补牙几十到几千元不等 (补牙一颗5000是不是被坑了)

陆博,口腔医学博士,苏州口腔医院副主任医师,擅长美学正畸。热衷于用简单浅显的文字,为您打开口腔知识大门,欢迎关注。

补牙到底贵不贵?身边有的朋友说:"还好呀,也就百来块钱。"有的朋友说:"贵得要死,好几千,肯定是被坑了!"今天我们就来深度剖析一下关于补牙的那些事儿吧~

在开始解析前,我们首先要认清一个知识点:蛀牙到底需不需要及时补?

补牙太贵了五百块,补牙有300多和200多的差别在哪里

非常坚定地告诉你,蛀牙一定要及时补。有一句话说得好,"小洞不补,大洞吃苦",说的就是那些抱着"蛀牙没什么大不了的,不疼不痒的,等疼了再去看好了"的侥幸心态的患者。正是因为有了这种错误的观念,才导致将近一半的蛀牙最终靠补牙也无济于事。

说到这里,你肯定会想,怎么蛀牙就没法补牙了?肯定是小编故意危言耸听,那我们就先来了解下蛀牙形成的过程吧。

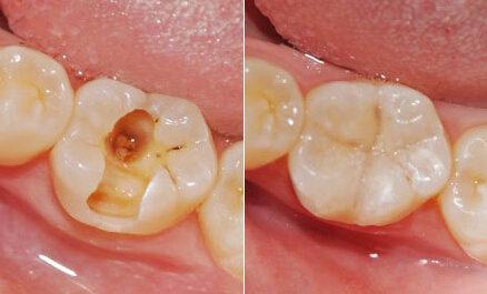
一、蛀牙龋坏的蔓延过程,"浅龋"到"深龋"!

我们先从"牙齿结构"说起。牙齿从内到外,主要由三部分构成:牙釉质牙本质牙髓,如图:

补牙太贵了五百块,补牙有300多和200多的差别在哪里

形成蛀牙的细菌(变形链球菌)通常从最外层的"牙釉质"开始,"从外到内"蛀坏牙齿。虽然牙釉质是人体最坚硬的组织,比骨头还要硬,像"铠甲"一样保护牙齿,但它很"迟钝",被细菌腐蚀也不会痛,这就导致蛀牙初期是没有疼痛感的

因为蛀牙初期不疼不痒,所以导致很多人根本没发现自己有蛀牙,又或者发现了也并没有在意。于是细菌继续向"牙本质"进攻,此时你会感觉略微的疼痛,一般还在能忍受的范围。但如果继续不理会,细菌就会攻破"牙堡垒",抵达目的地"牙髓"。一旦细菌感染到了牙髓,也就到了补牙"补不了"的地步,那么只能做根管治疗,俗称"抽神经"(具体请看下一篇"根管治疗"的文章)。

所以,当细菌停留在"牙釉质"或"牙本质"的时候,也就是蛀牙初期阶段,通过补牙就能解决问题。但临床上有很多患者会有疑问:怎么往牙齿上补那么一点芝麻大小的材料,就要好几百啦?

二、补牙四部曲,一步不能少

补牙是最基础的口腔治疗之一,但往往越是简单的操作,越考验医生的耐心和技术。正规医院在临床诊疗时,为了严格把控医疗质量和医疗安全,会把院内所有诊疗项目的流程全部细化,是一套非常严谨的标准化流程。

补牙第一步:清除龋坏组织

上面我们提到,牙齿被细菌侵蚀形成蛀牙,所以细菌就是"污染源"。那补牙的第一步不是直接补牙,而是磨掉已经蛀坏的部分,从根本上清除"污染源",以绝后患。

你别看这是补牙的第一步,能用高速手机在黄豆大的牙齿上磨掉一部分,非常考验医术——磨少了,细菌还在,等于白忙活一场;磨多了,会伤害牙齿内部的牙髓,最严重的能毁了整颗牙。

补牙太贵了五百块,补牙有300多和200多的差别在哪里

所以说,当你听到医生用机器"钻磨"你的牙齿时,乖乖配合不乱动,是最明智的选择。如果实在是感觉到疼痛或敏感,可以举左手示意,医生会停下让你缓冲一会。

补牙第二步:酸化牙釉质

用舌头舔一舔牙齿,就会发现牙齿表面光面平整,根本没办法粘黏东西,那怎么保证补牙材料能顺利粘上去呢?这就要用上补牙"神器"——酸蚀剂

补牙太贵了五百块,补牙有300多和200多的差别在哪里

图中蓝色的胶状物体就是酸蚀剂,它的作用是酸化牙齿表面的牙釉质,使其表面形成肉眼无法察觉的凹凸面。简单来说,就是让光滑的牙表面在短时间内变"粗糙",以增强摩擦力,便于粘黏补牙材料。虽然简单,却必不可少。

补牙第三步:填充牙洞

到了"填充牙洞"这一步,才算是大众心里真正意义上的补牙,也就是用补牙材料将牙洞填起来的步骤。填充过程相对简单,反而大家普遍关心的问题都集中在"补牙材料"上:补牙多少钱?哪种材料最好?有没有推荐的?

