天气转凉,又到了感冒、肺炎高发的季节。
最近很多朋友出现了过敏性鼻炎、咳嗽、痰多等现象,有些性格谨慎的朋友留言咨询:痰液是什么鬼?是我们身体里的毒素往外排吗?痰多了是不是代表身体里的毒素多了?
恩,不是毒素多了,是想多了!

人类经过上万年的进化,养成了很多保护性反射,比如碰到热水会马上缩回手,避免烫伤。
咳嗽也一样,适当的咳嗽、咳痰对人体是有利的,这也是一种保护性反射。
咳嗽的两大作用
1.气道清洁工,痰液就像洒水车
大家知道空气里不是纯净的,有很多肉眼看不到的粉尘颗粒,比如大名鼎鼎的PM2.5,它们随着呼吸进出肺脏,有些颗粒会沉着在支气管黏膜表面,就像水管内的水垢一样,如果不及时清理,会越积越多。

左图是气道表面纤毛,右图是支气管截面示意图
而我们的气道表面有很多小纤毛,还有一些杯状细胞会分泌黏液,它们可以粘住空气中的粉尘颗粒,再通过纤毛同向摆动,逐渐移到喉咙处,形成痰液。
这时我们会感到喉咙发痒,想咳嗽、咳痰,把它们排出体外。
这种现象在矿井里、火场更明显,在我们去到一个粉尘特别重的地方也会格外明显,甚至痰液会发黑,少量的痰液不要怕,这是肺脏在排毒、清洁。
2.健康预警,向身体发出警报
当我们的身体受到细菌、病毒、真菌入侵时,气道分泌增加,会出现咳嗽、痰液增多,甚至发热症状,这是身体排毒和报警。

如果症状持续加重,口服药无效,就要及时就医,不要把小肺炎拖成重症肺炎,还有治疗延误造成肺内瘢痕。
还有很多肺癌早期也会出现咳嗽咳痰症状,如果短期不缓解,要及时挂呼吸科排查,这是身体受到癌细胞刺激发出的报警信号,不要置之不理,给癌细胞壮大的机会。
早期肺癌可以治愈!

像这位女士,左上肺混合磨玻璃结节,肿瘤组织牵拉支气管造成扩张扭曲,黏膜感受器受到刺激,产生经常性咳嗽,痰多,偶尔痰中带血丝,CT发现病灶。
这位病人很幸运,手术病理是低分化肺腺癌,有微乳头生长成分,比较凶险,但她手术清理很彻底,淋巴结做了清扫,配合术后化疗,好多年了没有复发!今年疫情之后还回来复查了一次,起色很好!
不得不说,有时候癌症病人除了积极规范治疗之外,运气成分也很重要,这里涉及了一些不可控因素。
痰液是什么?
看了上面的分析,相信很多读者朋友就能反应过来,痰液其实是一些混合物,是气道分泌的粘液混合了空气粉尘,也可能是一些炎性渗出物、坏死物(见于肺脓肿,肺结核等)。

像这种大叶性肺炎,冬春季青壮年多见,是由肺炎链球菌引起的急性肺部炎症,出现高热、寒战、胸痛症状。但是不怕,这种炎症有敏感的抗生素治疗,会完全吸收不留瘢痕,而在炎症期肺泡腔会充填大量铁锈色液体(红细胞被巨噬细胞破坏崩解,形成含铁血黄素随痰液排出),病人在这个时期咳嗽、咳痰会看到痰液呈铁锈色,别紧张,这是好转的标志之一,吐完了差不多肺炎也就好了。
还有一种粘液腺癌,癌细胞会分泌大量粘液,表现为白色泡沫状痰液,如果不伴有其它感染症状(比如发热、白细胞升高等),要重视,尽早挂呼吸科排查一下,早期可以治愈。

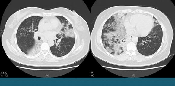
像这位女士,反复咳嗽、痰多半年多,一直忽视了痰液的报警信号,结果拖到晚期才到医院检查,癌细胞已经随着痰液发生了多发气道播散,双肺多发病灶,已经失去手术机会了。
中老年人要重视身体的每一种报警信号,短期不缓解时千万别硬抗,以免错过窗口期。
最后总结一下,痰液是气道的排菌、自洁方式,不是体内毒素。

秋季养肺,该怎么做?
了解了上面这些,很多人就能反应过来秋季养肺小技巧:
- 每天关注空气质量指数,雾霾天气减少外出,减少颗粒吸入;
- 秋高气爽的天气增加野外运动,尤其是绿植充足的森林公园、水源充足的自然景观等,给肺脏提供更多优质的氧气;
- 出门戴口罩!这个很重要,既能减少颗粒吸入,也能防范病毒、细菌。今年由于普及了全民戴口罩,小儿支原体肺炎发病率大大降低了。
我是影像科豪大夫,分享小病例,传递正能量,欢迎关注!
#湖南医聊超能团# #中秋话团圆#