
这些牙齿美白的坑,你一定踩过……


本文约5750字,阅读时间约11分钟
这篇稿子是在吕医生最爱的春天写完的,那时吕医生家小区的景色长这样。

杭州的春天。图源:吕医生拍摄
但一转眼万物迅速生长,生机勃勃的夏天来了。看着小区里枇杷黄满枝头,杭州正以她的速度从疫情中慢慢恢复元气。
这样活泼的夏天中,女孩们爱美的心也都跟着活蹦乱跳了,我朋友圈的朱朱小姐姐就是如此。
朱朱已经在我这儿做牙齿维护有三四年了,每年都定期洗牙,一直小心地保持着牙齿的健康和美观。
这次她微信又闪我了,发来了一条嗲嗲的杭州话语音信息:“吕医生,你知道的呀,我最喜欢喝茶了呀,我最近觉得我牙齿又黄了,你说那个xxx的美白牙膏有没有用的啦?”
吕医生知道,她应该又是对牙美白蠢蠢欲动了。
朱朱的牙齿素来清洁很好,表面偶有色素,只要一发现,她就会立刻想来我们诊所报到。但每次,她只要求我帮她清洁牙面的色素,对于牙美白,朱朱虽然很想做,却总是疑虑颇多。
我半开玩笑半认真地在微信上回复她:“美白牙膏的作用不明显啦,我决定为你写一篇关于牙美白的科普,让你看完就知道自己该怎么办!”
(贴心如吕医生的小可爱,就是这么自信~)

不过我说这话也确实是认真的,吕医生有个准则:答应了朋友的事情,只能晚到,不能缺席。所以今天大家就和朱朱小姐姐一起,好好看看这篇关于牙美白的科普吧。

朱朱的困扰其实很多漂亮女孩都有,特别是她们涂口红的时候,总觉得自己的一口黄牙影响了口红的效果。在她们眼中,口红广告上女模特那样的亮白牙齿,看起来才完美。
那么问题来了,完美的亮白牙齿是天生的么?
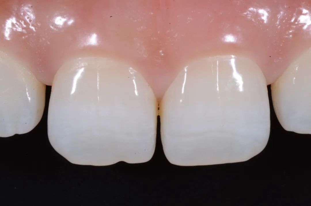
答案当然是:No。正常的牙齿颜色,请看下图。

正常牙齿的颜色
此处划重点:牙齿的本色是有自然光泽的黄白色,并不是很多人认为的纯白色哦。
这是为什么呢?了解了牙齿的构造,你就能明白了。下面请看吕医生亲手磨的牙,它是一片被磨成很薄很薄的牙齿片,有点像贝壳的质感,看上去是不是类似艺术品?

牙齿磨片
从以上的牙齿薄片中,我们可以清楚地看到牙齿的结构,最外面那层叫牙釉质,正常情况下呈半透明状态,但牙釉质的半透明度会随着自身的矿化程度不同而改变,在牙齿的不同位置上,牙釉质的厚度也是不一样的。牙釉质里面的那层叫牙本质,呈淡黄色。牙釉质和牙本质结合在一起后,产生了不同的牙齿颜色。

8岁男孩子的牙齿颜色

26成年女性的牙齿颜色

60岁中老年女性的牙齿颜色
但牙齿的颜色主要是由内侧的牙本质决定的。
大家可以看一下牙医常用的牙齿比色板,其中正常的牙齿颜色一般在色板上10-15的范围内。

美白专用比色板,常用来记录美白前后的牙齿颜色
被大部分人认可的亮白牙齿会是在色板上5(-3至5)以内,甚至是3(-3至3)以内的区间,这样天生丽质的牙齿还是少数,大部分人很难自然拥有亮白的牙齿。
吕医生在行医过程中,接触到的大部分人都会觉得自己的牙齿不够白,其实就是因为对牙本色了解程度不够。
而牙齿是否显白,也得综合考虑肤色,黑人的牙齿看上去都挺白,这是因为肤色对牙白的反衬作用。
健康状态下,如果你的牙白程度处在吕医生刚刚说过的色板区间内,就大可不必过度担心自己的牙色啦。但多数人的牙白程度并不是太理想的。这又是为什么呢?

