类风湿关节炎患者杨女士,最近隐隐察觉自己的眼睛出了问题,看东西有点模糊不清,视野也好像在向内收缩。杨女士到眼科就诊,医生告诉她的眼底视网膜发生了病变,杨女士百思不得其解,完全没想到,造成眼部病变的元凶是她正在服用的抗风湿药——羟氯喹。

杨女士的眼部病变由羟氯喹所致
有些朋友会疑惑,既然羟氯喹会造成眼部病变,医生在给杨女士开药时,难道没有提醒她吗?医生肯定会,但杨女士服用的羟氯喹,并不是医生给开的!
杨女士确诊类风湿关节炎,是在2年前。当时,没有明显的诱因,她双手手指、手腕关节出现对称性肿痛,她是四川内江人,在当地医院确诊为类风湿。医生开了药,可医生的治疗方案杨女士并没有坚持,而是 按照一位同样患有类风湿但病情控制还不错的亲戚的药方,自己买药吃,其中就有羟氯喹 。
杨女士给自己制定的疗策略是,疼痛明显时吃药,疼痛缓解了就停药 。然而,两年时间下来,病情不但没好转,反而双踝、双膝、双肘、双肩关节都开始疼痛,还出现了眼部病变这样的药物副作用,杨女士才知道,自己的治疗策略错得离谱。

杨女士自行购买羟氯喹服用
服用羟氯喹治疗类风湿关节炎错了吗?并没有,羟氯喹确实可以用来治疗类风湿关节炎,但用药要讲究适应症,要关注药效反馈,还要检测不良反应。杨女士用的都是类风湿药物,错就错在用药不当上。
结合杨女士的经历,我们今天就来介绍一下羟氯喹,看看这种药对类风湿的效用,如何正确使用,以及除了眼部病变还有哪些副作用,又该如何避免副作用。

羟氯喹对类风湿关节炎患者有何帮助
(一)氯喹和羟氯喹,抗疟疾药为何能抗风湿?
氯喹和羟氯喹的区别在于,羟氯喹是在氯喹的基础上,用羟乙基替代一个乙基而诞生的,这两种药物,最初都用来抗疟疾。
抗疟疾药氯喹/羟氯喹是怎么用来抗风湿的 ?
氯喹的抗风湿作用,还是偶然发现的。当时正处于二战时期,为了预防疟疾侵害士兵影响战斗力,美国研发了米帕林(甲氯苯氯喹)给士兵使用,然而没想到的是,一些患有风湿病的士兵,在使用米帕林后,皮疹和关节炎症状竟然得到了缓解。由此,科学家开启了氯喹治疗风湿病的探索。
随着医学的发展,抗疟疾药氯喹正式用于治疗风湿性疾病。 与氯喹相比,羟氯喹的不良反应相对较少,除了仍用于疟疾的预防和治疗外,羟氯喹也广泛用于系统性红斑狼疮、类风湿关节炎、干燥综合征等疾病的治疗 。
氯喹用于类风湿关节炎的治疗,可以追溯到1951年,近年来,在美国和加拿大等国家,羟氯喹被广泛用于治疗类风湿关节炎。羟氯喹更是系统性红斑狼疮的一线治疗药,在抗风湿治疗中占有重要地位。

二战期间无意发现防治疟疾的氯喹具有抗风湿作用
羟氯喹是如何对抗风湿病的 ?
现代药理学研究证实了羟氯喹具有多个作用机制,包括:
- 可直接抑制Toll受体激活,从而抑制Toll受体激活后的炎症因子产生、抗体产生与转变。
- 具有亲溶酶体作用,从而抑制α干扰素生成等,抑制免疫激活。
- 可限制磷脂酶、拮抗前列腺素、稳定溶酶体膜、减少巨噬细胞释放纤连蛋白、阻滞超氧化物释放,从而直接抑制炎症损伤。
- 具有调节血脂、抗血凝、轻度降血糖的作用。
说这些大家可能一不定看得懂,其实也不需要太懂,总之, 羟氯喹的抗风湿作用是经过验证的 。

氯喹和羟氯喹的抗风湿作用是明确的
在治疗类风湿时,与甲氨蝶呤相比,羟氯喹在控制症状和保护关节破坏方面有所不如,但效果肯定且副作用相对小,加上具有一定的调节血脂、抗血凝、降血糖作用,所以仍然是类风湿关节炎患者的治疗选择。
不过,羟氯喹副作用相对较小并不等于没有,像文章开头提到的杨女士,就是羟氯喹使用不当导致眼部病变,接下来我们就来讲讲羟氯喹的副作用。
(二)羟氯喹不良反应多,尤其注意眼底监测!
看到标题,细心的朋友会发现一个“矛盾点”。那就是赵医生前文刚讲了,与甲氨蝶呤相比羟氯喹副作用小,现在又说羟氯喹副作用多,哪一个说法错了?
其实都没错!副作用相对小,是指羟氯喹不容易出现让患者拒绝使用的严重副作用,但不代表副作用少,可以忽视。好比一场拳击比赛,对手虽然不爱出重拳,难以KO自己,但多次前手刺拳命中同样可以拿高分,将你淘汰!

