
全瓷牙的价格往往是烤瓷牙的几倍
这是到底是为什么呢?

开个玩笑 ~
什么是全瓷牙?
全瓷牙,又称全瓷冠,是覆盖全部牙冠表面,且不含金属内冠的瓷修复体。

什么是烤瓷牙?
烤瓷牙,即烤瓷熔附金属全冠,瓷粉经过高温烧结熔附于金属内冠表面而形成的全冠修复体。



01 外形透明更加像真牙



02 不会造成牙齿磨损
全瓷牙的硬度与牙釉质近似,不会造成对颌牙磨损;烤瓷牙的硬度大于牙釉质,可造成对颌牙的磨损。

03 没有牙龈“黑线”问题



04 维护牙龈健康


05 内冠结合好


通过对全瓷牙与烤瓷牙临床实践的比较之后
我们可以很明显地发现
全瓷牙大大克服了金属烤瓷牙的缺点
让牙齿修复更加趋向完美!

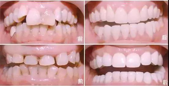
全瓷牙修复案例
本文来源于网络;版权归原作者所有,如有违规、侵权请联系我们,本平台会及时做出处理。