导致牙齿变色的罪魁祸首当然还是色素沉积。而根据色素位于牙齿的位置不同,可以将导致牙齿变色的色素,按来源大致分为内源性色素和外源性色素。
外源性色素比较好理解,就是进入口腔的外来色素,比如长期喝中药的、特别爱抽烟喝茶的、咖啡不离手的、吃饭浓油赤酱的,有以上习惯的人群,牙面上相对较容易沾染色素,这些色素都属于外源性色素。有些药物,如铁补充剂也会导致牙齿的外源性染色。
此外口腔内细菌也会产生色素,造成外源性色素沉积,常见的可产生色素的细菌是嗜铬菌。
一些小朋友的家长,对它就并不陌生。他们会发现孩子的牙齿上莫名其妙多了黑斑,担心孩子蛀牙找牙医检查后,发现只是色素,因为孩子口腔内中嗜铬菌超标了。
这种情况下,家长需要定期带孩子去专业的医院或诊所进行处理。
另外,还有些漱口水因含有复方氯己定成分,比如口泰,也叫洗必泰,也会使牙齿变成黄棕色,因此这类漱口水在使用时大家一定按照医嘱,不能随意延长使用时间。
说完外源性色素,再来看内源性色素。
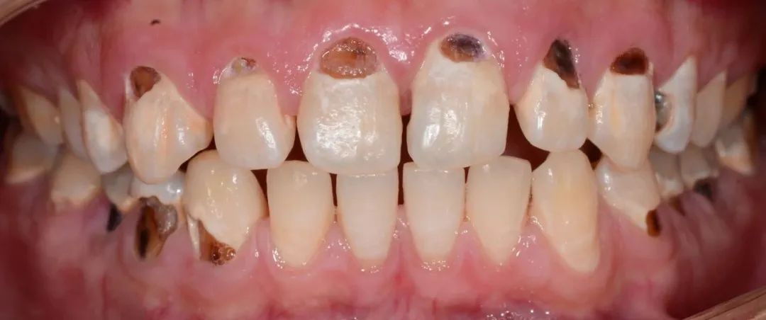
口腔科医生比较常见的内源性色素有龋齿、牙髓坏死、增龄性变色、四环素牙和氟斑牙这五种情况;也有部分外源性色素可能转变为内源性色素的情况,比如长期的烟渍沉着。
(1)龋齿:
就是我们常规所说的蛀牙,是口腔科里最常见的疾病,它会导致牙齿变黑。

因蛀牙导致的牙齿变色
(2)牙髓坏死:
可能发生在牙齿受到外伤后,也可能因长期龋齿被诱发,它就是我们常说的牙神经坏死。组织坏死后牙髓里的红细胞分解形成的有色物质,会进入牙本质,导致这一颗牙齿的颜色比相邻的牙齿暗或偏黑。

因牙髓坏死导致的变色
(3)增龄性变色:
随着人的年龄增加,由于牙齿磨耗等因素的影响,牙齿会逐渐变黄变暗。
(4)四环素牙:
常见于70后人群,因上世纪七八十年代四环素的广泛使用(金霉素和土霉素都是属于四环素族抗生素)而产生。四环素是一种用于治疗各类感染的广谱抗生素,它不仅影响牙齿的颜色,还会引起牙齿发育不全,现在已很少使用。
刚萌出的四环素牙是亮黄色,暴露于阳光下时,里面的色素会氧化,颜色变深,时间越久,颜色越深。且由于接受的光照程度不同,前牙会比后牙严重,而这种变色是永久性的。

因四环素导致的牙齿变色
(5)氟斑牙:
也称为氟牙症,主要表现是牙齿上出现白垩色、棕黄色色素沉着的斑块或者牙齿组织有缺损。其形成原因是牙齿在发育矿化时,患者可能通过饮水或者其他途径,摄入了过量的氟,影响了釉质的矿化过程并出现症状。

轻度氟斑牙
另外,临床还发现长期的外源性色素沉着会逐渐向内渗透,转变为内源性的色素沉着,尤其是抽烟导致的牙齿变色。

看完以上的解释,是不是觉得影响牙齿颜色的色素似乎好复杂啊……
总结一下就是:外源性色素沉积是由我们摄入口中的多种物质造成的;内源性色素沉积往往和牙齿以及口腔的病变有关。
面对不同的色素沉积情况,牙医的处理目标非常一致:扫除色素,对因治疗。
针对外源性色素,我们一般会采用超声波龈上洁治,也就是常说的洗牙来实现清洁效果。
此外牙医还有一种手段叫“喷砂”,它可能没有洗牙那么广为人知,但在色素清理上特别重要。
喷砂的原理不复杂,就是利用压缩空气驱动摩擦细颗粒(一般成分是氧化铝颗粒,或二氧化硅颗粒,或者碳酸氢钠颗粒,现在也有甘氨酸为基质的颗粒)形成高速的粒子流,对外源性色素和菌斑进行清理,效果非常好。有图有真相,看完对比你就能知道喷砂的效果怎么样啦~

