
这是 达医晓护的第2955 篇文章

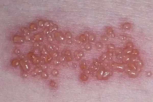
据野史记载,北宋朝开国之初,天下刚定,赵匡胤登基,史称宋太祖,然而登基不久,太祖皇帝便不幸染上了一种叫“缠腰蛇丹”的病,只见皇上腰部皮肤上长满发亮的水疱,疱液澄清,外面绕以红晕,患处皮肤灼痛,触之有明显的痛觉。因为其水泡似蛇丹,故称“缠腰蛇丹”,又因为水疱干涸后有红色的淡斑,所以在中医中又称为“腰缠火龙”。皇帝得了这种病,自然得请人医治。宫内的御医手忙脚乱,用尽绝招也难找到回春妙方。而令众多御医束手无策的病却不料在一名人称“活洞宾”江湖郎中的手中得于治愈。野史之中所叙说的病症,而今便是皮肤病中的带状皮疹,虽然故事之中并没有写到江湖郎中用了什么方法来医治好了赵匡胤,但有一点是值得肯定的——带状疱疹早在古代便已经存在了。接下来,我们便走进带状疱疹,来了解一下这个 “犯罪分子”是怎样活动以及我们能做哪些来预防它的破坏。

带状疱疹的“犯罪者”是一种病毒,而这种病毒也是“水痘”案发现场的凶手,它初次经呼吸道黏膜潜入人体内部进行破坏活动,造成水痘,但在此次行凶后,它便潜伏在我们神经系统中的小室(神经节)之中,嚣张的在这里“冬眠”,等待再次行凶的机会,而当它再次出手时,便是造成故事中宋太祖的带状疱疹的“肇事者”,由此可见,水痘与带状疱疹的凶手是同一个病毒,所以称它为水痘带状疱疹病毒。
我们先从它在幼儿身上进行“水痘”犯罪活动说起,他初次感染引起的急性传染病,即为水痘。冬春两季是它犯案的主要季节,水痘的发病时间比较快,24小时内便会出现斑红色的丘疹,在皮疹出现前可有发热、头痛、全身倦怠、恶心、呕吐、腹痛等“先头阵仗”(前驱症),或者直接出现红色皮疹。之后经历“斑红色皮疹→疱疹→结痂→脱痂”演变过程的出疹期,即由刚刚开始的粉红色小斑疹增大形成周围有明显红晕的水疱,整个出疹期一般为1~6日,脱痂后一般不留瘢痕。最先发生于头皮,之后慢慢的蔓延到胸背部,或可至全身。水痘的传染性极强,接触或者飞沫吸入也可传染,这也就是“凶手”——水痘带状疱疹病毒极易在人群之中传播。相比其他的传染病来说水痘危险性较低,但是危险性虽然低,却会给我们带来许多的困扰。特别是宝爸宝妈们,所以在婴幼儿发水痘时,宝爸宝妈也应该注意:
1.患儿应该隔离,待全部皮疹部结痂为止,以免发生传染。
2.保持皮肤的清洁,避免抓挠,若面积扩大则应该马上就诊,以防皮肤被其他的“危险分子”(病毒或其他细菌微生物)感染,或者产生其他的病状。
3.清淡饮食,不要进食发物。
4.科学合理处置,在一些乡下相传着“捂热去水痘”的说法,这是不科学的,“包藏”水痘犯罪嫌疑人易造成出汗而感染。
5.不能碰水,宝爸宝妈可以将自家宝宝的指甲剪短,以防抓挠。
6.注意观察孩子病情,严重时到医院进行就诊
如何预防这一犯罪分子呢?
对于尚未发水痘的小宝宝来说,可以到当地医院进行疫苗接种。接种疫苗后,在人体内可以产生巡逻,监视,抵抗犯罪嫌疑人犯案的部队,一般来说,这支部队是终身存在的,但是随着自身健康环境的改变,免疫力的下降,这个在我们神经系统小室(神经节)里“睡觉休息”的“犯罪分子”依然会有再次犯案的机会,即进行“带状疱疹”的犯罪活动。需要强调的是,得过疱疹的人以前一定得过水痘,得过水痘的不一定会得疱疹,也就是说,成年人初次被它侵入的时候,它在我们体内进行“水痘”作案。这便好比一个盗窃的小偷,第一次进行踩点活动,所偷的不多,第二次在了解环境的情况下,便大肆偷盗,因此带状疱疹的病情一般较水痘严重。

