前言: 在肺结节的诊断中,病理是金标准。对于许多影像特征不典型,良恶性难辨的病灶,穿刺活检是很好的诊断手段,也是确诊的依据。但就是有些病灶穿刺是良性的,结果却有进展!这时候,我们该怎么办?是继续随访,还是再穿刺,抑或是手术切除病检?穿刺良性能排除恶性吗?今天来分享一个问诊的病例,我觉得非常值得大家思考。
基本信息:
男 54岁 江西 赣州
疾病描述:
病人吸烟30多年,2017年第一次体检发现肺部结节,每年定期复查,于2020年1月做穿刺活检,病理结果提示肉芽肿性病变,同年戒烟至今,今年体检提示结节较前变实,提示专科诊治。
疾病:
左肺结节较前略变实。
已就诊医院科室:
厦门某医院 胸外科
希望获得的帮助:
是否需要手术?结节考虑什么性质?谢谢主任。
图像展示与分析:
我们先来看2022年5月份的CT图像:

病灶出现,很淡的磨玻璃影

病灶整体轮廓较清(红色箭头),感觉有分叶状(砖色箭头),但边缘是模糊的;局部有毛刺样征(紫色箭头)以及磨玻璃成分(绿色箭头)

病灶呈混合磨玻璃,相对还是聚拢在一块的,有毛刺、分叶以及磨玻璃成分,但不密实。实性成分占比并不少。

明显实性成分以及部分磨玻璃成分

有细长毛刺样征,病灶显的有点散

感觉有点像病灶内部细支气管牵拉或扩张的味道

病灶边缘部分

病灶边缘甚散在
影像印象:
这样的混合磨玻璃病灶,像慢性炎,但因为有磨玻璃成分(如良性可能是纤维增生,如恶性则是肿瘤贴壁成分)、整体有分叶,相对比较聚拢,实性部分也不是很致密,所以并不能百分之百肯定是慢性炎,恶性可能仍存在。那么此时,前后的对比看有没有进展变化则非常重要。
随访变化情况:
先看平扫的不同时间点影像情况:





以上诸图是从2017年刚发现时到2020年11月份时的渐变情况,我们发现病灶基本上是持续进展的,范围有变大,密度有增加,轮廓越来越清晰。
再来看局部放大的情况:



以上是2019年1月时的,明显呈混合磨玻璃样改变,有分叶,有灶内支气管扩张的感觉



以上是2020年1月时的,病灶实性成分增多,较一年前有进展



以上是2020年11月的,感觉略有进展,但不是太显著
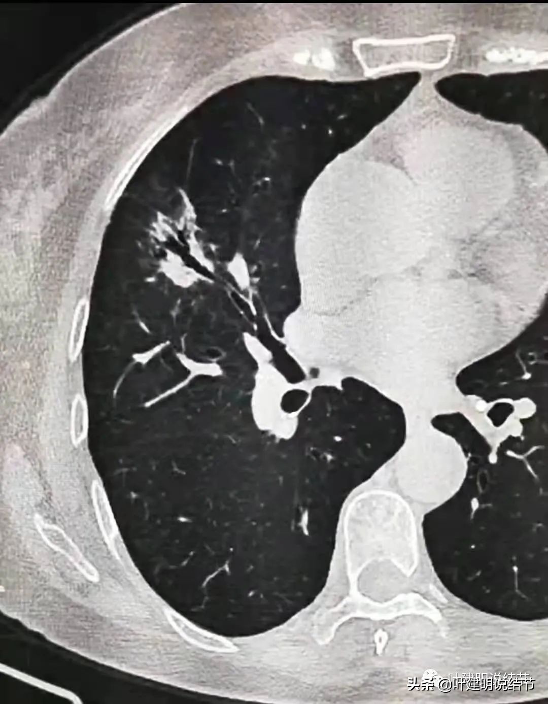
我们再看局部细节影像:

这是2020年11月时的,见病灶显混合磨玻璃,分叶明显(砖色箭头)、整体轮廓较清(红色箭头)、实性成分占比较多,相对有点散,不是特别致密(粉色箭头)、磨玻璃成分分布全部病灶,轮廓还算清,边缘略糊(绿色箭头)。这样的影像表现如果更聚拢一点,就是典型的浸润性腺癌的混合磨玻璃表现。
穿刺结果:

