老王最近有点烦,体检结果犯了难。不良嗜好都不沾,息肉为啥找上俺?!

相信不少患者都是在胃镜检查或体检时才偶然发现胃息肉的,随手上网搜索一下,不查则已,一查便慌了神,胃息肉竟是胃癌前疾病呢!?而在新冠病毒疫情蔓延后,大家都自觉远离医院,各医院门诊也都相继停诊,不少像老王一样的患者,手里拿着胃息肉的报告担惊受怕,又不能去医院看大夫,一时不知该怎么办了。
那么,你真的了解胃息肉吗?胃息肉是癌前疾病吗?得了胃息肉怎么治疗呢?
中国医大一院肿瘤研究所肿瘤病因与筛查研究室专家和您说说!
什么是胃息肉?
胃息肉是指起源于胃黏膜上皮细胞凸入胃腔内的隆起性病变,也就是在胃黏膜表面长出的突起,少数呈分叶状,有蒂或无蒂。
胃息肉是不是胃癌前疾病呢?
其实,胃癌病因和发病机制目前尚未有被阐明,根据研究资料我们可以知道胃癌的发生是一个多因素综合作用的结果,胃癌前期疾病是指与胃癌相关的胃良性疾病,有发生胃癌的危险性,包括慢性萎缩性胃炎伴或不伴肠化,胃息肉,手术后胃和巨大胃黏膜肥厚症。
对于老王担忧的胃息肉来说,就好比龙生九子,子子不同,同样都是胃息肉,有的可以做个安静的*男美**子,一副岁月静好的样子,有的却发生了癌变。这究竟是为何呢?让我们进一步揭开胃息肉的神秘面纱……

胃息肉
胃息肉家族谁最坏呢?
胃息肉的型需要通过病理活检,那么根据病理分型,胃息肉主要分为三大类:胃底腺息肉,增生性息肉和腺瘤性息肉。患胃息肉者约占人群的0.8%~2.4%,其中50%为胃底腺息肉,40%为增生性息肉,而腺瘤仅占约10%。
胃底腺息肉
胃底腺息肉是上消化道内镜检查中最常见的息肉,一般直径都小于0.5厘米,在长期服用质子泵*制剂抑**(如奥美拉唑,兰索拉唑等各种拉唑类药物)的患者中发病率较高,胃底腺息肉的癌变风险极低,大于1厘米的胃底腺息肉癌变率也小于1%,只有在非常少见的家族性息肉病患者中癌变率较高。
增生性息肉
增生性息肉也是胃常见息肉类型,主要是由于慢性炎症刺激引起的,幽门螺旋杆菌感染也是引起这类息肉的重要原因,这类息肉一般不会癌变,罕见癌变的增生性息肉多发生于肠上皮化生和异型增生区域(一般病理报告上会标注是否伴肠化生或异型增生),可以形成经典的高分化肠型胃癌。

