
进入冬季,意味着进入了流感高发季节,经过去年非常凶猛的流感疫情,抗流感病毒“神药”—奥司他韦已被广大人民所熟知,近期收到很多关于流感用药的咨询,其中有一个问题与目前我国二胎政策非常贴近,就是“妊娠时如果感染流感,可以使用磷酸奥司他韦吗?”
在回答这个问题前,我想跟大家分享一个临床的案例。
患者女,36岁,因“停经35周”,“间断发热伴咳嗽、咳痰、气促5天,加重1天”于2018年1月13日入院。既往体健,患者于5天前接触发热病人后出现上述症状,体温最高39℃,外院给予“浦地蓝口服液、头孢呋辛、希舒美、氨溴索、顺尔宁等”药物无明显缓解。
患者入院时呼吸急促,余无明显不适。自觉胎动正常,否认家禽接触史。查体:T38.5℃P102次/分R33次/分BP117/68mmHg。呼吸急促,双肺呼吸音粗,双肺可闻及湿性罗音,心脏听诊无异常。腹膨,无压痛及反跳痛。
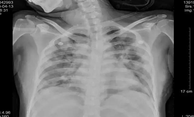
辅助检查,血常规五分类:WBC3.05*10^9/L,中性粒细胞百分比83.6%,淋巴细胞百分比11.1%。血气分析全套:PH7.467、PCO219mmHg、PO 2 58mmHg。氧合指数:276。生化,CRP104.12mg/L。胸片:双肺肺炎,如下图所示。
入院诊断:1.病毒性重症肺炎;2.I型呼吸衰竭;3.孕3产2宫内妊娠35周单活胎LOA高危妊娠。

诊疗过程:
病人迅速转移至隔离病房,予高流量面罩给氧,留取痰液标本送CDC流感病毒检查,并行痰培养等病原学检查,予达菲150mg/bid口服,并予哌拉西林钠他唑巴坦钠+阿奇霉素抗感染治疗,同时做好新生儿转运隔离。
入院当天夜间急诊行全麻下剖宫产术,手术过程顺利,新生儿Apgar评分7’-10’-10’,转入新生儿科。术后,予甲泼尼龙40mg/bid静滴,肠外营养、维持水电解质平衡、促宫缩等治疗。
1-14,CDC检测结果:确诊H1N1病毒性肺炎,继续抗病毒、抗感染、激素、呼吸机支持等治疗。1-18,患者病情好转,予拔管撤机,无创呼吸机辅助呼吸。1-19,患者呼吸平顺,停用抗病毒、抗感染药物,氧分压可,停用无创呼吸机,予中流量给氧,患者呼吸平顺,氧合指数318。1-23转入内科治疗。2-2,出院。

通过这个案列,能够给我们广大医务工作者和群众什么启示呢?我想有以下两点值得大家关注:
第一,妊娠期防治流感非常重要。
文献表明孕妇是流感高危人群,易并发重症肺炎[1],随着孕周的增加,早中晚孕期因流感并发心肺损害的住院率分别为无合并症孕产妇的2.9倍、3.4倍和7.9倍[2]。1350例合并流感孕妇,50%并发肺炎,总体死亡率为27%,妊娠晚期的死亡率最高[3]。为什么孕妇感染流感容易出现重症、高住院率和高死亡率呢?这与孕妇特殊的生理特征有关系(如下图所示)。

流感不仅对孕妇本身造成危害,而且对妊娠结局产生不利影响,见下图:

Dubar[5]等研究表明,妊娠感染流感产生严重的不利结局与流感症状出现后使用奥司他韦治疗的延误的天数之间有很大的相关性,因此,妊娠妇女一旦感染流感,应尽早用奥司他韦进行治疗。

第二,孕妇使用奥司他韦的有效性和安全性。
这两方面是我们非常关注的问题。
首先看看WHO关于流感(H1N1)和相关流感病毒的防治理指南怎么说:

对于已经感染流感的妊娠或产后2周内的女性,《流行性感冒抗病毒药物治疗与预防应用中国专家共识》建议应尽早开始抗病毒治疗,推荐的治疗剂量与成人相同。奥司他韦为一线推荐,扎那米韦和帕拉米韦可以作为替代选择。