副作用再小也是副作用
羟氯喹的不良反应一般包括: 皮疹、脱发和白发、食欲不振、恶心、呕吐、腹泻、头痛、头晕、失眠、精神紧张、视力模糊及肌无力 等。赵医生要重点强调,也是患者要重点注意的,是 羟氯喹对视网膜的危害 。
氯喹和羟氯喹在口服后吸收迅速且完全,广泛分布于组织中,因为对富含黑色素的组织具有很高的亲和力,因此容易沉积到视网膜等组织中,进而损伤视网膜。 羟氯喹导致视网膜病变的机制可能包括 :
- 羟氯喹在视网膜色素上皮聚集并结合黑色素颗粒;
- 视网膜色素上皮吞噬功能的缺乏和感光受体外层脱离;
- 髓样体在细胞内聚集影响视网膜色素上皮代谢;
- 视网膜上皮细胞功能不足导致视椎及视杆细胞丢失。
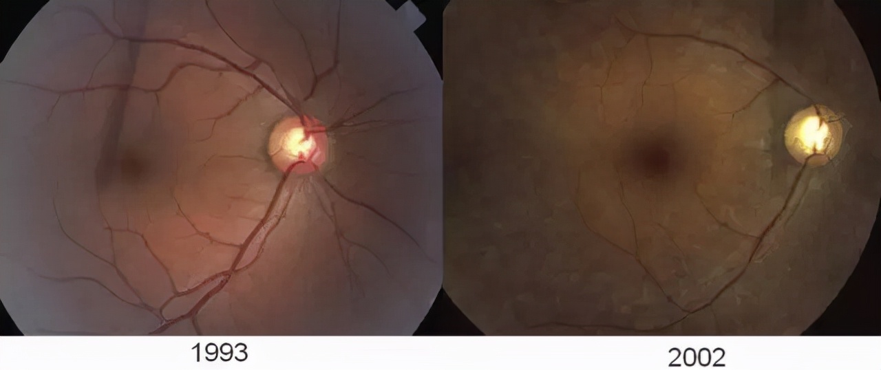
羟氯喹导致眼部病变后,可表现出复视、视网膜点状或团状色素沉着,视野由周围向中心缩小,也出现永久性视力损害及角膜药物沉积等。

羟氯喹使用者需警惕视网膜受损
不过,羟氯喹对眼部的危害并非绝对, 近年的临床研究表明,只要合理用药及做好监测,羟氯喹的视网膜危害是可以避免的 。早期的视网膜病变,和大多数羟氯喹不良反应一样,在停药后多可恢复正常,但如果像杨女士一样用药不当、忽略监测,则可能造成永久性危害,停药后仍会继续发展。
羟氯喹的副作用一般不严重,在停药后多可缓解,患者在 服药后每3~6个月做一次眼科检查 ,这样羟氯喹的安全性还是比较有保证!
(三)类风湿患者使用羟氯喹,时机剂量要把握!
这一部分,我们主要讲类风湿关节炎患者在哪种情况下需要使用羟氯喹,及羟氯喹的正确用法。
什么时候该用羟氯喹呢 ?
类风湿关节炎在刚刚确诊后,能否及时将炎症控制住,关系到患者病情会不会发展到晚期,出现关节畸形甚至残疾,因此,一般首先推荐药效更强的甲氨蝶呤,如果甲氨蝶呤效果不好或者患者有禁忌症,则考虑单用柳氮磺吡啶或来氟米特,如果效果仍然不好,但没有明显的预后不良,则考虑联用两种或两种以上传统抗风湿药,如甲氨蝶呤+柳氮磺吡啶,甲氨蝶呤+来氟米特,甲氨蝶呤+羟氯喹,柳氮磺吡啶+羟氯喹等。
具体该不该使用羟氯喹,什么时候使用羟氯喹,患者之间是存在差异的,要在专科医生的指导下进行个性化治疗。

类风湿关节炎的治疗策略
羟氯喹该怎么用 ?
氯喹和羟氯喹在人体内代谢较慢,疗效一般在3~6个月后才出现,如果半年以上无疗效,则不建议再使用。氯喹通常每日饭后一次服用0.25克,羟氯喹每日0.2~0.4克,分1~2次服用,如果长期维持治疗,每日0.2克即可。
按照推荐剂量使用羟氯喹,即使服药2年以上,也很少出现眼部病变,但如果用药过量,结果就不同了。
氯喹在成人中过量死亡的风险为20% ,羟氯喹虽然要低不少,但过量摄入还是可能造成 视力永久丧失、癫痫发作、呼吸停止、心脏问题 等严重副作用,羟氯喹致死的案例虽少但也并非没有!因此,患者务必正确使用羟氯喹,避免滥用,同时做好眼部副作用监测,做好类风湿关节炎复诊。

提醒提醒不要过量使用羟氯喹