自然脱屑是头皮正常生理代谢的产物,每个人都会发生,一般以小于0.02mm的细小颗粒脱落,因此人眼是观察不到,也不会影响人们的正常生活和工作。头皮屑是头皮异常病变时才会出现的白色或灰色鳞屑,由真菌感染引起,属于皮肤疾病范畴。这种鳞屑颗粒较大,附着在头皮表层或头发上,梳头或搔抓时极易脱落到肩部衣服上。
头皮屑在医学上称为头皮糠疹,是一种由马拉色菌(真菌中的一种)引起的皮肤病。马拉色菌在头皮上的大量繁殖引起头皮角质层的过度增生,从而促使角质层细胞以白色或灰色鳞屑的形式异常脱落,这种脱落的鳞屑即为头皮屑。头屑产生的原因通常分为生理性和病理性。

通常根据头皮屑的多少,在临床上分成不同的疾病。
1.头皮是正常的,仅仅有头屑,梳头的时候,掉头屑,这种情况我们称它是头皮的单纯糠疹。
2.如果头皮屑非常多,而且皮层很厚,上面有红斑,头发可以成束,而且身体的其他部位也有皮疹,那么我们诊断就可能是银屑病。
3.如果说头皮上的鳞屑是油腻性的,头发油腻、干枯,头皮上也有些红斑,那么这个就可能是脂溢性皮炎。
4.头皮的鳞屑非常厚,鳞屑呈干燥的粉末状,这种情况多半是头皮石棉状糠疹。
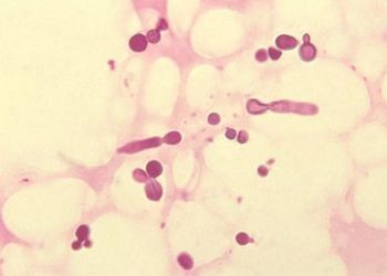
5.有一种头癣也可以引起头屑的增多,主要是白癣,同时会伴有脱发,真菌学检查阳性,诊断比较容易。
这些都是临床上比较常见的头屑种类。

致病的原因:
1. 洗发精没洗净。
2. 使用脱脂力过强的不良洗发精。
3. 头皮上的皮脂过多。
4. 饮食不当、饮酒、及刺激性食物。
5. 自律神经容易紧张。
6. 睡眠不足、疲劳。
7. 胃肠障碍,营养不均衡,缺乏维生素A、B6、B2。
8. 使用不良美发用品。
9. 内分泌不正常因素。
10. 季节转换。

头皮屑预防:
由于头皮屑是由真菌(马拉色菌)感染引起的,因此,一方面要提高头皮护理意识,另一方面要调整生活规律、避免吃煎炸、油腻、辛辣等食品,可起到调节、保护头皮自身平衡、抑制马拉色菌过度繁殖,从而减少头皮屑发生的几率。 第三要注意日常的头皮护理;另外,真菌都具有一定的传染性,因此做好个人和家庭成员之间的起居卫生,分开使用毛巾、枕巾、梳子等生活用品,都可以在一定程度上减少马拉色菌在人际之间的传播,起到预防头皮屑发生的作用。
1.良好生活习惯保持充足的睡眠,愉快的心情,多参加体育运动都有利于皮肤健康.此外,合理的安排工作,休息,让压力减到最低也是必要的.
2.调整饮食平时应多吃一些含碱性多的食物,如海带,紫菜.常喝鲜奶,豆类,水果类等能起到润发作用的食物;清热去毒的食物也应多吃;而那些刺激及煎炸的食物要少吃.
3.合理洗发有人以为天天洗头就可以将头皮屑洗干净.其实不然,过多的洗头会减少头皮皮脂的厚度,令皮脂加速分泌,自然就会出现头皮干燥,头皮屑过多的现象.最好四到五天才洗一次头.梳子,枕头,枕巾也要保持干净,最好不互相使用梳子.
4.正确洗发。将洗发水倒在手中,略微加点水将其进行揉搓至泡沫丰附在抹到头发上。尽量不要直接将洗发水倒在头发上,这样清洁的效果远不如前面的操作方法有效,想要更有效的摆脱头皮屑,必须先从洗发开始抓起。
5.温水洗头。凉水洗头首先很难达到清洁的目的,其次会引起头痛头晕的现象。而过热的水更容易刺激头皮,致使头皮分泌过分的油脂。皮脂过多会是脱落得细胞一起附在头皮上,干燥后变成细碎的头皮屑。所以建议用温水洗头,20度左右最佳。
6.选择合适的洗发水--硫硒洗剂。有头屑的人要选用具有调养头皮功能的洗发水。有些洗发水刚开始用还比较有效,时间长了就不管用了,原因是化学去屑仅停留在表面清洁,不能彻底根除头屑,反而使化学成分残留在头皮上,造成头皮受到进一步的刺激和伤害,相比较来说,硫硒洗剂能够温和调养头皮,有效抑制头屑等头皮问题,安全恢复头皮生态平衡。从根本解决导致头油、头痒、头屑多的头皮三大平衡问题。在这款中药组方里:皮哨子、侧柏叶,能够有效地控油止痒,保证油脂平衡;蛇床子、苦参、香茶菜、桔梗,能有效地抑菌消炎,保证菌群平衡。
偏方:桑白皮50~100克,煎药液2500毫升洗头,每周1次