一般来说,补牙价格按照"颗数"来定,再根据材料不同而有所区别,就目前而言,临床使用较多的材料这几种:

1.纳米树脂

如果您要一款性价比最高的材料,90%的口腔医生会推荐纳米树脂,它也是目前临床使用最多的材料,那优点具体是什么?这么说吧,补牙材料应该具备的优点它都有,比如贴近牙色、牢固、粘合性高等,几乎看不出修复痕迹,非常自然,补完即可进食,丝毫不影响饮食,如图:

补牙太贵了五百块,补牙有300多和200多的差别在哪里

纳米树脂价格一般在200+一颗,具体根据各地方经济水平、各医院收费标准而略有浮动。如果保护得当,用上几十年也是有可能的,平均到每天的话,真是妥妥的"性价比之王"!

2.流动树脂

同样属于"树脂"材料一类,但流动树脂的牢固性远远比不上纳米树脂。不过就"美观性"而言,流动树脂是经得起考验的。

3.玻璃离子

玻璃离子是初期的补牙材料,相对价格实惠,大约60—70元一颗。从价格也能看出来,玻璃离子的质量是比不上纳米树脂的,不仅修复痕迹明显,也易脱落,一般是对修复效果要求不高的老人家的选择。

补牙太贵了五百块,补牙有300多和200多的差别在哪里

对于补牙的材料选择,小编用亲身补牙的经历建议大家选择纳米树脂,虽然两三百一颗(也就少喝几杯星巴克的价钱啦),但补完牙后不论从效果,还是使用的舒适度上来说,性价比还是很高的。当然,医生的技术也至关重要,补牙技术不过关,再好的材料也无济于事。

牙洞填充好后,补牙就结束了吗?并没有。最后的这一步尤为关键。只有完成下面这一步,治疗才算完整。

补牙第四步:"精雕"牙体

填充只是简单"填满"牙洞,却无法贴合咬合。什么叫"咬合"?

我们都知道,牙齿最大的功能就是咀嚼食物。牙齿相互交错,形成像齿轮一样的"碾碎机",把所有入口的食物切断、咬碎才能送进食道,这种关系就叫"咬合"。健康的咬合关系自然舒服,上下牙精准对应,完全没有"膈应"的感觉。但如果补完牙后有"牙咬不齐""牙齿膈应有异物",又或是"似乎多了一块"等感觉,说明咬合没调整好。那怎么调整咬合呢?答案就是"雕刻"牙齿。

由于每个人、每颗牙齿的体积、形态都不一样,因此补牙材料粘接好后,医生会化身艺术家,将填补的材料"雕刻"成与原本牙齿相差无几的形态,哪怕是一条细小窝沟,都要努力调到最优。

补牙太贵了五百块,补牙有300多和200多的差别在哪里

有时一遍就能调整好,有时要反复调整,非常考验医生的耐心与责任心,可见选对医生对保证补牙效果的重要性之大!

以上四个步骤,能解决大部分蛀牙问题。但有一类蛀牙的情况很特殊:牙洞太大,一颗牙蛀坏一大半,普通补牙材料根本补不了,但并没有伤到牙髓(也就是牙神经),达不到做根管治疗的地步,怎么办?这就要介绍一种高级的补牙方式——嵌体。

三、高级的补牙方式——嵌体

嵌体,顾名思义,是镶嵌在牙齿里的物体,也就是既然牙洞太大没法补,索性就做"一块牙齿"镶嵌进去,达到补牙的效果。

补牙太贵了五百块,补牙有300多和200多的差别在哪里

为了保证嵌体的美观和硬度,所以大部分嵌体是用的全瓷材料,因此价格差不多与全瓷牙冠相等:国产到进口材料都有,大约2000——7000元每颗,价格不等,根据个人口腔情况和经济能力来选择适合的就好。虽然价格相比补牙贵很多,但至少保住了自己的真牙。

最后还是回到我们今天的主题:补牙到底贵不贵?其实不贵。只要不刻意用补牙部位咬硬的东西,好好保护、用心呵护,几百块钱的补牙可以用几十年,是口腔治疗中性价比最高的治疗。但如果出现蛀牙却不理不顾,任由细菌破坏牙齿,一旦感染了牙髓,那就不是几百块的补牙能搞定,只能根管治疗(下篇科普文便是有关"根管治疗"内容),或是拔牙。

所以说,每半年做一次口腔健康检查非常必要,可以预防大部分的口腔疾病,一旦发现蛀牙也可以及时补牙,还是那句话呀,"小洞不补,大洞吃苦"!

如果您对蛀牙的知识还有其他想了解的,或者您还想了解其他口腔方面的知识,可以随时咨询小编哟,爱牙的路上不孤单,我们一起努力~

PS:如果您觉得本文对您有帮助,欢迎关注、评论,为您和家人的口腔健康之路扫雷。