医学影像征象解析汇集
呼吸系统部分(下)
16
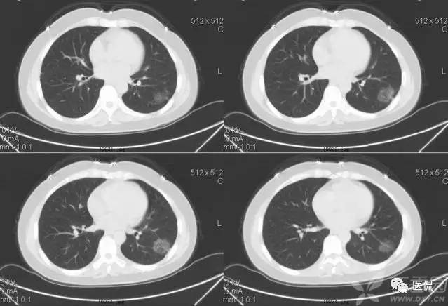
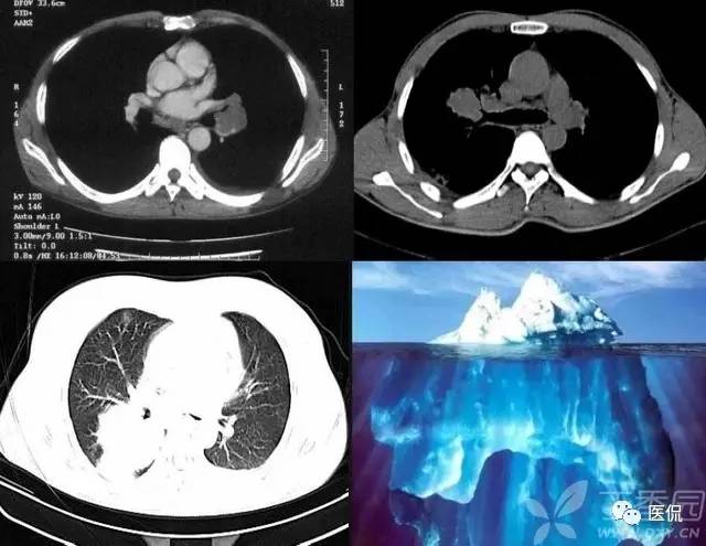
磨玻璃密度(GGO)
胸部影像上表现为肺密度的轻度增加,透过这种磨玻璃影像可以看到肺纹理的影像。该征象包括下属几种情形:1)弥漫型 如严重的急性肺移植排斥反应、早期成人呼吸窘迫综合症、肺水肿、过敏性肺炎、肺出血、各种原因的感染如非典型性肺炎等;2)斑片型 如各种类型的肺炎、肺泡蛋白沉积征、类脂质肺炎、卡氏肺囊虫病以及成人呼吸窘迫综合症等;3)局灶型 肿瘤如肺炎型肺泡癌、肺外伤、肺梗死等,这种类型常常和上述两种的病因相重叠;4)晕型 常见于早期浸袭性肺曲霉菌病,也可见于肺穿刺之后;5)支气管血管型和小叶中心型 如嗜酸性肺炎、结节病、外源性过敏性肺炎、呼吸系支气管炎等,其间前二者多见于支气管血管型,后二者多见于小叶中心型。
磨玻璃征要根据病史探求病因,如患者有出血倾向而查不出其他原因时要考虑肺出血;患者有过敏体质,又有花粉吸入或有其他过敏原接触史要考虑外源性过敏性肺炎;有多系统病变的患者要考虑结缔组织性肺炎等等。
磨玻璃影的分布对于鉴别诊断也有帮助:1)呈小叶中心分布时,一般多是早期病变,常为支气管播散,可能是过敏性肺炎或脱屑性间质性肺炎所致;2)呈全小叶分布时,病变边缘清楚;呈部分小叶受累时,病变边缘模糊。前者可见于肺泡蛋白沉积征、药物中毒性肺炎、类脂质肺炎、肺结节病、卡氏肺囊虫病、肺炎吸收期间以及肺出血等;3)呈小叶周围性分布时,多为早期特发性肺纤维化的表现。
1)肺腺癌:

2)含铁血黄素沉着症:

3)特发性肺间质纤维化:

