近年来,新闻陆续报道至少5名人都死于肺癌,令人痛惜,治好的概率为零。公开报道这些名人的肺癌都是晚期,所以“治不好了”。作为从事肿瘤治疗有责任心的人民医生,笔者感觉有必要把晚期肺癌治疗成功经验和技术告诉广大读者。
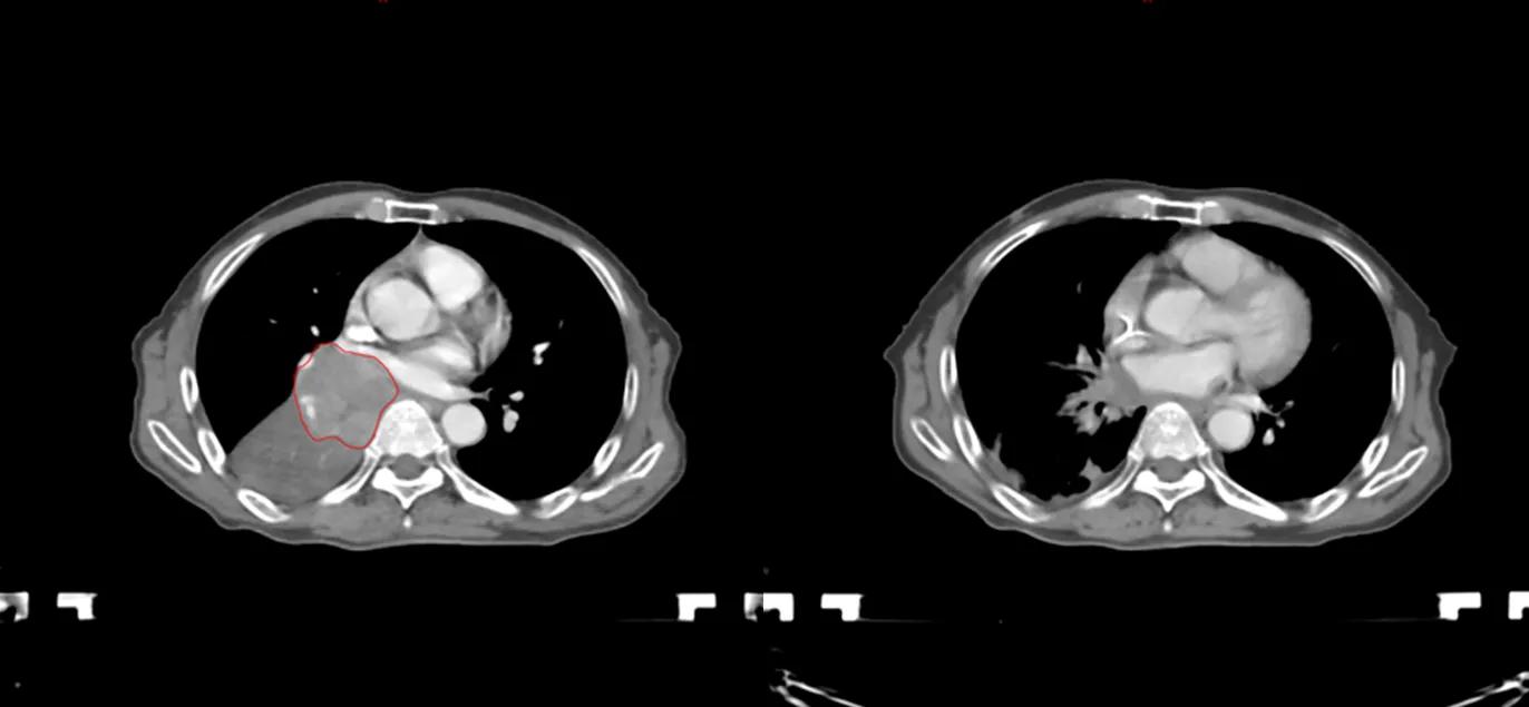
与这些名人患肺癌的同时,笔者治好了至少5位晚期肺癌病人(见下图CT片显示的肿瘤)。笔者病人有咳嗽,咯血,胸痛,胸闷,气急等症状,病人家属知道亲人是晚期肺癌,没有抱多大希望,治疗的目的只是想减轻一些症状,延长生命。经过笔者的精心治疗,2例现已活了5年多,2例已活过3年多,1例已活过2年多。治疗时年龄最大有82岁,最小年龄51岁,他们现在都生活得很好,甚至一个来自江西农村的病人一直在田地里干重体力农活。
读者要问笔者的病人是用什么方法治好的呢?答案是大剂量放疗!
晚期肺癌大剂量放疗技术是笔者在上海市第一人民医院花费近10年时间才研究成功尖端技术,疗效非常可靠。但大剂量放疗要求的技术含量高,工艺流程复杂,需极高医术。强如美国10年前也在研究这种大剂量放疗治疗晚期肺癌的技术,但是失败了,因此美国人甚至世界上都认为晚期肺癌大剂量放疗是不可能实施的技术,放弃了。但问题是晚期肺癌就在那
儿,现在也没有其他可靠的治疗晚期肺癌的方法,大剂量放疗是唯一的希望,放弃这种方法等同于向晚期肺癌“投降”,无疑是选择死亡。2019年在美国召开的世界肿瘤大会上,笔者向全世界同行报道了这项技术,受到各国专家积极评价。笔者在此特别感谢这些病人在大剂量放疗技术研究过程中作出的奉献。