喷砂前

喷砂后的对比
但也有些同学对喷砂表示怀疑,他们认为摩擦细颗粒会对牙齿造成磨损。
其实这种担心是多余的,喷砂是安全的,它所选用细颗粒的成分和大小,都是经过严格选拔的,不会对牙齿造成损害,而每年都有大量的人在接受这项操作。
这里吕医生插嘴提一下市面上的一些美白牙膏,它们宣称牙膏的膏体中添加了颗粒成分,可以增加摩擦从而达到美白效果,其实这种说法本身就是不准确的,这种颗粒只能帮助牙齿清洁,它不是牙美白。此外吕医生认为这种成分的效果蛮鸡肋的,因为普通牙膏中就有添加类似成分,足够很好地辅助牙面清洁。
且这种牙膏中所添加的摩擦颗粒如果过大,过度使用后还有可能损伤牙面,因此如果你想要通过清洁牙面增加牙白程度,不如直接做喷砂比较稳妥。
针对内源性色素,牙医的解决办法是就是牙美白啦。
牙美白其实包含了蛮多不同方式,但大致可以分为家庭美白和诊室美白(注:对于因牙髓坏死而变色的,暂时不在这里讨论哈,这类情况比较复杂,如果屏幕前的你正受此类问题的困扰,建议直接咨询牙医)。
其中诊室美白,是牙医选用最多的美白方式,通常采用高浓度的美白凝胶给患者进行牙美白,其优势和不足都很明显。
优势是效果立竿见影。有研究显示,家庭美白一周的效果与诊室美白1小时的效果相当。
正因为其效果显著用时短,很多明星都有在定期做诊室美白。这里实名表扬山楂树之恋的cp 周冬雨和窦骁,都拥有一口洁白而整齐的牙齿,偷偷透露一下,周冬雨是就是在定期做诊室美白。

诊室美白前

诊室美白后
但诊室美白的不足之处也很明显,其治疗费用相对较高,且术后敏感的可能性更大。
相比之下家庭美白就要温和得多。家庭美白多用的是低浓度的美白凝胶,对牙龈比较友好,只需由牙医制作好个性化美白托盘后,就可以在家里反复使用。

家庭美白牙托
家庭美白的历史已有三十余年,其安全性高,可执行性也强,且比诊室美白要便宜得多。但执行过程需要患者保持自律,很多人下了牙美白的决心,但东西买回去后就烂在家里了。
一般而言,家庭美白的作用更多的,是作为诊室美白的一个补充和延伸。多适用于对于浓度较高的诊室美白不能耐受,可能会出现美白过程的敏感,感到牙齿酸痛的人;或者是一些特殊病例,比如四环素牙患者,他们做诊室美白后需要进行治疗后的日常维护。
以上两种方式都是需要人们去牙医诊所就诊后进行的美白治疗。
但如果你不想出门看牙医,市场上的确也有一些自助的美白产品,常见的就是美白牙膏、美白牙贴等。
美白牙膏最常见,但效果也是最为鸡肋的。市面上牙膏内的美白成分主要分两种,一种是摩擦剂,可以通过摩擦清除外源性的色素,但我在前面也说过,它不是真的牙美白,实际增白效果非常有限。而另一种就是“美白因子”,它的作用时间很短,本身的浓度又低,所以效果也是不尽人意的(偷偷吐槽一句,广告里的都是骗人的)。
而美白牙贴是采用聚乙烯条带内衬低浓度的美白凝胶制成,分上下牙佩戴,其安全性和效果得到了大家普遍认可。它适用于牙齿颜色均匀且变色较轻的患者,且牙齿表面最好不能有明显的不整齐,不然就无法贴合,达不到美白效果。
不过美白牙贴的风险相对也高些,因为其使用过程没有牙医的监督和指导,如果过度使用反而会危害牙齿的健康。
此外,还有一类能使牙白度大幅度提升的美白手段,也就是我们经常能看到的超白牙齿,它是依靠牙齿美学修复来实现的。如赵薇、刘涛,都是靠做牙套获得整齐而白的牙齿。使用这种方式,可以彻底改变牙齿的外形和颜色。美学修复,其实就是用瓷或者烤瓷做的仿真牙,好的仿真牙完全可以以假乱真,而和自己的牙齿浑然一体的才是优秀的仿真牙。仿真牙的制作必须是由专业的牙医来完成 ,需要对牙齿进行一定的处理,提供仿真牙粘结的空间。

