
1
脑室系统

2
大脑供血动脉3D扫描CT成像

3
形象记忆交感神经与副交感神经系统

4
12对颅神经各自对应的脑区

5
几种常见致死性脑病的CT表现


6
脑损伤

7
不同部位脑病的瞳孔变化

8
常见的作用于中枢神经系统的药品

9
传出或传入神经病变时的瞳孔对光反射

10
动眼神经滑车神经外展神经损伤的鉴别

11
感觉神经的节段性分布

12
各种颅内出血

13
急性颅内高压所致脑疝的分型


14
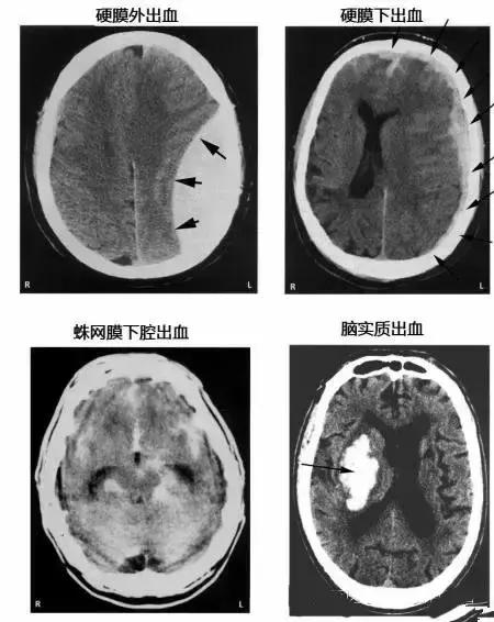
几种类型脑出血的CT表现

15
脊神经

16
腰穿的局部解剖

17
颅顶层次

18
面神经—— 一巴掌就能记住

19
脑脊液循环

20
三种手部神经损伤的特征性表现

21
手的神经支配

22
头痛困扰,你属于哪一种

23
腰椎神经对应的体表感觉区域

24
腕管综合征与肘管综合征麻木、疼痛区域

25
左右脑损伤特点比较

本文相关素材来源于网络,版权归原作者所有。好文章和大家分享,如有侵权,请联系删除.