MRI作为垂体的主要影像学检查方法,其多方位、多序列的成像方式不但能够显示垂体的精细解剖结构及与周围组织的关系,而且能精准的反应垂体病变的病理改变情况。随着MRI技术的不断发展及改进,越来越多的新技术被应用于垂体的影像学评估中,这些新技术为垂体的精准诊断提供了可靠的影像学依据。
本节内容
垂体的解剖及血供--检查前准备--扫描定位--序列说明--相关说明
解剖结构
只有对扫描部位解剖结构熟练的掌握后,才有足够的信心做好相应部位的MRI的扫描。

垂体大体解剖—— 垂体位于蝶鞍的小袋状颅骨凹陷处,直径约10mm,垂体通过垂体柄(漏斗=漏斗干+结节部)与下丘脑相连。垂体分为垂体前叶和垂体后叶;或腺垂体和神经垂体,见图△。
垂体的血供——垂体的双重血供系统与肝脏的血供系统类似,正常情况下,垂体前叶由脑底动脉环分出的垂体上下动脉所形成的门脉系统间接供血,垂体后叶由颈内动脉行经海绵窦后部时发出的垂体下动脉供血,垂体柄则接受来自垂体上动脉和垂体下动脉的血液。垂体前叶和后叶有相同的静脉引流,均有直接的引流静脉,经垂体下静脉引流至硬脑膜静脉窦,见图△。

垂体高度与年龄相关,一般不会超过10mm。婴儿、儿童不大于6mm,成年男性及绝经后妇女不大于8mm,育龄期妇女为10mm,妊娠晚期及产后妇女可为12mm。当然成年人垂体的高度也不能过低,如小于5mm,就应引起重视,考虑是否存在异常。
垂体结构精细,同时成像时容易受到周边组织的影响,所以需要合理的设置参数才能获得良好对比度和信噪比的图像。为了保证图像质量,垂体最好采用1.5T及以上场强的MRI扫描,常规采用小FOV(14-18CM),薄层(2.0-3.0mm),间距0,体素0.5~0.8mm,根据实际需求合理选定。扫描层厚越薄,分辨率越高对其分型越有利。据相关文献报道在T1WI序列中,短TR/TE值可以增加组织间的对比度,因此在合理的参数范围内应尽可能选取短的TR/TE值。同时场强越高,可以得到更高分辨率的图像,其对垂体病变的检出率更高。

正常的垂体在T1WI和T2WI呈等信号;垂体无血-脑屏障,增强后呈明显强化。
检查前准备: 无MRI禁忌症;检查前去除受检者身上的金属异物。
线圈: 头颅专用线圈或头颈联合线圈。
体位: 仰卧位,头先进,身体与床体保持一致,双肩紧靠线圈,使扫描部位尽量靠近主磁场及线圈的中心,双手置于身体两侧,头部用海绵垫固定,枕部可适当垫高,注意保护听力。
定位位置: 双眉中心连线。
常规扫描方位: 矢状位、冠状位。
在行垂体的扫描之前建议首先做一个序列的全脑横轴位扫描,确定颅内是否存在其它病变,再行矢状和冠状面的扫描。

在行垂体的扫描之前建议首先做一个序列的全脑横轴位扫描,T1WI或T2WI;2D或3D,根据需求选择。该序列用于评估颅内情况,明确病变的范围,而后再行冠状及矢状面的扫描。
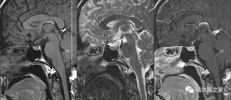
矢状位:SAG T1 FSE 矢状位T1加权序列
以冠状位和横断位作为参考定位。在横轴位上与大脑矢状裂平行;在冠状位上定位线与垂体柄平行,双侧对称扫描。FOV中心置于垂体位置,扫描范围包括整个垂体,根据病变大小调整范围,需包括整个病变范围。

