具有以下特点:创伤小。手术切口大约只有传统全膝关节置换手术的一半,切除置换的骨与软骨组织不到传统手术的三分之一;疼痛轻。术后疼痛较轻,在规范的镇痛方案辅助下,多数患者几乎感觉不到疼痛;恢复快。大多数患者术后当天即可下床活动并完成日常生活,一个月以内基本恢复正常状态;更接近正常的生理活动。由于保留了膝关节的正常结构,接受这类保膝手术的患者术后膝关节能够完成膝关节旋转、极度屈曲、深蹲等动作。
专家提醒,老年人膝关节反复疼痛,多数考虑是膝关节退行性骨性关节炎。
膝关节骨性关节炎是膝关节的局部损伤及炎症和慢性劳损引起关节面软骨变性为特征的疾病,多见于中老年人。主要表现为受累关节隐痛,初期活动、受累后加重,休息后减轻,进而持续疼痛,伴关节僵硬,活动后见好转。后期关节肿胀、增大,活动受限、畸形。膝关节多有压痛;症状严重者膝关节伸屈受限;有积液者,浮髌试验阳性。一旦出现出现膝关节疼痛后应尽快就诊,避免病情加重。
骨伤科简介
兰州市中医医院骨伤科开展的治疗项目有:四肢、关节骨折手术及微创锁定技术,手法复位闭合穿针内固定术,腰椎间盘突出、腰椎管狭窄症的保守治疗及手术治疗,关节退行性病变、筋膜黏连松解术、人工股骨头、全髋关节置换、保膝治疗、膝关节单髁置换,全膝关节置换手术等。小针刀治疗是我院骨伤科的又一特色治疗技术,治疗颈肩腰腿痛、肱骨外上髁炎、肩关节周围炎、腱鞘狭窄、膝关节退行性骨关节病等等。同时我科开展了中医推拿、牵引、火罐、刮痧、中药塌渍等治疗颈、肩、腰、腿痛症,因人施治,疗效确切。骨伤科全体人员在章光峰主任的带领下,恪守职业道德,用饱满的热情、精湛的医术,更好地服务于广大人民群众。
科室电话:0931-2942267
(供稿:骨伤科 张振翔)