由于缺乏充分的研究,磷酸奥司他韦在FDA妊娠等级中属于C级,意味着本药只有在权衡对孕妇的益处大于胎儿的危害之后,方可使用。那么,奥司他韦到底对妊娠的结局有何影响?
关于奥司他韦的临床前研究
奥司他韦在体外人体模型中,当把正常75mg/bid的成人剂量血药峰浓度提高至6倍后,仍然在子体中未检测到奥司他韦及其代谢产物,当把浓度提高到30倍后,子体奥司他韦及其代谢产物羧酸奥司他韦的浓度分别为母体侧的1.4%和3.6%[6]。
《妊娠期和哺乳期合理用药第七版》中观察到高剂量奥司他韦对动物胎儿的骨骼有影响,但仍然没有超过预期基础发生率(见下图)。

关于奥司他韦安全性的临床研究
一项基于人口的跨国观察队列研究和荟萃分析[7],涵盖丹麦、挪威、瑞典及法国部分区域的数据资料,评估神经氨酸酶*制剂抑**在胚胎-胎儿生命期对不良新生儿结局和先天畸形的影响。该研究包括5824名暴露的妇女及其婴儿和692232名为暴露的婴儿。结果显示:在子宫内暴露于神经氨酸酶*制剂抑**与不良新生儿结局或先天畸形的风险增加无关。
国内的一项关于奥司他韦治疗妊娠期流感病毒感染安全性的meta分析[8],分为奥司他韦暴露组1865例,非暴露组138414例。结果显示,对妊娠结局,奥司他韦不仅没有影响,胎膜早婆率还低于非暴露组。对于胎儿结局,奥司他韦不仅没有影响,胎儿畸形、小样儿方面海低于非暴露组。
同样为东亚人群的日本,一项619例服用奥司他韦的妊娠妇女研究,结果发现孕早期及孕中晚期的新生儿发育异常率与普通人群新生儿发育异常率没有显著差异性[9]。

最后,对于妊娠感染流感时服用奥司他韦的必要性和安全性总结如下:
- 由于特殊的生理特征,妊娠孕妇是流感的高危人群,防范大于治疗,所以在流感高发季节,应尽量避免接触流感的高危环境,尤其对于合并有慢性呼吸系统疾病、心血管系统等疾病孕妇或肥胖者(BMI≥40)。
- 孕妇感染流感后,往往导致不良妊娠结局,所以一经出现流感样症状,应尽早就诊,确诊或疑似流感时,应尽早开始奥司他韦等抗病毒治疗,剂量与成人相同。
- 虽然目前奥司他韦对于妊娠的影响还没有明确的证据,现有的研究表明其可能与不良妊娠结局及不良胎儿结局的相关性不大。
- 两权相害取其轻,相比于流感对妊娠期女性带来的巨大威胁,我们应权衡利弊,及时早期用药。
(来源:药评中心 作者:黎药师)
参考文献:
[1]http://www.cdc.gov/flu/protect/vaccine/pregnant.htm
[2]Jamieson DJ, Honein MA, Rasmussen SA, et al. H1N1 2009 influenza virusinfection during pregnancy in the USA[ J] .Lancet,2009, 374:451-458.
[3]Rasmussen SA,Jamieson DJ,Bresee JS.Pandemic influenza and pregnant women[J].Emerging Infectious Diseases, 2008,14(1):95-100.
[4]王晶,黄桦,姚勤,王晶晶,郑巧玲,张峻. 奥司他韦治疗妊娠合并甲型H1N1流感的安全性评价的研究状况[J]. 中国临床药理学杂志,2014,12:1156-1158.
[5]DubarG,Azria E,Tesnière A.French experience of 2009 A/H1N1v influenza in pregnantwomen[J].2010,5.
[6] WorleyKC,Roberts SW,Bawdon RE. The metabolism and transplacental transfer ofoseltamivir in the ex vivo human modle.[J].Infect ,Dis ObstetGynecol,2008,160:1-5
[7]Sophie Graner,Tobias Svensson,Anna-BelleBeau.Neuraminidase inhibitors during pregnancy and risk of adverse neonatal outcomesand congenital malformations: population based European register study.[J]. BMJ2017;356:j629 | doi: 10.1136/bmj.j629
[8]柳汝明,卢珊珊,钱懿轶,王露婕,冯朴琼,罗吉敏,何瑾,张峻.奥司他韦治疗妊娠期流感病毒感染安全性的Meta分析[J].中国医院药学杂志,2016,36(15):1287-1291.
[9]Outcomesof infants exposed to oseltamivir or zanamivir in utero during pandemic (H1N1)2009