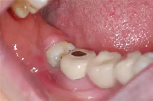
说起智齿,很多人都会面临的一大常见牙齿问题,因为饮食的变化,颌骨变小,智齿已经没有足够的容身之处,使得常常引发疼痛,影响工作和生活,但是去拔掉又总觉得多颗牙齿咀嚼更好,拖着不治,感染导致引发冠周炎!

冠周炎原因
1.由于人类食物的变化而带来咀嚼器官的退化,下颌骨有逐渐缩小的现象,因而造成牙列与颌骨不协调,智齿萌生的位置不足,成为智齿阻生的原因。
2.下颌磨牙后区常有咀嚼后的食物残渣滞留,不易作到口腔自洁,因而引起化脓性炎症。

3.临床上智齿部分萌出,也是伴发智齿冠周炎的直接原因。智齿在萌生过程中,冠部往往被牙龈瓣覆盖,与牙冠之间形成较深的盲袋,食物及细菌极易嵌塞于盲袋内,一般很难通过漱口和刷牙被清理干净;加之口腔内有非常适宜的温度和湿度,致成为细菌繁殖的温床。
4.由于咀嚼食物和下颌智齿正在萌出过程中,使覆盖于智齿周围的龈瓣可同时受两个方向的机械压力,致经常处于受损伤的状态;龈粘膜易发生糜烂和溃疡,从而降低了局部的抵抗力,细菌可乘隙侵入,从而引起冠周炎的急性发作。

冠周炎的危害
1、 由于萌出不全,后侧的牙龈覆盖,其部分牙冠形成冠周袋积存食物和细菌,可以造成局部软组织经常发炎,疼痛难忍,甚至导致张口受限而进食困难。
2、 阻生智齿可引起牙冠周围组织发炎:阻生智齿可能向各个方向倾斜,以向前方倾斜为多见。人体抵抗力一旦降低,如疲劳、睡眠不足、感冒等,细菌及其毒素会引起牙齿周围软组织发炎智齿冠周炎。

3、 会导致牙齿不齐:当智齿开始萌出,有可能将牙齿向前推压,造成前牙拥挤,若是已有轻度拥挤,排列不齐的前牙,情况将更趋严重。如果发现下颌骨没有足够位置容纳智齿,或曾作过牙齿矫正治疗的患者,若智齿萌出对正畸后的稳定有可能造成影响时,应及早拔除,预防前牙排列不齐。
4、 会影响其他牙齿龋坏:阻生智齿能使第二磨牙龋坏。向前倾斜的智齿,其牙冠顶在前牙的颈部,这两颗牙之间形成一个滞留区,由于食物残渣的滞留,得不到正常清洁,细菌繁殖产酸,腐蚀牙齿,造成第二磨牙牙颈容易发生龋齿,往往就诊时已不能保留,需要拔除。

智齿冠周炎的治疗方法
第一,我们要从自身的抵抗力说起,多吃一些新鲜的果蔬,适时补充维生素等,让机体的抗病能力增强,就能减缓炎症、感染的发生。
第二,一般情况下,智齿冠周炎都会造成全身的不适,比如身体发热、头痛等,所以可以根据情况服用一些抗菌消炎、清热解毒的药物哦!

第三,可以用一些生理盐水给发炎的智齿进行冲洗,如果有脓包的形成,最好去医院进行针刺,也能减缓疼痛!
第四,对智齿生长的部位进行全面的分析,如果可以待炎症消退后进行拔除。

智齿拔除痛不痛?
一般正规口腔医院会有:
①笑气镇痛:笑气是一种吸入性的麻醉镇痛剂,吸入体内30至40秒就会起到麻醉作用,停止吸入后数分钟作用消失,其最显著的特点是镇痛作用强而麻醉作用弱。
②无痛麻醉仪:无痛麻醉仪是采用缓慢匀速的注射方式,使注射流速低于患者疼痛阈值,让口腔麻醉更舒适、更安全。

智齿拔除后创口大不大?
现代拔牙都是采用微创拔牙,微创拔牙的目的是尽可能减少手术过程中的伤害,不需要牙铤撬动的力量,能轻柔的拔除牙齿,整个拔牙过程将牙周组织受到的损伤降至最低,愈合更快。

步骤一:把工具尖端延牙长轴方向插入牙周间隙;
步骤二:用持续轻巧的环绕动作让尖端进入牙槽窝,薄而锋利的尖端就会切断牙周韧带压缩牙槽骨,从而使牙齿和缓的从牙槽窝向外移动;
步骤三:大约要切断2/3根长的牙周韧带,解除牙根脱位的阻力;
步骤四:若牙根依然很牢固,就在另外一边重复上述步骤;
步骤五:牙齿从牙槽窝脱位,成功拔除。

智齿牙冠周围的软组织发生炎症,主要症状就是肿胀疼痛。所以,大家一定在智齿开始疼痛时就要注意预防冠周炎,及早诊断拔除,千万不要拖延不治!