带状疱疹多发于成人,伴随着年龄的增长,其发病率增高,在老年人群之中更容易病发带状皮疹。“犯罪分子”二次犯罪引起的带状皮疹常常引起神经刺痛,多发于胸腹部,除了“牙疼不是病,疼起来真要命”的情况外,这也是一种“说来不是病,疼起来真要命”,严重刺痛时使得刺痛难眠。因此,我们常说神经痛是带状皮疹的特征。它产生的犯罪影响机体一般持续2到3周,老年人一般为3到4周。当然,其持续时间也有可能短至一周,或是长达2到3个月,具体时间因个人的身体健康状态而定。
在皮肤表层病症中便是像宋太祖那样,但是其皮疹也多种多样,可仅出现红疹,无水疱,也可有大疱型,出血型等。而对于带状疱疹也有一些特殊表现,如犯罪分子侵犯眼部神经(三叉神经眼支)而造成剧烈疼痛,或引起角膜溃疡;侵犯面部的感觉神经(面神经)与控制我们是否听到声音的神经(听觉神经),造成耳痛,面瘫,称为耳带状疱疹。这些特殊的表现,也是水痘带状皮疹病毒的犯罪证据。
带状疱疹造成的神经刺痛疼痛难忍,但这种病症具有自限性,通俗的来讲,就是说,这种病造成的病痛,皮疹不会持续太久时间,便会自动恢复,也不会造成永久或巨大的伤害,也就是说不用特殊治疗“犯罪分子”便会消停下来。但是,凡事都有例外,虽说是自限病,但对于它所引起的瘙痒,刺痛来讲,真真实实的存在,这种疼痛,岂非一个痛字了得,怎用一词难忍形容?
在治疗带状皮疹时,主要是以抗病毒,止痛,消炎,防治由于带状疱疹引起的一系列其他疾病。可采用泛昔洛韦每次500mg,一日三次来抵抗病毒,选择阿米替林每晚口服25mg来缓解疼痛。在疱疹未破时,可以喷昔洛韦乳膏;破溃之后可用2%的莫匹罗星软膏。若是发生于眼部,可外用3%阿昔洛韦眼膏、碘苷滴眼液。当然,以上只是用药建议,在来不及就诊的情况下可以采纳,具体用药还需要到医院就诊,以医嘱为标准喔。
带状疱疹的传染性比水痘低,并且在疱疹结痂后,就基本不具有传染性了。在疱疹结痂前注意不要直接接触,对于未接种疫苗的儿童跟未接种疫苗的孕妇更应该充分隔离。
带状疱疹的发生与我们自身免疫力有着很大的关系,在水痘案发之后,若是我们免疫力强大,便不会让“犯罪分子”有可趁之机。水痘带状疱疹病毒在免疫力较低的儿童之中掀起“水痘”案,在老年人群之中作浪“带状疱疹”,可真是没有道德底线,丝毫没有尊老爱幼的道德。面对这种犯罪无赖,我们要做的预防工作便是提高自身免疫力,不让犯罪分子有可趁之机。但是,我们不能为了提高免疫力而去服用一些所谓能增强免疫能力的药物。真正防治带状疱疹,提高免疫力是保持积极乐观的心态,养成良好的生活习惯,充足的睡眠,合理膳食。这样的话,不仅仅是带状疱疹不会找上你,也可以避免许多的疾病。好了,快去改变那些不好的生活习惯吧,让带状疱疹远离你!
作者:袁子然,上海交通大学医学院2018级临五三班
学号:201812601109
专业:临床医学(五年制)

部分图片摘自网络,如有侵权请告知,予以删除。
所有人名和地名均为化名,如有雷同,纯属巧合。