“癌症有一半都是治死的,不治疗我还能活更久!”

李叔叔今年58岁了,他平时身体还不错。最近这两天他总是腹胀、腹部隐痛,于是自己就去药店买了一点药物。结果,3天过去了,症状不但没有减轻,而且还有加重的趋势。

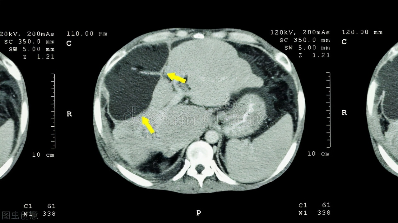
无奈之下,李叔叔就去了医院就诊,接诊医生仔细询问了情况后,就给他开了腹部CT的检查。 检查结果出来后,发现肝脏有一个肿块,而且还发生了转移,初步诊断为肝癌。 接诊医生把情况告诉了李叔叔,并且建议他住院接受正规治疗。李叔叔听了接诊医生的言论后,内心特别的排斥,所以就说出了文章开头的那句话。
可能很多人都和李叔叔有相同的观点,那得了癌症以后不治疗身体会发生哪些变化呢?会不会活得更久呢?为了让大家对癌症有更多的认识和了解,今天医者良言就跟大家好好聊一聊这个问题。
1.癌症患者真的有一半都是治死的吗?癌症患者不治疗,会不会活得更久?

不可否认,现实中确实存在着癌症患者被治死的情况,但是要说癌症患者有一半是被治死的,那就真的有点夸张了。 有一些癌症患者因为过度治疗破坏了自身免疫力,而且还会让患者的身体更加虚弱,因此会增加患者死亡的概率。
但是需要注意一点,由于大多数癌症患者在早期没有什么明显的症状,所以很多人一旦被确诊为癌症,多数都是中晚期,这个时候已经错过了手术的机会。与此同时,有些癌症的恶性程度比较高,治疗效果不好,这样的话就会产生很多癌症患者都是被治死的感觉。

实际上,癌症并非是不治之症。随着科学技术的发展,很多治疗手段也都应运而生,比如靶向治疗、免疫治疗等。 就拿靶向治疗来说吧,它进入人体后能和癌细胞特定的位点发生结合,从而特异性地杀死癌细胞。由于靶向治疗具有比较好的识别作用,所以它不会损伤癌细胞周围的组织或者器官。虽然说目前人类还无法彻底战胜癌症,但是一些治疗手段确实能延长患者的寿命、提高患者的生存质量。
另外,有一些癌症是可以被治愈的。就拿甲状腺癌来说吧,它属于低度恶性肿瘤、生长速度比较慢,因此早期手术进行手术患者的5年生存率高达90%以上。

客观来说,癌症患者不治疗能活更久纯属胡扯。 虽然说癌症确实存在不治而愈的情况,但是那个概率不会比买彩票中600万大奖高多少。 如果癌症患者不进行治疗,那进展的速度就会比较快,因此得了癌症,还是应该接受正规的治疗。
2.被确诊癌症后不治疗,身体或会出现4大变化:
可能很多患者会说,得了癌症不去治疗,到底会发生什么变化呢?可以肯定地说,对于大多数癌症患者来说不治疗,结局一定是悲惨的,具体的可以总结如下:
【1】发生难以纠正的感染:

正常人之所以不得癌症,是因为他们的免疫力比较强大。当人体内出现癌细胞的时候,免疫系统会及时出手杀死它们。如果人体免疫力下降,那就会给癌细胞以可乘之机。
对于癌症患者来说,他们本来免疫力就不强。这个时候再进行放疗、化疗,那无疑会进一步降低免疫力。
与此同时,很多癌症患者可能消化功能比较差,所以身体会比较虚弱。一旦发生了感染,那即便用强力抗生素效果也可能会比较差。
【2】发生恶病质:

我们都知道,癌细胞具有无限增殖的能力,只要给它提供充足的营养,它就能一直长下去。
癌细胞为了能更好地生存,就会和人体抢夺营养物质。与此同时,癌细胞还会分泌一些有毒有害的物质来影响患者的消化能力。
长此以往,癌症患者就会出现体重下降、严重的营养不良、多脏器衰竭、代谢异常等情况,这就是临床上说的恶病质。
【3】引起难以忍受的疼痛:

对于癌症晚期的患者来说,他们往往会出现难以忍受的疼痛。这个主要是因为癌细胞在不断生长的过程中会对周围的组织或者脏器造成破坏、压迫。
癌细胞侵犯到胸膜,可以引起胸痛;侵犯骨头,可以造成剧烈的骨痛或者病理性骨折;侵犯消化道,可以引起剧烈的腹痛。#健康明星计划#
另外,癌细胞在不断生长的过程中可能会因为堵塞淋巴、空腔脏器而引起疼痛,也可以因为生长速度太快而造成组织张力增大而引起疼痛。
除此之外,癌症在治疗的过程中,也可能会产生剧烈的疼痛感。化疗的时候,可以引起神经炎;放疗的时候,也可能因为损伤神经而造成疼痛。
【4】可能会造成生活不能自理:

放任癌症发展,一旦它侵犯了脑组织,就有可能会带来和脑卒中一样的结局。
之前我接触过一个病人,他当时被确诊了肝癌晚期。由于他在早期的时候没有接受正规治疗,所以来医院诊治的时候已经发生了脑部转移。#健康科普大赛#
虽然说他意识是清楚的,但是已经失去了生活自理能力,吃喝拉撒都需要有人照料。一旦一个人丧失了生活自理能力,那一般来说ta也活不久了。与此同时,对于丧失了生活自理能力的人来说,他们并没有什么生活质量,活着对于他们来说或者是一种痛苦。
另外,如果癌细胞侵犯了脊髓,那也会引起偏瘫。 脊髓对于人体来说是比较重要的,它主要起传入和传出信息的功能。如果脊髓被破坏了,那人体的运动功能就会受到影响,从而引起运动障碍。#健康2022#