增生性息肉病理染色
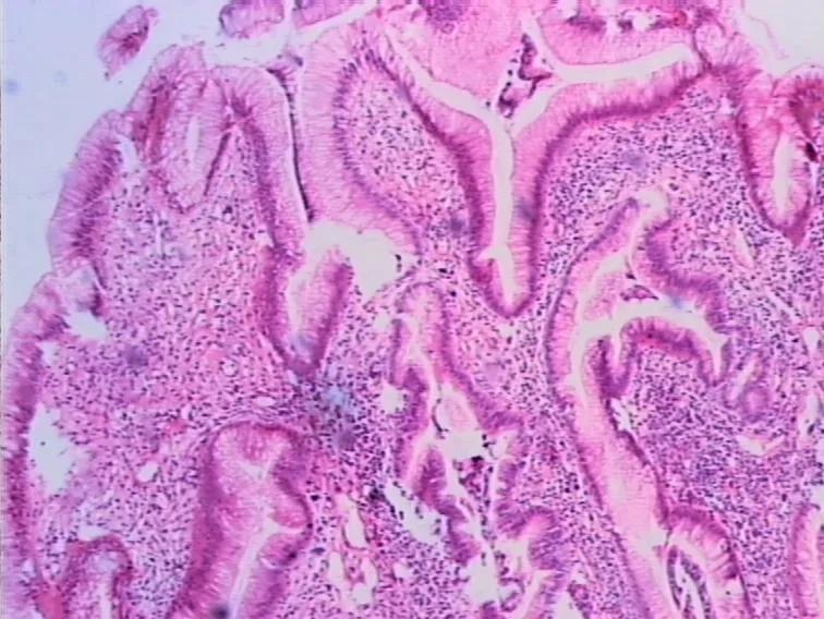
腺瘤性息肉
重点来喽,敲黑板!
这类息肉虽然少见,但是癌变率较高,约为15%~40%,4年中可有11%的病人发展成胃癌。此外,这种息肉的风险与息肉的大小有关,如果直径超过2厘米,癌变率会更高,恶变后多为肠型胃癌。这一类坏家伙可能在你不经意间就悄然恶化,所以对于它们是长一个杀一个,长一对杀一双,绝不姑息,并且务必定期复查,做到将恶变的小嫩芽儿坚决地扼杀在土壤里。

腺瘤性息肉病理染色
胃息肉未必是你感受得到的肉?
说到没感觉,老王第一个站出来,自己无不良嗜好(自认为),无任何症状,怎么就长了这块多余的肉,夺命的刀呢?
其实胃息肉的发病原因并不十分确切,但是一般可以认为与以下因素有关:遗传因素,消化液反流,幽门螺旋杆菌感染,药物(如质子泵*制剂抑**),饮食及吸烟饮酒等。
至于临床症状,大部分人是没有任何表现的,只是在胃镜检查时偶然发现。只有当息肉表面有糜烂或溃疡时,可能发生间歇性或持续性地出血甚至黑便;当位于幽门部位的带蒂息肉(就是带把儿),脱入幽门管或十二指肠时,可以出现幽门梗阻;当贲门附近生长息肉时可能有吞咽困难症状;有的患者还会有上腹胀、痛、恶心、呕吐等表现。大家可以结合以下胃结构示意图适当想象,但是以上症状并不是胃息肉的独特临床表现,请大家肯定以及一定不要随意想象,臆测疾病,如确实有不适症状请及时到医院就医哟!

胃息肉如何治疗?
根据前面的介绍我们知道了,大部分胃息肉还算是良民,只有少数残暴份子,所以即便是得了胃息肉也不必过度反应,要科学理性地看待它。
通过以上了解我们可以发现,腺瘤性息肉是所有类型息肉中癌变率最高的,所以胃息肉应当取病理活检以证实其类型,另外就是息肉越大癌变机会越大。此外,带蒂息肉较不带蒂息肉癌变率会更高,多发性息肉癌变率高于单发者。
那么,什么样的胃息肉应该治疗呢?
对于增生性息肉这样的非肿瘤性息肉,由于其恶变率低下,无症状者可不处理,有症状者内科对症处理效果较好。而对于腺瘤性息肉,病理活检一旦确诊即需要相应治疗。
胃息肉怎么切除呢?
答案就是内镜治疗。内镜治疗是胃息肉治疗的首选方案,方法简便,费用低,关键损伤小,基本上都是一次性治疗,一般就是“医生,开始了吗?”“已经结束了!(微笑脸)”。

内镜下夹除胃息肉
当然,对于内镜下无法保证斩草除根的,或者已经发生浸润性恶变的,我们只有手术治疗了。
听完介绍,老王算是松了口气,为什么呢?因为他发现:

胃息肉怎么预防呢?
我们前面反复提到了,胃息肉的病因目前并未阐明,但是由此我们可以发现,坚持每年做一次胃镜检查的重要性,加强自我保健,戒烟酒,少暴饮暴食,为胃减负,养成良好饮食习惯,保持健康体检,不讳疾忌医,与医生一起将胃息肉,将胃癌拒之千里之外!