
氟广泛存在于自然界,是人体必需的微量元素之一。上图是自然界中氟的存在形式,摄于芝加哥Field博物馆。博物馆的同志认为氟在人类社会中最具代表性的形象就是含氟牙膏。而发现氟化物能够预防龋齿是20世纪预防口腔医学对人类的最大贡献。
氟化物是如何起到防龋的作用的呢?

简单说来,氟既能防止牙齿表面溶解,还能促进已经发生了溶解的表面重新坚固起来。
而应用氟化物防虫牙的方式也就应运而生,含氟牙膏、含氟漱口水、氟化泡沫等等,后来索性来个彻底的,自来水厂在水里直接添上一点氟,整个社区的人就都受益了。

这不是挺好吗?为什么会有人像下图一样“反氟”呢?

“不许你用氟向我的水里投毒!!”
这个就要扯得远一点了,三国时期有个大才子,叫嵇康,写《广陵散》那位,留下了一句话:
“齿居晋而黄,谓枣故也。”
说山西人的牙黄,吃枣吃的。吃货们纷纷表示不服,后来也证实了,嵇康确实是冤枉枣了。罪魁祸首其实是氟。
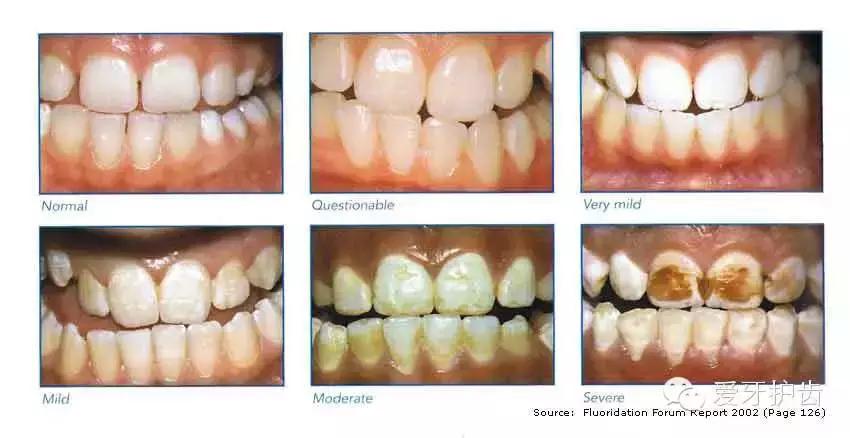
如果在牙齿发育阶段,身体摄入的氟过量,就会导致氟斑牙。如下图。

这种氟中毒,最主要的原因是饮水中含氟量过高。我国的很多区域都曾经或依旧是高氟区,在这些地区长大的孩子,如果没有对饮水做特殊的处理,往往会形成上图中那种黄黄的氟斑牙。其中山西、内蒙、河北都是北方知名的高氟地区。
所以群众恐慌了,“我们要洁白的牙齿!”“我们有权选择无氟饮水!”是不是看着有点眼熟呢?呵呵。
大家放心,中国目前还没有这么做,因为中国的问题不是缺氟,而是氟太高了,政府正在加大饮水去氟的投入。不过如果你生活在高氟地区,周围的不少人牙齿都黄的不太正常,家里还有个不到六岁的孩子,那么你可能需要自己对家里的饮水想点办法了。
这时有人会问了,含氟牙膏到底好不好啊?
给你们点干货!

这是医疗界级别最好的证据。结论如下:
“半个多世纪的无数研究都有力地证实了含氟牙膏对于预防龋齿是有效的。”
所以说不用怀疑,含氟牙膏一定是有好处的。
有人又要问了,用含氟牙膏到底会不会导致氟斑牙呢?
首先是氟斑牙主要是要在儿童生长发育期(6-8岁以内)摄入过量的氟才会影响到牙齿的发育。成年人是没问题的。
问题又来了,是不是儿童就不能用含氟牙膏了呢?
刚才的那篇文章中也说道关于副作用这个方面目前的证据不是很充分,但是文章中也提供了一些有意义的信息。
首先需要明确一点,仅仅用含氟的牙膏刷牙、漱口是不会造成氟的过量摄入的,必须要把氟吃到肚子里才会,就是说要把刷牙的泡沫咽了。大人往往是不存在这个问题的,小朋友一般一两岁会喝水漱口了,也就不存在了。
一般来说要想到达氟过量需要摄入0.05-0.07mgF/kg,即每公斤体重0.05-0.07毫克,比如孩子体重10公斤,那么摄入0.5-0.7毫克氟就有过量的危险。
那么牙膏中又都含有多少氟呢?一般的含氟牙膏的含氟量为1000ppm,即每克牙膏含1毫克氟。据测算,如果将儿童牙刷上挤满牙膏的话,那么将总共有0.75-1克牙膏,即约1毫克氟。
而且6岁以下的儿童在刷牙时有可能会吞咽掉0.3克左右的牙膏(0.3毫克的氟),所以6岁以下的儿童刷牙时应有大人在旁监护,督促其吐掉泡沫。而且刷牙时牙膏的用量不要超过一颗豌豆的大小,大约5毫米长度。
所以对于已经能够完成漱口动作的儿童来说,使用含氟牙膏也是安全且有益的。
看了这么多字很累吧?

看见图了吧?就用这些牙膏就行了!
左边是两岁以内,操作的关键点是挤一点牙膏,并且把牙膏压到牙刷毛里,这样避免孩子把牙膏当果冻直接吃了;
右边是2-6岁。图片摘自@叶子张野。
还有的市民朋友会问:“我们当地本身就是饮水高氟地区,是不是就不能用含氟牙膏了?”
文章中针对这一问题也给出了结论:无论饮水中是否含氟都不影响该研究的结论。也就是说牙膏还是含氟的好。