17
粘液支气管征
粘液支气管征又称为支气管液像,支气管粘液栓塞造成的CT征象。其病理基础是肺不张内有支气管粘液栓塞。由支气管狭窄梗阻、粘液分泌异常和纤毛活动障碍所致。对于中央型肺癌、狭窄或梗阻支气管的远端形成粘液铸型。支气管内膜结核有较长范围的支气管狭窄及支气管纤毛破坏使粘液不易排出。支气管分泌物增多也对粘液潴留起重要作用。慢性肺炎的支气管分泌物增多、粘稠及纤毛破坏是支气管粘液潴留的原因。CT增强扫描0表现为肺不张内未强化的管状或结节状低密度影,与支气管走行方向一致。

图1 变态反应性支气管肺曲霉菌病患者经治疗后右上肺浸润性病变大部分吸收。CT片上可见到树枝状粘液栓,其主轴指向肺门并与支气管的走向分布一致。支气管可见明显扩张 图2 左上肺肺癌患者,经细胞学检查证实。CT示肿瘤突入左主支气管,可见杯口状表现。其远端分支状支气管粘液栓清晰可见,轴向指向肺门。图3,4 支气管扩张患者反复多次咯出棒状和粉皮状粘液栓。CT示左下叶背段粘液栓,支气管也明显扩张(图3)。同一患者当粘液栓咯出后CT片可见扩张的支气管中间呈透亮带,横径比原粘液栓稍小,酷似鱼嘴状(图4)。

左图:治疗前的支气管粘液栓; 右图:治疗后粘液栓吸收,支气管通畅
18
树芽征
是指病变累及细支气管时,由于炎性渗出物或分泌物堵塞细支气管,CT表现为小叶中心分枝状线影和与其相连的细支气管横断面结节影,状如春天里挂满枝芽的“树”,即“树芽征”。是细支气管扩张、阻塞的特征影像之一。肺小叶是构成肺的最小结构单位,直径约10 25mm,小叶之间为结缔组织间隔,每个肺小叶都有一支小叶支气管(直径≤lmm)和小叶肺动脉进入,二者皆位于小叶的中心。CT不能显示直径小于2mm支气管,故正常小叶支气管CI’扫描时不显示,但当小叶支气管发生病变时,CT就可以显示出来。
树芽征的小叶中心结节影和分枝状线影是同一病理结果的不同影像表现,二者的病理基础都是细支气管的扩张与阻塞,CT横断面像呈平行走向的细支气管表现为分枝状线影,呈垂直或斜向走行者表现为结节影。原发或继发于细支气管的病变(如炎症)可导致细支气管壁增厚、细支气管扩张,当同时伴有分泌物潴留时,支气管“树”状如春天里一棵挂满枝芽的“树”。随着气道的继续扩张和肺实质病变的出现,支气管“树”会进一步扩展。当大气道扩张伴有周围小气道气体潴留时,就类似于支气管疾病时大气道堵塞所形成的“指套征”。
树芽征的相关疾病有:肺支气管的感染性病变,免疫性疾病如变应性支气管肺型曲霉菌病,先天性疾病如囊性肺纤维化及纤毛运动异常综合征(Dyskinetic’s综合征),肿瘤性疾病如少年型喉气管支气管乳头状瘤病,吸人刺激性物质,弥漫性全支气管炎及阻塞性细支气管炎,血管性疾病等等。