矢状位是显示垂体前后叶最理想的方位。
FOV不宜过大,14~18cm。
使用NPW(去卷折伪影)技术,相位编码方向为前后。
添加上下、前后饱和带可减轻脑脊液,血管搏动伪影。
在不同的年龄阶段,垂体的MRI 信号有所不同,新生儿整个垂体在T1WI 上表现为高信号,约6周以后,垂体前叶的信号强度逐渐减弱并最终与脑皮质相似,而垂体后叶组织内具有较多的神经分泌囊泡则表现为高信号,若高信号缺失则可能与中枢性尿崩症或垂体腺瘤受压有关。

腺垂体可以分泌多种激素,其在T1WI上呈相对低信号,与脑皮质信号相仿;神经垂体虽然不分泌激素,但其可储存下丘脑分泌的激素,在T1WI上常表现为高信号。
矢状位:SAG T2 FSE 矢状位T2加权序列
复制SAG T1 FSE定位线。

使用NPW技术,相位编码方向为前后。
添加上下、前后饱和带可减轻脑脊液,血管搏动伪影。
在常规序列中,T2WI序列在一定程度上可以评价垂体瘤质地的软硬度。

肿瘤质地的评估可以为手术方案的制定提供一定的参考依据。虽然T2WI序列在一定程度上可以对垂体瘤质地进行评估,但建议使用更有优势的序列,如动态增强序列、自由稳态序列、MRE等进行评估。
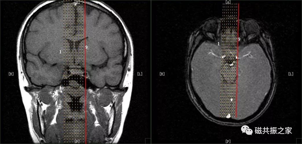
冠状位:COR T1 FSE 冠状位T1加权序列
以矢状位和横断位作为参考定位。在矢状位上定位线垂直于鞍底(或平行于垂体柄或垂直于垂体窝),在横断位上与大脑纵裂垂直,双侧对称扫描,扫描范围包括整个垂体,根据病变大小调整范围,需包括整个病变范围。

冠状位是观察垂体柄形态和测量垂体高度最理想的方位。
FOV不宜过大,14~18cm。
相位编码方向为左右。
添加上下、前后饱和带可减轻脑脊液,血管搏动伪影。
如在矢状位图像上垂体柄倾斜的角度超过45°,建议采用定位线垂直于鞍底或垂直于垂体窝的方式定位扫描。

最理想的冠状位图像:同一层面视交叉、垂体柄和垂体均能清晰显示,共同组成“工”字结构。
冠状位:COR T2 FSE 冠状位T2加权序列
复制COR T1 FSE定位线。

相位编码方向为左右。
添加上下、前后饱和带可减轻脑脊液,血管搏动伪影。
增强扫描
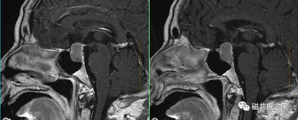
垂体腺瘤是垂体部位最常见的病变,其起源于垂体前叶,也是鞍区最常见的原发性肿瘤。按其是否具有内分泌功能异常分为有功能腺瘤(占70%,以泌乳素腺瘤最多见)和无功能腺瘤。影像学根据垂体腺瘤的大小将垂体腺瘤分为两类:直径<10 mm者为微腺瘤,直径>10 mm者为大腺瘤。对于垂体大腺瘤常规的平扫+增强扫描即可进行鉴别诊断,但对于平扫未发现异常或怀疑微腺瘤的需行垂体动态增强扫描来明确诊断。

