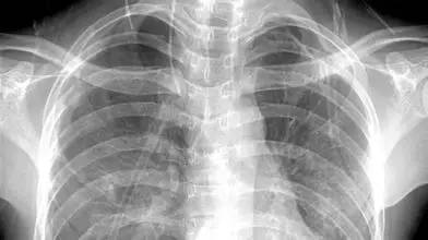
X线
像把面包压扁了看

X线会穿过人体,遇到被遮挡的部位,底片上不会曝光,洗片后这个部位就是白色的。
就像一片面包或一块棉花,看不到里面的纤维纹理,但用手压瘪了会清晰一些。X线最大缺点是受制于深浅组织的影像相互重叠和隐藏,有时需要多次多角度拍摄X线片。
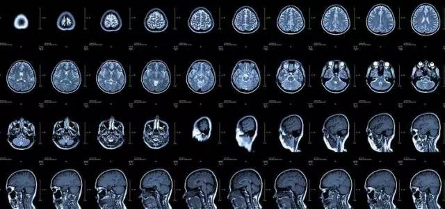
CT
像把面包切片看

CT的检查原理是X线会分层穿过人体,之后通过电脑计算后二次成像,就像把一片面包切成片来看。优点是可以分层看,经计算后可以显示出更多的组织信息。
B超
像挑西瓜前敲一敲

B超的原理是用超声波穿透人体,当声波遇到人体组织时会产生反射波,通过计算反射波成像。就像挑西瓜一样,边敲边看显示病灶情况。
核磁共振
摇一摇再看
核磁共振机使用较强大的磁场,使人体中所有水分子磁场的磁力线方向一致,这时磁共振机的磁场突然消失,身体中水分子的磁力线方向,突然恢复到原来随意排列的状态。简单说,就相当于用手摇一摇,让水分子振动起来,再平静下来,感受一下里面的振动。所以,核磁共振也被戏说为是摇摇看的检查。
四种方式分别用于何种检查?
就诊时,医生常会开各种各样的影像学检查单:超声、CT、核磁……不少患者会质疑医生故意开高价检查单。其实,医生是依据不同病情选不同影像检查的。
外伤骨头——粗看X线片,细看CT,核磁看不清

各种外伤,如果怀疑伤到了骨头,优先选择X光照片,检查结果快速易得。若要进一步观察,可以选择CT。超声、核磁对于骨皮髓质等看不大清,一般不选择。
颈椎腰椎——最佳选核磁,次选CT

颈椎病、腰椎间盘突出等椎间盘疾病需要观察椎间盘与相应的神经根,要想更好观察这些软组织,最优选择就是核磁。同样,对于关节、肌肉、脂肪组织检查,核磁也是首选。
胸部——粗看X线片,细看CT,看肺不要选核磁

X线胸片可粗略检查心脏、主动脉、肺、胸膜、肋骨等,可以检查有无肺纹理增多、肺部钙化点、主动脉结钙化等。
胸部CT检查显示出的结构更清晰,对胸部病变检出敏感性和显示病变的准确性均优于常规X线胸片,特别是对于早期肺癌确诊有决定性意义。但是CT检查的辐射剂量高于X线。核磁对于肺部疾病的诊断,应用非常有限。
腹部盆腔——除肠道外,一般超声都能检查

腹腔器官受呼吸影响较大,进而影响到CT、核磁成像,而超声不会因此受影响。同时,超声对肝脏、脾脏、胰腺、肾脏、盆腔等器官诊断准确率较高。
但是超声受气体干扰很大,对于肠道等含气较多的器官,超声诊断准确率会降低。
心脏——排除冠心病用CT,看心功能用超声

常规的心脏结构与功能检查,心脏彩超所提供的信息已经较为充分,又简单易行。
用CT可检查冠状动脉,但冠脉CT检查辐射量较大,不适合作为常规体检。核磁虽无电磁辐射,但对冠状动脉的观察不及CT。心脏核磁则是评价心脏结构和功能的“金标准”。
南阳市卧龙区第一人民医院体检中心特色
1、专业化品质:以优秀的医疗专家团队和雄厚的技术力量为依托,资深医师担任主检和总检医师。质量稳定可靠,尊重客户隐私 ,保守客户体检资料秘密。
2、精良的设备:2020年更新精密医疗仪器设备,以确保体检质量。
3、优越的环境:科室体检场地独立,布局合理,消耗材料均为一次*用品性**,勿需担心发生交叉感染。
4、个性化服务:专家为不同人群“量体裁衣”,制订多样式组合套餐 ,并采纳专科医师意见,针对糖尿病、高血压、慢阻肺、冠心病等病人组合专业体检套餐。
5、优质化的服务:专业的导诊队伍,全程为您指引,优化体检流程,一站式体检服务,让您的体检过程更简单、更高效、更轻松。
6、网络化管理:依托先进的电脑软件,根据客户需求,保存体检档案,逐年积累,可供查询比对,获得更专业的健康指导。

体检咨询电话: 63155120
地址:南阳市中州路1018号
到达公交:市内乘公交车1路、3路、4路、6路、10路、12路、14、18、21、26、29、31、34、39、路均可到达。
