本期专家

李春义
博导 研究员
中国农业科学院特种动物干细胞创新团队首席科学家、特种动物分子生物学省部共建国家重点实验室常务副主任、吉林省鹿茸工程研究中心主任。
我国具有悠久的利用鹿角盘治病的历史。早在2000多年以前的《神农本草经》就记载了鹿角盘可用于活血消肿,治乳痈初起,淤血肿痛等问题。2015年的《中国药典》中描述了鹿角盘具有行血消肿,乳痈初起,淤血肿痛的功效。在民间,鹿角盘被广泛应用于治疗乳腺炎、乳腺增生、儿童腮腺炎和疮疖等疾病。

骨化的鹿茸 悄然躲避免疫系统的排斥
鹿的茸角是一种神奇的哺乳动物器官,能够每年周期性的从角柄上脱落与完全再生。每年春天到来之际,鹿茸开始再生;夏季进入快速生长期;秋季配种季节到来之前,鹿茸完全骨化、脱掉茸皮;完全骨化、死亡的鹿茸,即鹿角,一直牢牢地附着在活组织的角柄上,直到第二年春天才从角柄上自然脱落,期间与之连接的活组织从不出现感染和发炎的迹象。
这就意味着一个死组织能够有效躲避机体免疫系统的排斥,在活组织上完好的附着长达半年之久,这种现象发生在哺乳动物身上,如果不是独有也应该是十分罕见的。
锯茸留下的鹿角盘 春天自然脱落
在我国,养鹿的目的在于获取珍贵的鹿茸。为了保存最大的药效,一般在鹿茸生长到60天左右时(图1A:生产上称三杈茸)就要被锯下来、加工干燥,作为中药的原料。在锯茸时,为了不破坏来年鹿茸的生长点,锯口都选在鹿茸和角柄连接处以上的2-3cm的地方(图1B),因此留在角柄上2-3cm高的茸根。茸根到了秋天和鹿茸一样也出现完全骨化、脱皮,这时人们称它们为鹿角盘(图1C),到了第二年春天,像鹿角一样,鹿角盘也从角柄上自然脱落(图1D)。

图1.鹿角盘生产周期。A.梅花鹿三岔茸;B. 锯茸(注意:锯口位于角柄以上2-3 cm处);C.秋天完全骨化和脱皮的2-3cm高的茸根,即鹿角盘;D.第二年春天即将脱落和已经脱落的角盘。
抗炎因子斡旋 死组织与活组织和平相处连接处不发炎
为了揭示死亡角盘在活组织角柄上完好附着不被机体免疫排斥的机制,我们进行了一系列的研究:包括角盘与角柄连接处的形态学(图2A)、组织学(图2B)和免疫组织化学等,这些研究都证明鹿角盘确实是已经死亡的组织,但在死组织和活组织的连接处没有检测到明显的炎症细胞和炎性因子的存在。
其后我们将脱落的鹿角盘(图2C)粉碎成了粉(图2D),利用现代仪器对鹿角盘粉的成分进行了详细分析。结果表明,角盘中其含有多种抗炎因子,包括白细胞介素、干扰素、肿瘤坏死因子等。由此说明角盘不被机体免疫系统排斥的原因可能与其富含抗炎因子有关。如果是这样,那么鹿角盘有可能被研制成可应用于临床的抗炎药品。

图2. 鹿角盘的组织、形态及粉末。A.角盘与角柄的纵切面(注意:死组织角盘为白色,活组织角柄为浅粉红色);B.角盘与角柄连接处组织学(注意:角盘血管中有黑色填充物,角柄血管为无填充物的白色);C.脱落的角盘;D.粉碎的角盘粉。
有图有真相 鹿角盘抗炎效果显著
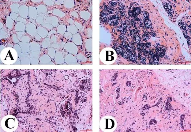
为了科学验证鹿角盘在临床上的抗炎疗效,近年来我们建立了一些相关的动物模型。其中一个是小鼠乳腺增生模型。首先给小鼠注射性激素刺激其乳腺增生。制模后,将小鼠分成三个组:第一组为无处理对照组;第二组注射经典治疗药物三苯氧胺;第三组施以鹿角盘粉提取液。
结果表明鹿角盘提取液组的效果显著高于传统西药的三苯氧胺治疗组、非常显著地减少了腺泡的生成数量和大小。因此,从科学上令人信服地证明了鹿角盘粉治疗乳腺炎症疾病的有效性。

图3:小鼠乳腺组织切片。A 正常非怀孕期;B 性激素诱导后增生的,可以看到腺泡的极度发育;C 使用传统药物三苯氧胺治疗后的效果;D 使用鹿角盘粉提取液治疗后的效果。
此外,我们还给患有前列腺炎的患者定期服用了鹿角盘的提取液,两到三个月时间,他们的症状都得到了明显的改善。前列腺炎十分顽固,如果在有严格的对照条件下证明鹿角盘提取液确实对前列腺炎有疗效,鹿角盘的开发前景将十分诱人。
总之,对鹿角盘粉提取方法的进一步改进、施给模型动物剂量、途径和疗程的进一步优化,我们认为治疗炎症疾病的效果还会进一步改善,最终能够研制出具有高于常用西药疗效的、无副作用的临床药品,为人类健康服务。
中国农业科学院传媒与传播研究中心
采写|李海燕 侯丹丹
团队介绍
团队名称:中国农科院特种动物干细胞创新团队
所属单位:中国农业科学院特产研究所
中国农科院特种动物干细胞团队旨在挖掘干细胞依赖性的独特生物学现象,特别是鹿茸的发生与再生,麝香腺体的发育与泌香等。在对相关干细胞进行全面定性基础上,对这些现象形成的机制进行深入、系统的研究,以期在重大基础医学领域实现突破(顶天),如实现哺乳动物器官(断肢等)的完全再生;在医疗保健领域做出实实在在的贡献(立地),如提供疗效确切的干细胞源性终端产物(鹿茸、麝香等)的产品。
发表SCI文章80余篇;完成省、部和国家课题10余项、发明专利2项、获奖省部和国家级奖7项。

团队主要业绩:围绕鹿茸这一独特的生物学模型开展深入的研究,以揭示其完全再生、巧妙调节快速组织生长不发生癌变、和干细胞自主分化的机制,软骨、骨、皮肤、血管和神经再生机制等,以期为人类的健康做出贡献。
奖项:90年中国科协“中国青年科技奖”;02年吉林省和中国农科院“科技进步二等奖”(均第一名);2004年“国家科技进步二等奖”(第三名);2003 年国际研究促进会“杰出科学家奖”;2014年吉林省科技进步二等奖”(第一名);2017年李春义带领其团队凭借《鹿茸再生干细胞的发现与哺乳动物断肢再生模型的建立》项目获得吉林省自然科学类一等奖!