正畸初诊时,你是不是也有这个疑问:我只需要简单排齐牙齿,为什么拍完口内照、面像照,还要拍全景片、侧位片,医生不会是变相多收我钱吧?
No,当然是因为拍片很有必要了!
一
正畸前为什么要拍牙片?
通过拍片,正畸医生可以初步了解牙根、牙槽骨和颞下颌关节的情况,判断上下颌骨和牙齿的位置以及软组织侧貌。对牙齿及颌骨结构情况有了全面了解后,才能“对症下药”,制定适合你的矫正方案。
不过,在医生指着牙片跟你解说牙齿问题和初步方案的时候,你是不是也是下面这个表情:

如果你也想拿着牙片和医生侃侃而谈,从而对自己的矫正方案有更明确的把握,那你就一定要往下看了!
二
牙片有哪些种类?
一般来说,为了让医生对你的牙齿情况有较全面的掌握,在初诊时需要拍摄曲面断层片(简称全景片)、头颅侧位片(简称侧位片)。通过全景片我们可以看到整个牙齿(包括牙根)、牙槽骨和关节的情况,而头颅侧位片可以帮助了解上下颌骨的畸形程度、侧貌等,这些都会影响矫正方案的制定。
三
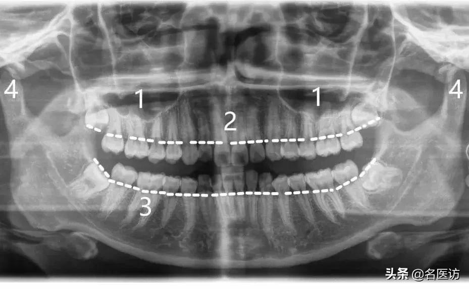
曲面断层片怎么看?
曲面断层片是可以在一张图像上显示全口牙齿、牙周组织及颞下颌关节等情况的医学影像,主要用来辅助检查无法从外部观察到的口腔情况。
在正式学习之前,我们先来认识几个专业名词:
1:上颌窦
2:牙槽骨
3:牙根
4:髁突

以下这4个点是正畸医生会重点关注的,我们就来着重介绍下:
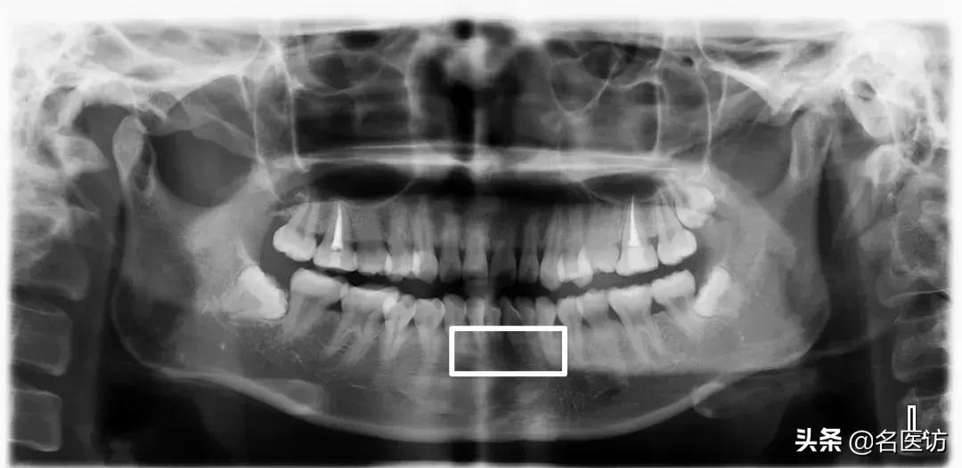
1、牙根、牙槽骨
牙根和牙槽骨的状态是影响矫正方案的2个重要因素。

牙根短
我们平常肉眼可见的“牙齿”,其实只是整颗牙齿的“冰山一角”,看不见的牙根部分也很重要。如果存在严重牙根吸收或牙根短的情况,矫正中移动牙齿的风险就会增加,牙齿可能会松动。