对于非微腺瘤,增强按常规扫描即可。SAG T1+C,COR T1+C分别复制平扫的SAG,COR定位线即可,建议至少一个方位使用脂肪抑制技术,如有必要可加扫薄层的横轴位加以补充。对比剂:0.2ml/kg或者0.1mmol/kg。
对于垂体微腺瘤,需行动态增强扫描,对比剂采用半剂量造影剂:0.1ml/kg或者0.05mmol/kg。
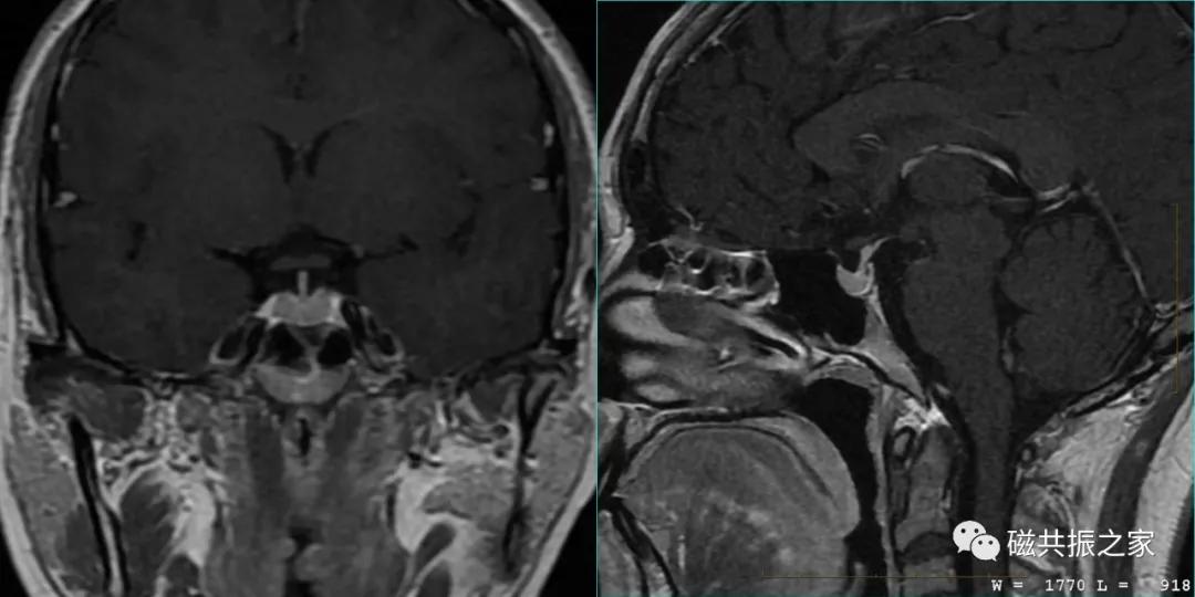
冠状位:COR Dynamic T1 FSE 冠状位T1多期动态增强序列
以矢状位和横断位作为参考定位。定位方法同上面的平扫序列,双侧对称扫描,扫描范围包括整个垂体,为了保证时间分辨率,扫描层数不宜过多,5-7层。注射对比剂前先扫描一期蒙片,暂停,然后注射对比剂的同时开始连续的动态扫描(1.5T:8-10期,每一期20S左右最佳,3.0T:15-20期,每期10S左右最佳),整个动态增强序列扫描3min左右即可。

动态增强通常采用冠状面扫描。注射对比剂前扫描一期蒙片的目的:评估扫描所得的图像质量是否能满足诊断要求,包括范围、信噪比,伪影等。
为了保证足够的信噪比应适当的加大FOV,减小矩阵。
动态增强扫描建议使用脂肪抑制;如时间不允许也可不使用脂肪抑制,但在后面的延迟扫描中需使用脂肪抑制。
不使用饱和带,可缩短扫描时间。
为了保证时间分辨率扫描层数不宜过多,回波链可适当加长(可以加到5)。
造影剂采用半剂量:0.1ml/kg或者0.05mmol/kg,速率2-3ml/s。
注射对比剂的同时开始连续的动态增强扫描;也有采用注射对比剂后延迟5s后,再开始扫描的,这两种扫描方式均可。
扫描后的图像做动态增强曲线后处理分析。

根据垂体的血供关系,垂体增强化顺序为垂体漏斗部及后叶、垂体柄、垂体前叶。
垂体无血-脑屏障,在注射造影剂后的早期即可发生强化,而大多数的微腺瘤由垂体的门脉系统供血,其强化比正常垂体慢,在注射造影剂后早期表现为弱强化或不强化,延迟期较正常垂体强化或不强化;但也存在少数的微腺瘤由颈内动脉直接供血,在增强早期也会发生强化。
据部分文献报道在注入对比剂早期即30-90S和1-3min为垂体微腺瘤的最佳对比时间。
COR Dynamic T1 FSE扫描完成后,分别行延迟期的SAG T1+C及COR T1+C序列扫描。
由于动态增强采用压脂技术,延迟扫描的序列可以不使用压脂。
常规平扫脉冲序列:

