
经导管主动脉瓣置入术(Transcatheter Aortic Valve Implantation,TAVI),是一项国际尖端技术。该技术通过股动脉送入介入导管,将人工心脏瓣膜输送至主动脉瓣区打开,从而完成人工瓣膜置入,恢复瓣膜功能。手术无需开胸,因而创伤小、术后恢复快。这种介入手术的操作非常复杂,而且需要心脏内科、心脏外科、医学影像科室、麻醉科和重症监护等多科室的团结协作,事先制定周密的诊治计划。
沈阳医学院附属第二医院(沈阳市心血管病医院)心胸外科是沈阳市心脏大血管外科临床重点专科,集临床、科研、教学于一体,注重科研和新技术、新知识的应用,紧跟国际国内前沿,科室开展一系列高精尖心血管疾病诊治技术填补省、市相关技术领域空白,跻身全国先进行列,近年来,已成功开展了腋--腋动脉转流术、腋--股动脉转流术、动静脉造瘘(肾衰透析)、动脉瘤切除术、动静脉瘘闭合术等。随着"一站式"杂交手术室的建立,为患者提供了更加安全和可靠的治疗疗效,也为多学科发展提供了相互学习、交流的平台,使心胸外科上了一个新台阶,为开展TAVI打下了坚实基础。
近日,沈阳医学院附属第二医院心胸外科成功完成了1例84岁高龄患者经心尖导管主动脉瓣置入术。据悉,这是继北方战区总院、中国医科大学附属第一医院、大连医科大学附属第一医院之后,辽宁省第四家医院开展的第5例TAVI手术,填补沈阳市级医院空白,标志着沈医二院心血管疾病救治技术达到国际先进水平。
此例TAVI手术,由沈医二院心胸外科学科带头人沈春健教授主持,联合导管室、麻醉科、ICU、体外循环、放射科、超声科等相关科室通力协作共同完成。
据沈主任介绍,患者李某,84岁,因"反复胸闷气短10年,再发并加重1月余"收入心胸外科病房。临床诊断为老年退行性主动脉瓣重度关闭不全,心功能Ⅳ级。需行外科手术干预治疗,否则将会发展为心衰终末期,危及生命。该类疾病内科药物治疗效果不理想,而传统的手术方式需通过开胸体外循环人工瓣膜置换才能治愈,但这对于高龄,且全身状况较差的李姓病患,无疑存在巨风险。
针对李姓病患的特殊病情,沈春健教授及其团队慎重考虑和讨论后,给出的结论是:采用经心尖导管主动脉瓣置入术(TAVI手术)是最佳的治疗方案,并为李姓病患制定了详细的TAVI手术计划,择期手术。

人工心脏瓣膜介入输送系统

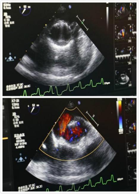
食道超声所示术中人工心脏
手术当日一早,手术相关科室通力协作,麻醉科、介入导管室进行了充分的麻醉及器械准备。11点手术正式开始, 全麻后,经左侧第五肋间小切口5cm依次经胸,显露心尖,双荷包缝合,穿刺心尖并置管,主动脉根部造影,显示:主动脉瓣重度关闭不全,根据术前CT和超声心动图测量的主动脉瓣环直径,选用29mm的J-Valve介入人工心脏瓣膜,植入原主动脉瓣环处。

DSA下人工心脏瓣膜释放与固定
再次造影及TEE显示:主动脉瓣无返流,介入瓣膜形态满意,无瓣周漏,无跨瓣压差。
整个手术过程顺利,术后返回监护室平稳快速康复,术后第一天即返回普通病房下床活动。

随着人口的老龄化,心脏瓣膜病已成为继高血压病、冠心病后的第三大心血管疾病。沈医二院凭借多学科协作和高超诊治技术成功完成此例TAVI手术,为辽沈地区心脏疾病患者带来福音,送来新希望。

供稿单位:沈阳医学院附属第二医院