牙槽骨吸收
若牙根健康,但牙槽骨存在吸收情况,矫正时也是一样有风险的。如果把整个牙根分成3份,健康的牙根是全部埋在牙槽骨中的,当牙槽骨吸收超过1/3时,矫正就可能带来牙齿松动,而当牙槽骨吸收超过1/2,一般就不建议做矫正了。
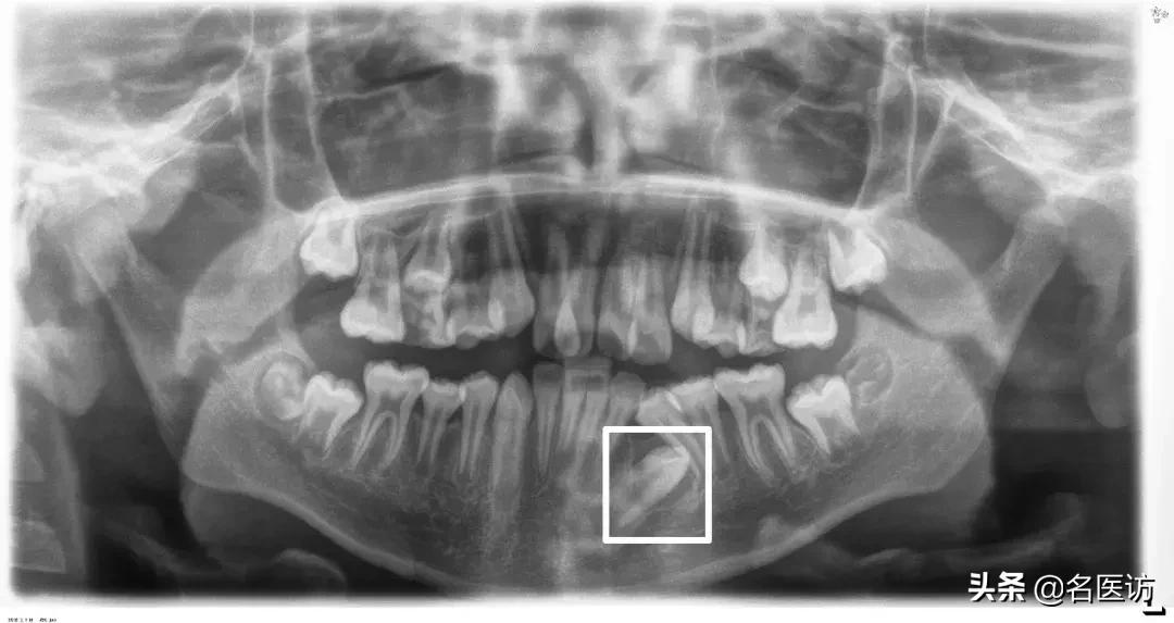
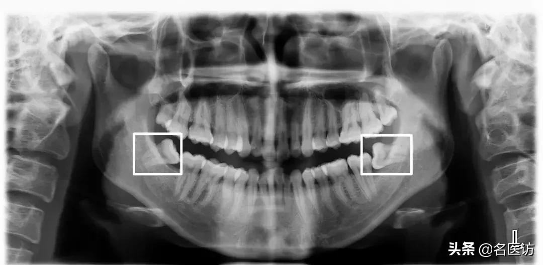
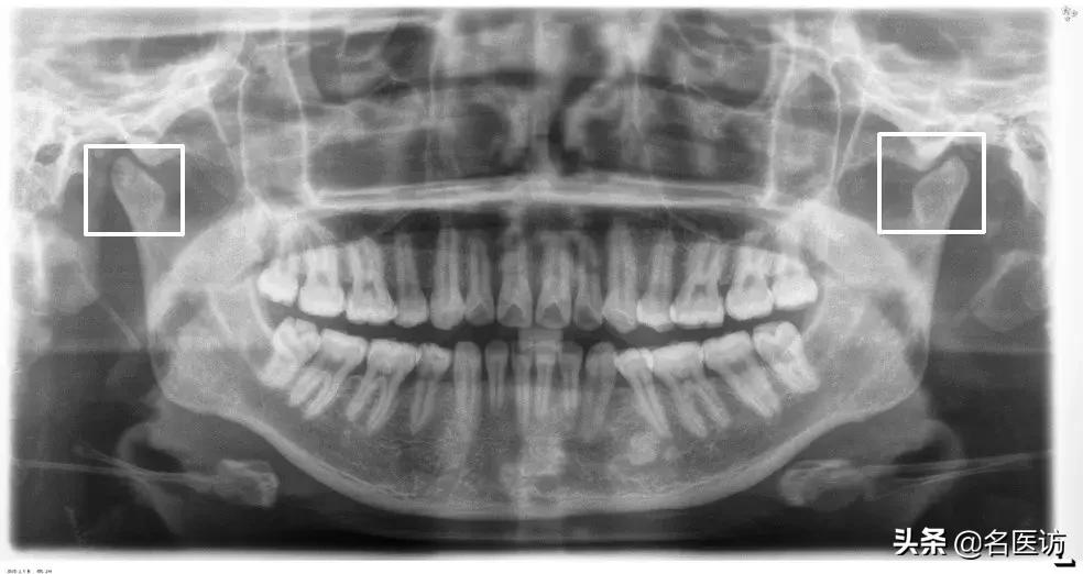
2、牙齿异常
阻生牙、埋伏牙和恒牙的先天缺失是错颌畸形的原因之一。阻生牙常压迫相邻牙齿并导致相邻牙齿牙根的吸收,而阻生的第三磨牙(俗称智齿)如果没有在矫正前拔除,很可能会成为日后牙齿问题复发的罪魁祸首。