1.很多医院为了节省扫描时间,在平扫+增强时将SAG FSE T2WI省略掉了。
2.对于上述序列可使用2D,也可使用3D序列,同时也可采用DIXON序列同时得到不压脂和压脂图像。
3.对于T1WI序列也可采用SE序列扫描,信噪比更好,但扫描时间会长点。
4.使不使用脂肪抑制技术,需结合实际情况合理选择使用,建议动态和延迟至少有一个使用脂肪抑制技术。
5.建议:1.5T:8-10期,每一期20S左右最佳,3.0T:15-20期,每期10S左右最佳,整个动态增强序列扫描3min左右即可。
注意事项及说明:
1.垂体扫描以矢状及冠状为主,横轴位为辅,通常在行垂体小范围扫描之前,先行全脑轴位扫描评估全脑情况。
2. 对于垂体非微腺瘤增强按常规AX T1+C,SAG FS T1+C,COR FS T1+C分别扫描即可,建议SAG、COR少一个方位使用脂肪抑制技术。
3.对于垂体微腺瘤需采用半剂量对比剂行多期动态增强扫描(建议使用脂肪抑制),为了保证时间分辨率,扫描层数不宜过多(5-7层)。在多期动态增强扫描完成后可加扫SAG T1+C及COR T1+C序列(可不使用脂肪抑制)。
4.垂体为双重供血,Davis等认为全剂量(0.1 mmol/kg)会降低正常垂体与逐渐强化的腺瘤之间的对比度,故推荐使用半剂量(0.05 mmol/kg)进行动态增强扫描。
随着MRI技术的不断发展及改进越来越多的新技术被应用于垂体的影像学评估中,这些新技术不但极大的加快了成像速度,还为垂体的精准诊断提供了可靠的影像学依据。
对于各个部位的扫描会不定期的更新,加入一些新的东西进去,所以关于相关部位的扫描请参考最新推送的文章!
参考文献:
王梦珂,白岩,冯芹,张梦焕,王梅云.磁共振成像技术在垂体瘤检出、诊断及疗效评估中的研究进展[J].磁共振成像,2021,12(1):85-88.
郑文强, 翟建. 磁共振成像对垂体腺瘤诊断价值的研究进展[J]. 大家健康(学术版), 2015(10):75-76.
Elster A D. Imaging of the sella: anatomy and pathology.[J]. Seminars in Ultrasound Ct & Mri, 1993, 14(3):182-194.
王苗苗, 杨健. 垂体腺瘤MRI技术的研究进展[J]. 磁共振成像, 2015(9):704-710.
Chowdhury I N , Sinaii N , Oldfield E H , et al. A change in pituitary magnetic resonance imaging protocol detects ACTH-secreting tumours in patients with previously negative results[J]. Clinical Endocrinology, 2010, 72(4):502-506.
Zee C S, Go J L, Kim P E, et al. Imaging of the pituitary and parasellar region.[J]. Neurosurgery Clinics of North America, 2003, 14(1):55-80.
张建鹤, 王守森. 垂体腺瘤的磁共振影像技术研究进展[J]. 中华神经医学杂志, 2016, 15(1):93-95.
马宜传, 谢宗玉. 动态增强MRI在垂体腺瘤诊断中的应用[J]. 中华解剖与临床杂志, 2018, 23(4):288-292.
Davis P C, Gokhale K A, Joseph G J, et al. Pituitary adenoma: correlation of half-dose gadolinium-enhanced MR imaging with surgical findings in 26 patients[J]. Radiology, 1991, 180(3):779.
]武春雪,蒙茗,王政,王朝朝,陈绪珠,李储忠,马军.磁共振T2WI对垂体腺瘤质地的评估[J].磁共振成像,2017,8(10):721-725.
中华医学会影像技术分会,中华医学会放射学分会.MRI检查技术专家共识[J].中华放射学杂志,2016,50(10):724-739.
来源: 磁共振之家
【版权声明】本平台属公益学习平台,转载系出于传递更多学习信息之目的,且已标明作者和出处,如不希望被传播的老师可与我们联系删除