肺穿刺活检病理示肉芽肿性病变。其中描述中示周围较多量淋巴结细胞、浆细胞浸润。如果病灶稳定就算了,但问题是它不持续进展,会不会有其他疾病的可能?
拓展思考:
我想到有疾病,我之前碰到也分析过的,与它挺像:



再之前在专业群里有人分享过一个病例:




石蜡病理结果如下:

病理确诊是:淋巴结外边缘区B细胞淋巴瘤(MALT)。
今天分享的这个病例是不是也有些相似之处:都像炎症,即使实性部分也都不太密实,随访也无吸收好转,还反而有进展!
我的回复意见:
左上这个病灶大体来讲是逐渐进展的,范围与密度都有增加,展示的是混合磨玻璃样影像改变,整体轮廓较清,虽有穿刺活检结果,但与影像表现并不十分吻合,况且穿刺病理说有较多淋巴细胞,会不会粘膜相关淋巴组织边缘区B细胞淋巴瘤的可能,影像特征是比较像的。你可搜索下我公众号里的文章,有好几例分享过。我的意思这个病灶切了为好,至少再重新穿刺活检。
感悟:
其实病例分析相当于把经手的病例重新仔细梳理一遍,许多细节或思考过程再理了一次,而且印象会更深,况且再有碰到类型病例时容易想到,也容易在公众号里找出来回顾对比。这样的方式我觉得对自己帮助很大。也希望我的分享对对广大同道与结友们有益。此外对于肺穿刺活检,因为取得的组织标本较少,或者没有穿到病灶内重要的位置(比如穿到坏死区,或伴有炎症的区域,而不是肿瘤区域),假阴性是可能的。当然这个病例来讲,已经考虑肉芽肿,不只是慢性炎或坏死组织,假阴性的可能性是小些了的。但病灶是良性还是恶性,个人以为最重要的还是随访有无进展:有进展时活检与PET等考虑良性,仍不能放心;随访无进展时,即使术后道不同是恶性,也是恶性程度低,风险不高的。病理是金标准,但病变是否发展似乎比病理更具实际意义(以前分享过随访2年没有任何改变进展的实性病灶,术后是浸润性腺癌,但这种即使是癌,预后也大概率是非常好的)。
延伸阅读1:
粘膜相关淋巴组织结外边缘区b细胞淋巴瘤
粘膜相关淋巴瘤是一种低度恶性结外淋巴瘤,最易侵犯的部位是胃,胃粘膜相关淋巴瘤占50%左右。其他部位比如涎腺、泪腺、甲状腺、胸腺、肺、肠道、乳腺、皮肤及泌尿生殖器官也可发生。
肺部原发性淋巴瘤发病率是比较低的,仅占所有淋巴瘤0.4%~1%,其中黏膜相关淋巴组织边缘区B细胞淋巴瘤是最常见的病理亚型。肺部是缺乏淋巴组织的,有研究认为肺粘膜相关淋巴瘤的发病与吸烟、反复肺部感染、自身免疫性疾病等因素有关。当支气管黏膜在各种抗原的刺激下出现淋巴细胞浸润、增生,这些刺激因素持续存在就有可能导致这种淋巴瘤的发生。所以,肺粘膜相关淋巴瘤多见于多见于免疫功能低下的中老年人,或者本身有自身免疫性疾病的人。
肺粘膜相关淋巴瘤没有特异性的表现,部分病人出现咳嗽、咳痰、胸痛等症状,CT上表现同样没有特异性,病灶可以位于中央或周边,可以单个或多个。而且由于比较罕见,在没有病理和免疫组化辅助诊断情况下,临床上容易误诊为炎性假瘤或肺癌。
肺粘膜相关淋巴瘤比较惰性,生长缓慢,病变可局限于肺内多年而不发生肺外侵犯。经过治疗,总体预后是比较好的。相比较而言,中晚期肺癌的预后比肺粘膜相关淋巴瘤预后要差得多。按照淋巴瘤治疗指南,肺粘膜相关淋巴瘤如果病变局限,首选放疗或单药美罗华。有症状的III/IV期病人选择美罗华联合化疗。

(此处已添加医疗卡片,请到*今条头日**客户端查看)