19
水上百合征
是包虫内囊破裂塌陷漂浮于液面上,有气体进入形成的不规则凸起影。肺包虫囊肿是细粒棘球坳虫通过血行到达肺的末梢血管寄生引起的病变。病灶多分布于肺的边缘区,以两下肺多见。肺包虫囊肿在肺内呈囊性膨胀性生长,囊壁为双层壁,内囊为包虫虫体,壁由角质层和生发层构成,内囊生发层可分泌清亮囊液,产生头节,形成子囊,子囊可为单个或多个聚集于囊内。外囊壁是由压缩的肺组织反应形成纤维包膜。所以在CT以上单囊形式生长的表现为园形或卵园形均匀的水样密度的囊性病灶。以多子囊形式生长的表现为囊内花瓣状或蜂窝状的分隔,分隔处为母囊,密度总是高于子囊的密度。一般认为子囊的密度总是低于母囊的密度是多子囊包虫囊肿的特征性表现。外囊壁可因压缩的肺组织反应而有一定的强化。随着内囊的增长,肺组织压缩多,囊壁可均匀的增厚。增大的包虫囊肿可受到叶间胸膜、大支气管、血管分支的限制,边缘形成大分叶状。包虫头节或外囊壁可因营养不良,变性而钙化时,CT上表现为囊壁上点状或细弧线形钙化影。
包虫囊肿破裂并通过支气管与外界沟通,可出现各种特殊的表现:1)外囊破裂气体进入内外囊之间,内外囊分离在囊顶形成一个新月形气腔。CT表现为新月征。2)内、外囊均破裂,少量气体进入内囊,CT表现为囊内散在小气泡影。3)双层壁破裂,部分囊液排出,内、外囊剥离,内囊漂浮于液面,CT表现为水上浮莲征。4)双层壁破裂,囊液完全排出,内囊皮皱缩,部分附着子外囊壁上,CT表现为腔内蛇影征。
包虫囊肿继发感染时,外囊壁肺组织发生炎症反应,囊壁不均匀的增厚。囊液外渗造成囊周局部肺组织炎性实变。CT表现为囊壁不均匀增厚并强化,边缘毛糙,可有长毛刺。破裂和感染互为因果。
临床诊断包虫囊肿主要依据三方面的资料,病史(主要是接触史),包虫试验和影像学征象,其中后二项是确诊的依据。对于单纯的肺包虫囊肿病例,包虫试验的阳性率普遍较低约。因此应用影像学手段检查发现特征性征象是甚为重要的。为了诊断和鉴别诊断的便利,我们将肺包虫囊肿分为单纯单囊型、多子囊型、破裂型、感染型、破裂-感染型五型。其中多子囊型和破裂型的CT上具有特征性的征象诊断明确。单纯单囊型应与肺内囊性病变鉴别,如肺囊肿CT表现边缘光滑的囊性病灶,壁菲薄,无强化,不具包虫囊壁的征象。感染型、破裂一感染型应与肺内球形病灶鉴别。周围型肺癌为实性病灶,灶内出现不规则的液化坏死腔,灶内小泡征具有特征性,其空洞为凹凸不平的偏心空洞,壁厚,边缘为分叶,短毛刺征。肺脓肿可形成厚壁空洞,为水平液面。如为炎变期,病灶内密度不均,可有不规则液化坏死腔。结核瘤为混合密度,病灶内可有小空洞,不规则钙化结节,周围可见卫星灶。