从事肿瘤治疗数十年,笔者很肯定地说,如果晚期肺癌不经过大剂量放疗,希望渺茫。正如这些名人们虽然比普通人有更好的医疗条件和经济实力,最终还是让肺癌夺去生命。笔者推断这些名人肯定没有接受大剂量放疗,因为除了上海市第一人民医院南院笔者团队,世界上能提供这种治疗技术非常少。可以设想如果接受大剂量放疗,这些名人的结果可能会有所不同。笔者这些晚期肺癌病人能治好了的事实雄辩地证明,经过大剂量放疗治疗,晚期肺癌是有希望治好的。
国家权威机构报告,每年我国新发肺癌病人73人(晚期约占70%),死亡61万人,治好的仅12万。考虑到新发73万肺癌中,大概30%病人是早中期,目前早中期治愈率大概60%,也就是12万。这样计算下来,晚期肺癌治好的寥寥无几。不得不说,笔者这些晚期肺癌患者是幸运的,而那些名人是不幸的。
晚期肺癌治疗难度确实大,常规治疗很难治好。大剂量放疗如同一把利刃能完全、干净、彻底消灭肿瘤,能让一些不可治的晚期肺癌变为可治,是目前笔者认为并被证明了的能治好晚期肺癌最可靠方法。遗憾的是,由于种种原因,目前世界上能开展大剂量放疗治疗晚期肺癌的医院或者肿瘤中心还很少,掌握这种技术的医生也少,国内以美国为马首是瞻的医生主观上也不认同晚期肺癌大剂量放疗。注定很多病人是无缘接受到这种治疗,不得不说是一种遗憾。大剂量放疗技术难度很大,也有一定风险(小于3%),但考虑到晚期肺癌极高的病死率,即使有治疗风险也应该勇敢地去接受这一尖端治疗。
最后,笔者中肯建议,得了晚期肺癌,为了有更大机会活下来,应接受大剂量放疗,越早越好!!!