埋伏牙

多生牙

阻生牙
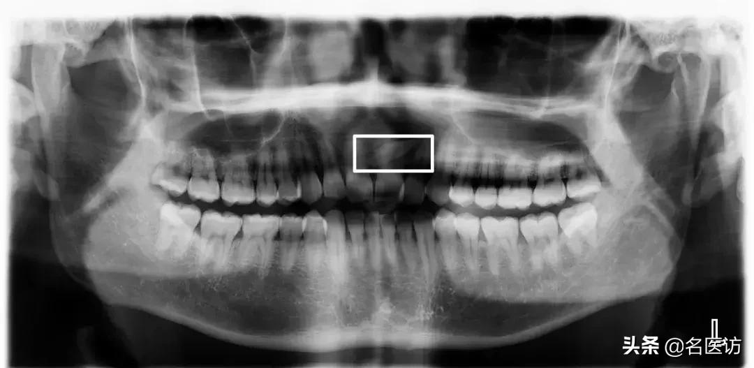
3、颞下颌关节
除了美观外,功能健康也是很多人选择矫正的主要原因,因此在矫正前后查看关节的情况很重要。

髁突磨损
全景片观察的主要是颞下颌关节的对称性和髁突的形态,如果关节严重不对称或髁突有明显磨损,需要去做进一步的详细检查,不能贸然开始做矫正。
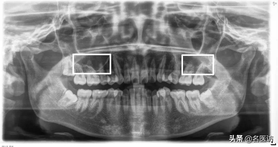
4、上颌窦
上颌窦底与上颌后牙牙根的位置关系也是矫正时要重点关注的,一般来说上颌第一磨牙与上颌窦底距离最近,但两者依然保持着“睦邻友好”的关系,如果上颌牙的某些牙根进入了上颌窦内,那么这些牙齿在矫正时移动的阻力可能会比其他牙齿大很多,可能存在这些牙齿的矫正效果不如预期的情况。另外,即使这些牙齿可以移动,但也会增加牙根吸收、牙齿移动不了的风险。

牙根穿过上颌窦
除此之外,全景片还可以看到一些其他和矫正相关的问题,比如根管治疗的牙齿、烤瓷牙等,还能反映出一些和矫正并不直接相关的、但确实在你身上存在的问题,比如颌骨内的囊肿、某些异常颌骨结构等,正畸医生一旦发现有其他异常,也会及时告知的。
四
头颅侧位片怎么看?
矫正前后的侧位片,可以帮助医生了解牙齿、颌骨的状态及变化情况,并进行侧貌的美学评估。

侧位片(图片来自影像园网,侵删)
医生会用很多标志点和平面来分析侧位片,天使君很难将所有的点一次跟天使er们介绍清楚。这次来跟天使君一起了解下几个常用的侧貌美学分析依据。
1、评估面型:SNA角
面型可粗略的分为3大类:直面型、凸面型、凹面型。其中,直面型是公认的最符合审美的面型,SNA角可以帮助我们了解自己的面型和凹凸度。
N:鼻根点,鼻额缝的最前点
S:蝶鞍点,蝶鞍影响的中心
A:上牙槽座点,鼻子和上牙槽接触的最凹点

当该角过大时上颌前突,面部侧貌呈凸面型;反之上颌后缩,面部呈凹面型。
2、评估下颌位置:SNB角
B:下牙槽座点,下牙槽和颏部接触的最凹点

当该角过大时下颌相对前颅底的位置前突;反之呈颌后缩。
3、U1-SN
U1:上中切牙切缘点

反映上中切牙(俗称门牙)相对于颅底的倾斜度,角度越大,门牙越突,也就越可能出现龅牙的侧貌。
4、评估上下唇凸度:E线
Prn:鼻部最凸点
Pog’:颏部最前点

E线也叫审美平面,是鼻子凸点和颏前点的切线,用来评估上下唇的凸度。据统计,中国成年人上下唇超出E线的占76%,而美丽的成年女性,双唇应该都在E线内。(手动微笑再见!)
以上这些评估方法只能简单的评估侧貌,想要全面和较准确的了解自己的侧貌,还是建议天使er们咨询自己的正畸医生。
看到这里的小天使每人一朵大红花!希望这篇文章能让你在拿到牙片的时候不这么懵逼,一方面可以和医生一起探讨牙齿和矫正问题,另一方面也让你对自己的矫正方案有更深的认识。无论如何,小天使都要充分相信自己的正畸医生,遵照医嘱积极配合矫正,希望你可以拥有最适合的矫正方案和最好的治疗效果!
今天的科普就到这里啦,如果大家有牙齿问题,也可以在评论区留言哦~牙齿有问题,那就关注「名医访」吧!好了,我是小美,有任何牙齿问题都可以撩我【mingyikanyahao】