国外牙医作品。图源:吕医生学习时拍摄
很多人会将这种修复和牙美白混淆,实际上,它们并不是一回事。吕医生平时也给患者做过很多次这类修复,它和牙美白最大的区别在于牙美白不会对牙齿本身造成明显的影响,牙齿的美学修复,一般是需要对牙齿做一些操作的,比如拔牙、整形等,而针对不同的患者,牙医会设计不同的修复方案,并最终实现操作。这一系列过程都需要专业的牙科医师的参与,有些复杂病例甚至需要美学修复的专科牙医才能给出足够理想的方案。

病例治疗前

病例治疗后

那么,屏幕前希望牙齿更白的你,日常可以注意些什么呢?
首先,我们应当对自己的牙色有一个合理的预期。不要因为相信广告宣传,产生不切实际的期望,舞台上明星的洁白牙齿,你是不可能轻易拥有同款的……
而如果你想要认真开始牙美白,下次见到你的牙医时,请接受她/他的检查,认真聆听牙医给出的建议,并选择适合自己的牙美白方式,而这个方式决定了你牙齿美白程度的上限。
在日常维护中,好好刷牙是你能做的对牙齿最好的事情,有效刷牙就能帮助美白、洁牙、控制菌斑……而正确的刷牙方法绝对比牙膏要重要的多得多。
戳这里复习吕医生教过的科学刷牙方法。
最后吕医生还要提醒下,大家千万不要轻易尝试一些奇奇怪怪的方式去美白,如醋/柠檬汁,牙齿一旦长期接触这类酸性的物质,会出现严重的后果。

因为大量喝酸性饮料,比如可乐雪碧,最终导致蛀牙
今天文章最后,吕医生必须给自己再找找存在感。
关于牙美白,很多人会质疑牙医的作用,他们觉得自己就可以买美白牙膏、美白牙贴,效果也都不错,那么还需要去诊所里做美白吗?
吕医生认为,其实在牙美白方面,最专业的还是牙医。虽然大众对这一方面的知识也许并不陌生了,但一个成熟的牙美白方案,其实更类似于综合的治疗方案,其中可以包括美白牙膏、美白牙贴这一类自助的美白产品,也可以包括牙医参与的部分,比如为患者定制托盘的家庭美白,进行诊室强效美白等。
具体采用什么样的组合对患者最适合,这需要牙医来拿主意,也就是制定美白方案。
其次在美白的过程中,需要牙医定期评估美白效果,这样可以及时发现患者任何可能性的不良反应,从而降低错误使用美白剂的不良风险,以及过度使用或者滥用美白剂的风险。
而在一些难度比较大的案例中,牙医需要综合考虑美白和美学修复搭配使用的方案,甚至需要多个学科的牙医(没错,我们牙医也分很多专业,大致就是你们知道的拔牙、镶牙、补牙、洗牙、矫牙、种牙等)一同参与,才能达到好的效果。
所以牙美白其实远远并不像市场宣传的那样简单,有些牙齿的颜色改变是病理性的,这样的牙齿需要的是治病,而不是美白。
举个简单的例子,比如龋病和牙髓坏死导致的牙齿变色,我们看到的也是牙齿发黑,这时我们首先要做的是处理龋齿和牙髓坏死,诊治成功后,才能进一步考虑牙齿颜色怎么改善。
再比如牙釉质矿化不全,成釉细胞未能使形成的基质完全钙化。这种釉质在临床上表现为白色不透光,牙萌出后由于色素沉着变为浅黄色、橘黄色、棕色,这种牙齿需要美白结合其他治疗才能解决问题。
所以,如果没有对牙齿变色的原因进行充分分析,牙医很难做出正确的决定。
而在牙美白过程中,你还会可能遭遇牙敏感等其他问题,这些问题一旦出现,只有牙医能够帮你找到最适合的解决方案。
那么,你做过哪些美白牙齿的尝试呢?最终的效果如何?你知道美白显效最快的牙齿是哪颗吗?欢迎在留言区分享你的经历。
主稿:吕佩红;编辑:鲁鲁修/包包;排版:CC:质检:笑言;题图:鲁鲁修
配图来源:吕医生拍摄
题图来源:《功夫》.豆瓣电影
参考资料:
1.《牙齿美白》 琳达 格林沃尔主编 刘擎 周锐译
2.《牙齿美学漂白》原著 So-Ran Kwon ,Seok-Hoon Ko ,主译 樊聪
本文系【法医秦明】头条号原创文章,未经授权谢绝任何形式的转载