
一口漂亮的牙齿
许多人认为他们的笑容是他们性格中最吸引人的部分,而让笑容变得美好的是一口很棒的珍珠白!我们花费大量时间和金钱来照顾这个面向公众的身体部位。我们每天刷两次牙,用牙线清洁它们(或者至少我们应该),然后漂白它们,所有这些都是为了让它们保持闪亮。
然而,你有没有想过这些骨质结构是如何从我们的牙龈中长出来的?

你赢得一些,也可能失去一些
那么,我们是如何长出牙齿以及它们来自哪里呢?
最初的牙齿发育
人类有两组牙齿: 乳牙组,也称为乳牙或乳牙,以及恒牙组,也称为次牙或成年牙。
乳牙裂的形成在出生前开始,并在出生后不久喷入口腔。最终,恒牙会取代这些乳牙。
牙本质是人类牙齿发育的过程。在子宫内,你身体的所有器官都是从上皮和间充质组织发育而来的。
牙齿的形成是从牙胚开始的,牙胚是由两个基本成分组成的细胞团:

牙胚包括上皮层和外间质层
>上皮组织,来源于 外胚层 (胚胎生殖细胞的最外层)
> 间充质组织, 来源于 外间充质。
在孕周大约 5 周时,上皮层增厚,沿上颌(上颌骨)和下颌骨(下颌骨)形成一条连续带。这些马蹄形带被称为初级上皮带。这些绘制出未来下颌牙弓的位置。不久之后,它长成下面的间充质,形成牙板。沿着牙板,形成一系列被称为 牙菌的上皮团块。
形成牙齿矿化部分的特化细胞在胎龄的第 6 周开始分化。
牙齿发育阶段
牙胚的发育分为三个阶段:
1. 萌芽期
2. 盖帽阶段
3. 钟声阶段
牙齿发育过程在牙齿萌出后结束。

牙齿发育的芽、帽和铃铛阶段
萌芽期
这是第一阶段,从胎龄的第 8 周开始。第一次上皮侵入下层外胚间充质代表芽期的开始。
随着上皮细胞增殖进入外间质,在上皮芽附近形成肿胀。这些肿胀被称为釉质器官。每个牙釉质器官后来都会长出一颗牙齿。
盖帽阶段
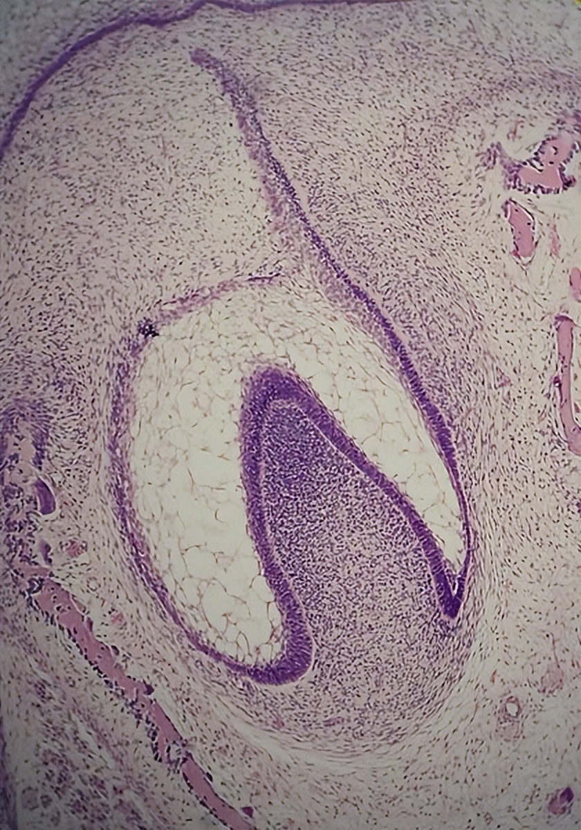
这个阶段的标志是釉质器官的生长。随着器官变大,它会拖曳部分牙板。扩大的身体就像一个帽子,坐在浓缩的外胚层上,称为牙乳头。因此,牙齿发育的这个阶段被称为盖帽阶段。

盖帽阶段
牙釉质器官被称为牙囊的纤维囊包围。然后它发展成牙周韧带,将牙根固定在骨头上。因此,牙釉质器官、牙乳头和牙囊共同充当牙胚。
釉质器官的中心形成一个星形层,因此被称为星状网。该层的功能是保持牙齿的形状并保护位于该层下方的牙组织。
铃铛阶段
随着珐琅质器官继续生长,它开始像一个铃铛,所以这个阶段被称为铃铛阶段。

铃铛阶段
在这个阶段,牙胚已经准备好形成坚硬的牙齿组织。釉质器官周围的立方细胞形成外釉质上皮,而富含糖原的柱状细胞与内釉质上皮相邻的牙乳头。
牙乳头周围的细胞启动了成牙本质细胞的形成,成牙本质细胞是分泌牙本质的细胞。牙本质是位于牙釉质下方的矿物质层。它是牙齿的支撑结构,比牙釉质软,但比骨头硬。
在第一层牙本质被放下后,牙釉质的形成立即开始。成釉细胞(釉质分泌细胞)来源于内釉质上皮。牙釉质是牙齿最坚硬的一层,也是保护它们免受损坏和腐烂的第一道防线。要了解搪瓷层的腐蚀如何导致蛀牙,请看下一篇文章。
牙釉质形成过程完成后,成釉细胞变成减少的牙釉质上皮,在喷发期间保护牙釉质。牙冠形成完成后,牙根形成开始。

牙齿结构
牙骨质形成过程,称为牙骨质形成,发生在牙根完成后。它由称为成牙骨质细胞的细胞产生。牙骨质保护牙根并充当牙周韧带固定在牙齿上的表面。
一旦牙根开始形成,牙齿就开始向牙龈表面长出。因此,在人类中,第一颗乳牙开始在 4 到 7 个月之间穿过婴儿的牙龈。
至此,牙齿形成的复杂过程告一段落!

其实口腔中也是有丰富的微生物的
结论
我们在胚胎生命的几周内就开始了牙齿形成的旅程。一簇未发育的细胞分化形成牙胚。这些细胞能够设计出坚固的矿物质结构,使我们能够执行最重要的维持生命的进食任务,从而启动为我们的身体提供必需营养的消化过程!
参考文献:
1 Book: Hillson, S. (2014). Tooth Development in Human Evolution and Bioarchaeology. United Kingdom: Cambridge University Press.
2 Book: Nanci, A. (2017). Ten Cate's Oral Histology - E-Book: Development, Structure, and Function. United States: Elsevier Health Sciences. Chapter 5
3 Website: National Library of Medicine