如果你对牙齿矫正有一些了解,那么牙齿矫正的很多“问题”你也一定了解:疼痛、影响吃饭、“牙套脸”,以及“黑三角”。
一说起黑三角,很多人都会为之色变。虽然“黑三角”这个词并不能在牙科相关的专业书籍中找到,但是也有一些接受矫正的人确实在矫正后出现了这种情况,并将之归咎于戴牙套带来的后遗症。这也成为了很多人不愿接受牙齿矫正的一块心病。
那么,黑三角究竟是怎么一回事?今天就让我们来说说关于黑三角的那些事。

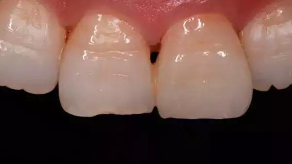
所谓的黑三角,是指牙龈不能完全覆盖两个牙齿的牙颈部与接触点之间的间隙时,那个呈三角形的空洞区域。其实,黑三角最让人恐惧的并非是它不好看甚至“说话漏风”,而在于黑三角无法自我修复,甚至可能越来越严重。由于有了这个额外的空洞,很容易造成食物嵌塞,更是给细菌营造了一个良好的储存环境,对口腔健康大大不利。

那么,是什么因素导致了黑三角的出现呢?
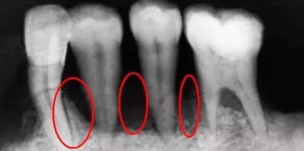
牙周炎
牙周炎是造成牙龈萎缩和牙槽骨吸收的“元凶”之一,而这两者都会导致牙根过多暴露在外。当这种情况发生时,黑三角也就出现了。

牙齿拥挤
牙齿拥挤的患者都需要进行牙齿矫正,但是牙齿拥挤本身就会造成牙龈萎缩。严重的牙齿拥挤会造成牙结石的堆积,从而造成长时间的牙龈炎症。牙齿排齐后,相邻间牙齿的间隙也就暴露出来,形成了黑三角。

年龄
根据有关的数据分析,随着年龄的增长,牙龈乳头高度会以0.012mm的速度逐年降低。因此,矫正的年龄也是影响黑三角出现几率的一个重要因素。因此,越早进行牙齿矫正,发生黑三角的几率也就越低。

力度过大
牙齿矫正的原理,就是通过施加一定的力使牙齿移动,从而达到矫正的目的。如果矫正时用力过大,那么也很容易导致牙龈萎缩。尤其是成年人进行矫正时,尤其需要注意力度,否则就很容易造成黑三角。

综上所述,让我们来总结一下黑三角都有哪些特点(敲黑板):
前牙区发生率高于后牙区;
成年人发生率高于未成年人;
成年女性发生率高于成年男性;
矫正力度大发生率高于矫正力度轻;
口腔卫生条件不良者发生率高于口腔卫生条件良好者。