说实话,年纪一上来牙缝就开始变大,很多人,包括我也是这种感觉。牙缝太大难看就算了,吃东西也老塞牙,很不好受,年纪越大,牙齿里面塞东西的情况反而更严重了。
也有句俗语说的是:牙缝大是漏财的象征之一。虽然这并没有科学依据去证实,但抛开财不财的这一说法,牙缝隙过大已经严重影响到了生活和外表,还会影响口腔的健康~

43岁的我牙缝隙大,主要是门牙,多年来因这牙齿也受到了许多“伤害”,非常无奈!抽了个时间给大家分享分享下我做完美伦美咖他家瓷贴面的真实感受吧~已经3个月了哦,你们来评价下看看做的怎么样。
唉,每天在上班的时候要面对这么大的颜值“压力”,尴尬的是又正好是门牙,不仅仅塞牙,而且说话还漏风,有时候还被老朋友打趣...

终于忍不住这些压力,在家人亲戚面前不能再丢这个脸了,于是我就在网上各种搜“南京口碑好的口腔医院、南京便宜又好的牙科”等,比价格比专家,然后我是越来越纠结,那些公办的口腔医院又挂号,小点的诊所机构吧又信不过。

我有个朋友是懂口腔这行的,给我介绍了美伦美咖这个平台,然后就预约了日期面诊一下。那天我来到了美伦美咖南京河西店,这么高大上的环境还是比较少见的,然后有很多年前漂亮的小姑娘也在排队做牙。
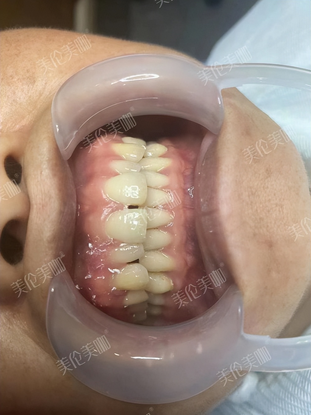
我的面诊医生刘医生他给我介绍了烤瓷牙和牙齿贴面都可以达到同样的效果,只是烤瓷牙磨牙太多,那我就接受不了果断选择瓷贴面,美伦美咖瓷贴面相对树脂贴面来说,更加轻薄,可以做到少磨牙或不磨牙。

那天先是取模,大概是十天之后就去安装的,终于可以摘掉临时牙了。当时做了两个多小时,中途太困了还眯了一会,但是做完瓷贴面之后是相当满意的。
听说美伦美咖瓷贴面的寿命都在20年以上,到现在做完瓷贴面已经3个月了,期间也没去吃过硬的东西,嗑瓜子没事,但是去特意啃核桃肯定不行啊~