20
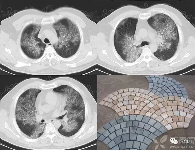
碎石路征
碎石路征或称铺路石征,是胸部CT上的一种影像学征象,主要表现为在弥漫性或散在分布的毛玻璃样浸润影中,有小叶间隔增厚、小叶内线状影重叠存在。碎石路征最初在肺泡蛋白沉积症(PAP)的病例中发现,并认为是PAP特征性的胸部CT表现;但实际上,感染性疾病、肿瘤、特发性肺弥漫性疾病(DPLD)、吸人性病变等都也可以出现。
1、感染:
1)卡氏肺囊虫肺炎(PCP):PCP是由卡氏肺抱子虫引起的肺部机会性感染,多发生于免疫功能严重受损者,是艾滋病(AIDS)患者发生机会性感染和致死的主要原因。PCP的主要症状包括干咳、呼吸困难和低热。典型的胸部X光片改变是双侧、沿肺门周围分布的网状影和境界不清的毛玻璃影;这种改变在CT上则表现为典型的碎石路征。引起碎石路征的病理学基础是:毛玻璃影由肺泡内泡沫样渗出,伴肺泡壁增厚引起;小叶间隔内水肿和慢性炎症细胞浸润致小叶间隔增厚、小叶内线状影。
2)严重急性呼吸综合征(SARS):SARS是一种起病急、病情发展迅速、人群普遍易感、死亡率较高的新的传染性肺部疾病。病理改变主要表现为弥漫性肺泡损伤(DAD),即肺充血、出血、水肿、透明膜形成、肺泡上皮细胞增生,部分肺泡腔内可见到脱屑的肺泡细胞、巨噬细胞和多核巨细胞,伴间质中炎症细胞浸润。主要临床表现是:发热(体温>38℃)、咳嗽、气短、呼吸困难等。胸部X光片可见大片状或斑片状分布实变影。部分SARS患者在起病2周内胸部CT上可发现碎石路征;在疾病的不同时期CT的表现形式有所不同,当早期以分散的、局灶性毛玻璃影为主要表现时,可见碎石路征,继而可以出现实变、间质增厚、胸膜反应和疤痕组织。
2、肿瘤
细支气管肺泡癌起源于细支气管末端的上皮基底细胞,包括无纤毛的Clara细胞、II型肺泡上皮细胞及勃液细胞三种成分。根据癌变的细胞成分不同,可分为赫蛋白性和非赫蛋白性两类。典型的临床表现是患者咯出大量勃液泡沫痰,但不常见,其它表现还有胸闷、气喘、咯血等。根据胸部X光片和CT改变可分为孤立结节型、弥漫性结节型和肺炎型。肺炎型的CT主要表现为毛玻璃影和实变影,文献报道有少数患者的HRCT上可见碎石路征。碎石路征形成的病理学基础是:癌细胞分泌的糖蛋白沉积在肺泡内,呈低密度,在影像学上表现为毛玻璃影,而毛玻璃中间分布的网格状阴影主要是由炎症细胞或肿瘤细胞浸润小叶间隔和肺泡壁产生的。当在毛玻璃影和实变影中发现碎石路征,同时有支气管树僵直,或其它肺野有多发小结节影,或有纵隔淋巴结肿大时,提示肺泡癌。
3、特发性肺弥漫性疾病(DPLD)
文献报道多种原因不明的肺弥漫性疾病的HRCT均可表现为碎石路征,如PAP,结节病,特发性间质性肺炎中的非特异性间质性肺炎、隐源性机化性肺炎等。
1)PAP是一种罕见病。各个年龄均可发病,以20~50岁的成年人多见。干咳、呼吸困难是其最常见的临床症状,而胸膜性胸痛、乏力、低热等则较少见。其胸部X光片表现是双侧对称性的肺泡实变或毛玻璃影,主要分布于肺门及肺门周围而类似肺水肿。CT的典型表现包括:①毛玻璃影及实变影与小叶间隔增厚交织形成碎石路征样改变;②在肺泡实变与正常的肺实质之间出现很明显的分界线,形成“地图样”分布。PAP碎石路征的组织学基础是:毛玻璃影及实变影与肺泡内充满PAS染色阳性、富含脂质的蛋白样物质有关;小叶间隔增厚影与肺泡壁因纤维组织增生或II型肺泡上皮细胞增生及淋巴细胞浸润有关。依据碎石路征和“地图样”分布,结合患者临床与影像学表现不平行的特点,是诊断PAP的诊断的不要依据。