治疗前后CT对比,红色为肿瘤(左),治疗后肿瘤消失(右)

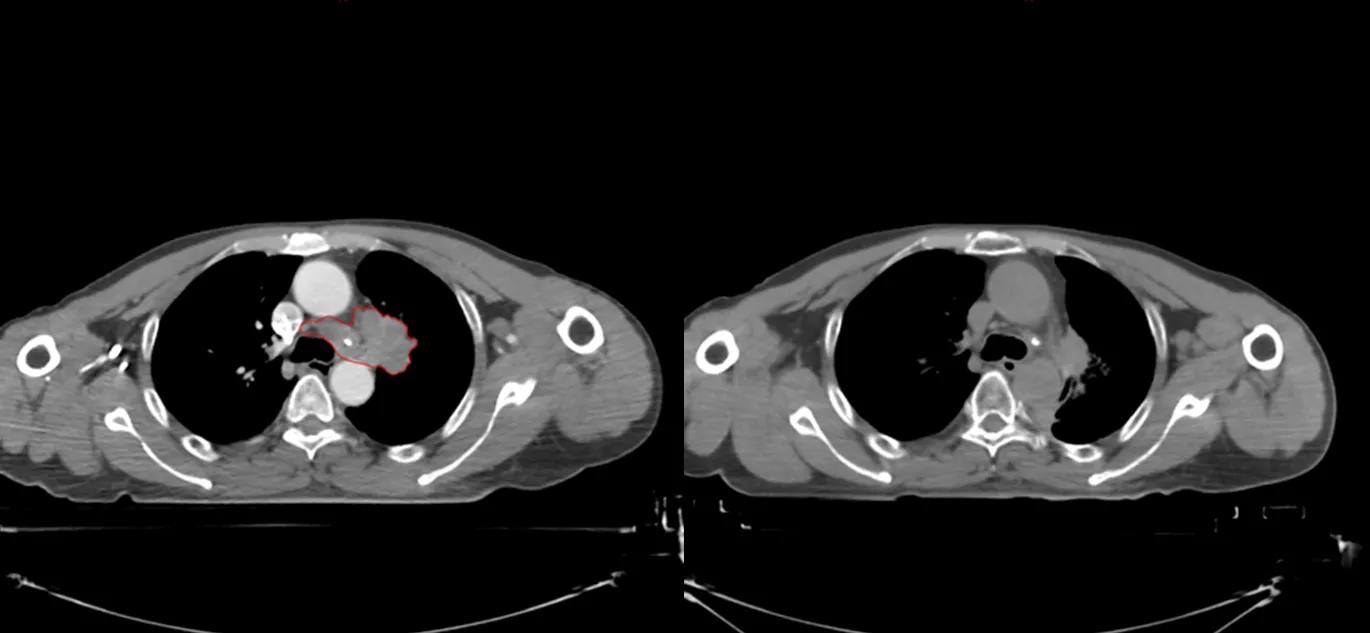
治疗前后CT片对比,红色为肿瘤(左),治疗后肿瘤消失(右)

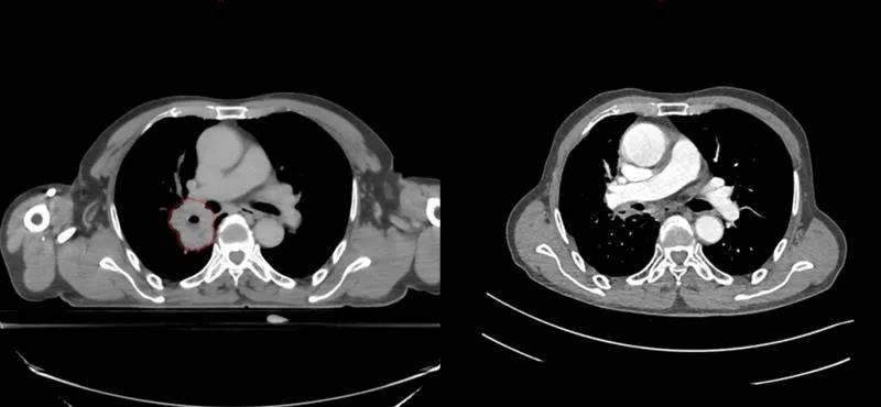
治疗前后CT对比,红色为肿瘤(左),治疗后肿瘤消失(右)

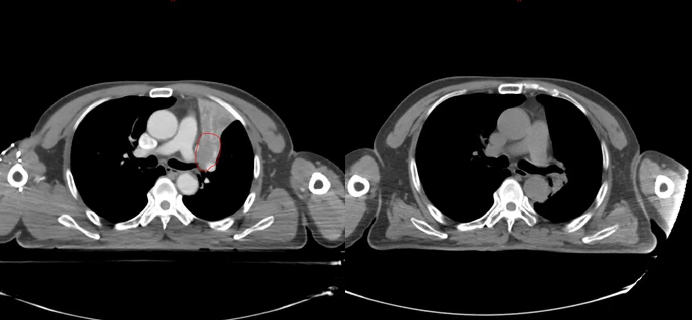
治疗前后CT对比,红色为肿瘤(左),治疗后肿瘤消失(右)

活疗前后CT对比,红色为肿瘤(左),治疗后肿瘤消失(右)