今晚BTV科教频道 20:00 请您来听讲
谁是潜藏的致癌真凶

夫妻双双得肺癌 原来竟是“它”惹的祸
北京大学肿瘤医院胸部肿瘤中心杨跃主任讲了这样一个病例:夫妻俩都是大学教授,参加单位体检,同时被查出肺癌。

夫妻俩很纳闷,平时身体非常健康,生活有规律,饮食清淡,还经常锻炼身体,更没有吸烟酗酒这些不良生活习惯。

如此健康的两个人为何同时被肺癌击中?他们共同生活的居家环境,究竟哪里存在致癌风险?致癌真凶到底藏在哪儿?

肺癌晚期还有治愈的可能吗?国外的手术技术是否更好?

杨跃
“随着科技的发展,晚期肺癌中的腺癌患者 ,有一半人可以通过服用靶向药达到与癌细胞和平相处;晚期鳞癌肺癌患者,除了手术和放化疗外,最新的免疫治疗,也可以有效地延长他们的生存时间。”

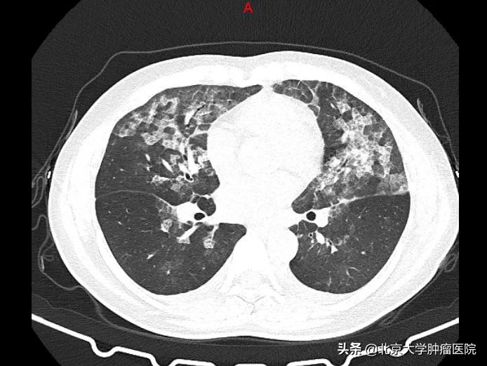
两女子肺部CT全是白色 不是新冠肺炎竟是消毒过度
近日,张女士和王女士患了同一种病,均因头晕、乏力到医院就诊,虽然没有出现发烧及咳嗽、呼吸困难等症状,但两人的肺部CT均呈毛玻璃影,难道是新冠肺炎?


原来,两位女士居家期间,因为害怕患上新冠肺炎,每天定时在家里喷洒高浓度的84消毒液。消毒液会对我们的肺造成怎样的伤害?