据报道,全球每年发生口腔癌症( 口腔癌或咽癌)的患者,绝大多数都有咀嚼槟榔的嗜好。医学研究发现咀嚼槟榔令口腔癌的风险上升8.4-9.9倍,槟榔果中的槟榔素和槟榔碱具有潜在的致癌性,美国和日本曾用槟榔提取物进行实验,发现会导致鼠类癌变。

在印度部分地区,嚼槟榔成为一种习惯,因此口腔癌已经成为当地最常见的癌症,口腔癌发病率居世界第一位。而在台湾,台湾学者调查发现,口腔癌已成为台湾男性第五大癌症,每10万男性居民中就有27.4例口腔癌患者。

世界卫生组织于2003年8月7日发表结论认定咀嚼槟榔可致癌,被列为一级致癌物。

嚼槟榔为什么会增加得口腔癌的风险?
主要有三方面原因。
第一,槟榔含有的化学物质经咀嚼后形成亚硝胺类物质,会致癌。
第二,槟榔比较硬,纤维粗糙,在咀嚼过程中,反复刺激口腔黏膜,造成口腔溃疡、白斑病等,增加癌变几率。
第三,*草烟**和槟榔共同促进口腔癌的形成。

但槟榔致癌并不是一天两天形成,有可能十几年甚至几十年之后才会有反应。
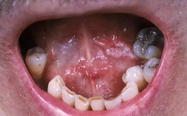
如果你长期吃槟榔,已经出现舌头不灵活,说话口齿不清或嘴张不开的情况,那你就要小心了。
口腔癌 前兆: 口腔溃疡是癌的“保护伞”
在临床上,很多癌患者是因为自觉“口腔溃疡”难愈,疼痛难忍,才决定去医院检查,最终被确诊为口腔癌。通常来讲,口腔溃疡就是口腔癌的前兆。

预防 口腔癌记住这句口诀:减少口腔受刺激
1、减少食用或者不食用槟榔;
避免口腔黏膜被受刺激而变得敏感,经常使用槟榔着注意经常过口腔检查。

2、减少口腔溃疡的发生,减少口腔黏膜的敏感;
口腔溃疡有很多原因导致,维生素缺乏、上火、口腔产品刺激、心理压力等都会导致溃疡。溃疡经常反复发生,会导致口腔黏膜的敏感,所以后续会不断恶性循环患溃疡。平时可以通过使用温和的碱性脱敏非离子牙膏,减少口腔的敏感。
但目前在超市里随手拿起一款牙膏,都可以在成分表上看见月桂酸硫酸类清洁表活(简称SLS),这是清洁泡沫剂,长期使用会造成口腔黏膜的敏感、口腔干燥,导致溃疡。而据一项研究显示,不使用含SLS成分的牙膏,口腔溃疡的发作率会降低80%,所以口腔敏感的人选择牙膏时,尽量选择非离子清洁成分的有机牙膏。

3、饮食不要过辣过烫,减少烧酒的饮用
相关研究发现,口腔接受的最适合温度是在50到60℃,如果超出这个温度就会给口腔造成损伤,长期且大量吃烫、辛辣的食物,口腔在刺激下,粘膜就会不断的增厚,进而导致我们对热、辛辣的刺激敏感度越来越小,最终导致口腔变得敏感。