2)结节病是一种原因不明的以非干酪样肉芽肿性炎症为特点的系统性疾病,肺及肺门淋巴结、皮肤、眼等器官均可受累。临床表现因受累部位不同而不同,当肺及肺门淋巴结受累时,可以出现干咳、胸痛及呼吸困难等症状,并常伴有乏力、盗汗、发热、消瘦等症状。常见的胸部X光片和CT的改变是对称性的肺门淋巴结肿大;当肺泡受累时,特别是CT上表现为片状的毛玻璃影时,有时可以出现碎石路征。
3)非特异性间质性肺炎(NSIP)是特发性间质性肺炎中暂定的独立疾病实体,其病理特征是不同区域的间质炎症和纤维化在时相上具有均匀一致性。临床表现与特发性肺纤维化(IPF)相似,表现为咳嗽、呼吸困难,两下肺闻及爆裂音等,但与IPF相比,NSIP预后相对良好。NSIP胸部X光片主要表现为两侧中下肺野毛玻璃影或实变影。最常见的胸部CT异常(80%病例)是毛玻璃影,通常为双侧对称性,主要位于胸膜下及肺基底部。其它改变还有实变影及不规则网状阴影,蜂窝肺较少见。当毛玻璃影与网状阴影重叠存在时,即为碎石路征。当NSIP形成碎石路征时,毛玻璃影提示炎症和纤维组织增生引起的间质增厚,而网状阴影则是肺泡细胞增生、炎症反应和微小纤维化等造成的小叶间隔增厚在CT上的表现。
4)机化性肺炎(OP)过去也被称作闭塞性细支气管炎伴机化性肺炎(BOOP),其病理学特点是远端小气道内肉芽组织增生,填塞气道、甚至累及肺泡腔,伴有肺泡内泡沫样巨噬细胞及间质内炎性细胞浸润。大多数OP为特发性,即隐源性机化性肺炎(COP);少数病例有因可查,如胶原血管病(类风湿性关节炎、混合结缔组织疾病等)、感染、药物毒性反应等常可伴发OP。患者主要临床表现为咳嗽、呼吸困难、发热、白细胞增加、抗生素治疗无效。胸部X光片上可见两肺散在不对称性实变影。大约半数以上患者实变影主要分布在肺周边部。BOOP典型的CT表现实变影在支气管血管束周围或胸膜下分布。BOOP患者的碎石路征并不常见。由托泊替康,博莱霉素等药物诱发的OP,也有个别病例报道其胸部HRCT表现为碎石路征。
4、外源性类脂性肺炎外源性类脂性肺炎(ELP)由急性/慢性吸人动物油、植物油或汽油等物质而引起的肺部疾病。常见的易患因素有咽部结构异常、食管病变(贵门迟缓症、食管裂口庙等)、神经损害、慢性病变等,然而,在许多病例也可以没有易患因素。急性ELP的组织病理学表现是:肺泡外观形态正常,肺泡内充满巨噬细胞,巨噬细胞的胞浆内含有大量脂蛋白样物质。亚急性ELP的病理表现是:肺泡内有大空泡形成,周围有巨噬细胞围绕,肺泡壁及小叶间隔内有炎症性渗出物。反复吸人脂类物质则可导致肺纤维化发生。临床常见的症状有咳嗽、中度发热、气短、胸部不适。胸部X光片的表现通常不特异,包括两肺下叶气腔实变、肺泡实变与间质实变并存;有时还可见到边界不清的局限性大块样病变,与肺肿瘤很相似。胸部CT特点为,实变部位CT值常在-35Hu~-75Hu,提示脂质沉积。同时,ELP也可表现出碎石路征,其中毛玻璃影反映了肺泡和间质内有大量吞噬脂质的巨噬细胞浸润、II型肺泡上皮细胞增生。
5、急性呼吸窘迫综合征急性呼吸窘迫综合征(ARDS)是肺水肿的一种形式,以难治性低氧血症和呼吸困难为特征性表现。休克、挫伤、感染、脓毒血症、吸入毒性物质等是其常见原因。胸部X光片表现为双侧比较均匀一致的毛玻璃影和实变影。早期CT上可见到双肺实变影或毛玻璃影、网状阴影或线状阴影等,肺实变影以背侧最为明显;后期可以有继发性支气管扩张和蜂窝肺形成。当毛玻璃影与网状阴影或线状阴影重叠存在时可形成典型的碎石路征,其组织学基础为毛玻璃影与肺泡内水肿、血管周围腔隙水肿以及富蛋白液体充填肺泡腔、透明膜形成有关。
碎石路征是一种非特异性的影像学表现,多种疾病均可有此改变。熟悉碎石路征的特征,掌握其在各种疾病中出现的部位、特点和其它影像学表现,结合患者的病史、临床表现等,对于缩小肺弥漫性疾病的鉴别诊断范围、降低误诊率及明确诊断有重要的价值。
典型的肺泡蛋白沉积症:

21
桃尖征
指肿块某一边缘尖角状突起形似桃尖,是炎性假瘤包膜的粘连牵拉,为良性肿块尤其是炎性假瘤特有。由于肿瘤大多位于肺的浅表部位,邻近胸膜常出现炎性反应,继之局限性的胸膜增厚、粘连,于肿物边缘可见类似胸膜幕状粘连的尖角状表现,这种尖角和肿块连在一起酷似一个桃子的桃尖。假瘤的主体和胸膜的炎性牵拉形成的尖角常常和周围胸膜、心包及纵隔粘连形成桥样结构及宽桥征;炎性假瘤的形成,一般被认为是感染后非特异性炎症的机化修复而引起的局限性慢性瘤样增生,形成的肿块压迫周围肺组织周围组织反应性改变,形成假包膜,所以一般边界广整,少数包膜不完整、无包膜或有胸膜粘连者,边缘可不光整。炎性假瘤依据细胞成分为组织细胞瘤型、硬化血管瘤型、浆细胞肉芽肿型、细胞上皮乳头痒增生等五个类型。肿块形态不规则和肿块分叶是病灶在病理上不同组织、不同数目因而生长速度不同所致;而边缘光滑的炎性假瘤则是同类组织以同等的生长速度增生形成。假瘤的分叶一般较浅或没有分叶,多为单发,两肺各叶均可发生,右侧多于左侧,下叶多于上叶。炎性假瘤可以有如下表现:
1、病灶多位于肺的外围,贴近胸膜,可宽基底与胸膜接触,或伴局部胸膜增厚粘连;
2、病灶形态不规则,边缘可呈刀切样,周围可见毛玻璃样改变;
3、肿块密度等或略低,不均匀,空洞少见,增强强化较明显;
4、抗炎治疗的基础上动态观察常有病变范围减小、密度减低甚至完全吸收等改变;
5、病灶边缘多发性空泡,表现为病灶边缘部位类圆形的光整的气体样低密度,是尚未被病变替代的肺结构支架,或病变坏死,这种空泡多位于病灶的边缘,可能是炎性假瘤纤维化包裹正常的肺组织或病灶机化纤维化牵拉肺组织使其部分复张有关;
6、病灶下缘散在结节征:病灶下缘由单一的结节球形灶移行,为多个分散的结节影,均出现在双肺下叶。这是由于病灶包膜不完整或多个瘤体未融合,或者是病灶下缘粗大的肺血管随呼吸运动将病灶隔开或沿肺血管形成的炎性渗出。
7、平直征:病变沿肺叶或肺段的边缘形成以及病灶边缘纤维牵拉所致。
8、均匀明显强化:由于慢性增生形成血供丰富的肉芽肿。
炎性假瘤桃尖征:

炎性假瘤(病灶形态不规则,边缘可呈刀切样,周围可见毛玻璃样改变,强化异常明显):

炎性假瘤(病灶边缘多发性空泡,表现为病灶边缘部位类圆形的光整的气体样低密度,是尚未被病变替代的肺结构支架,或病变坏死,这种空泡多位于病灶的边缘):

22
星系征
肺结节病的大结节(直径大于1公分)有无数小结节构成,大结节周围环绕小结节卫星灶,晚期支气管血管周围受累呈条带状,这与天文领域的卫星、慧星、银河很相象,这些影像表现与肺结节病的病理学表现很相似。“星系征”就是用来描述这一影像学表现的一个征象。需要注意的是,具有星系征这一征象的并不仅仅只有肺结节病,有时候,其他疾病如肺结核、肺转移瘤、细支气管肺泡癌及癌性淋巴管炎等也会出现这种征象。
1、小星星状:结节病肺内结节多发于胸膜下、叶间裂旁及沿支气管血管束周围分布,多表现为边缘模糊、不规则的网织结节或小叶中心结节,结节大小2~5 mm ,弥漫在双肺内似聚集在一起的成簇的小星星,此征象应与肺内转移瘤鉴别,转移瘤多发生于双下肺,边缘较光滑,多发孤立结节。
2、卫星状 : Ⅲ期的为肺内弥漫的小结节,大小约1 mm ,融合成大结节后通常可达到1~2 cm 左右,最大为2~4 cm ,边缘不规则,周围可见小的结节卫星灶环绕大结节周围,呈卫星状,中间的大结节酷似太阳,四周酷似它的卫星。
3、慧星状 :肺实质融合的大结节周围可见肺泡性渗出,呈毛玻璃状,好象长长的尾巴。
4、银河状 : Ⅳ期的结节患者,支气管血管周围同时受累,沿支气管血管束周围分布,支气管血管壁呈结节状增厚〔3〕,其间可见含气或扩张的支气管,呈条带状,与正常肺组织之间有清楚的分界上述表现的病理基础是病理变化为主炎性病灶表现:非干酪样肉芽肿和淋巴细胞肺泡炎,主要由上皮细胞组成的肉芽肿结节,体积小,结节内无干酪样坏死,常有多核巨细胞以及散在淋巴细胞,周围较多的淋巴浸润,以后为纤维包绕,结节融合。
上述表现的病理基础是非干酪样肉芽肿和淋巴细胞肺泡炎,主要由上皮细胞组成的肉芽肿结节,体积小,结节内无干酪样坏死,常有多核巨细胞以及散在淋巴细胞,周围较多的淋巴浸润,以后为纤维包绕,结节融合。
鉴别诊断
1、肺转移瘤:转移瘤双下肺多发,大小不等(5~50mm) ,表面光滑,呈圆形。“星系征”中的“星星状”征象阐明了结节病的肺内结节与支气管血管束周围的淋巴组织关系密切。
2、支气管肺泡癌:弥慢性支气管肺泡癌可表现为结节及斑片影,肺泡癌的结节通常小于结节病的结节,可表现为融合成片,但无融合结节,即“星系征”中的“卫星状”征象可以为鉴别提供参考依据。
3、癌性淋巴管炎:进展期的结节病与癌性淋巴管炎都可形成支气管血管壁增厚,但结节病呈现结节状不规则增厚,结节病可以表现为肺纤维化征象,边界较清。“星系征”中的“银河状”征象对诊断有帮助。
肺结核星系征:

肺结节病星系征:

23
胸腹水鉴别四联症
1、膈肌征:横隔顶向头侧凸出,低密度影在膈外周为胸水,在膈内为腹水。
2、膈脚移位征:胸水时压迫膈脚向前、向外侧移位。
3、界面征:肝与肺在层面上的分界一般是清晰的,腹水时也清晰明确,而当胸水时则肝肺分界不清晰。
4、肝裸区征:肝的背侧内部肝与膈肌直接相贴,此为裸区,产生腹水时液体不在此区潴留。

24
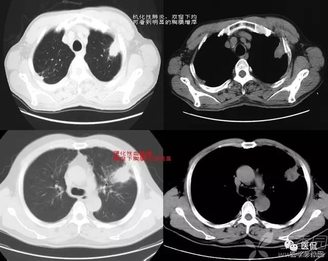
胸膜凹陷征(PI)
胸膜凹陷征(PI)也称为“兔耳征”、“尾征”或“胸膜尾征”。PI为肺癌侵达胸膜的最直接的影像学证据,一直以来普遍认为是肺恶性肿瘤的典型征象。胸膜凹陷通常以肺脏肋面最多,其次为纵隔面、叶间胸膜面、膈面的脏层胸膜或胸膜多处受累。典型PI对周围型肺癌有重要诊断价值。有日本学者研究认为,PI阳性较PI阴性的周围型肺癌病人5年生存率明显降低。目前认为形成典型PI的主要病理基础是肿瘤方向的牵拉而局部脏壁胸膜无增厚粘连。肿瘤牵拉的原始力量来自于瘤体内反应性纤维化及瘢痕形成,收缩力通过肺的纤维支架结构传导到游离的脏层胸膜而引起凹陷。肺癌的胸膜凹陷形成多是由于瘤内有纤维瘢痕,引起肺外周支架结构收缩移位,牵拉胸膜形成凹陷,这种病理变化在一定程度上也形成了肿瘤的分叶切迹。肺癌牵拉胸膜内陷的动力主要由肺癌本身纤维增生、肺癌周围肺组织的纤维增生和肿瘤阻塞小支气管引起的肺不张产生,但PI的形成还应基于局部胸膜不粘连这一基础,同时还有其他因素在起作用,如肺癌到胸壁的距离。PI的典型CT表现为肿瘤远端与胸壁间线状影加小三角形影或喇叭口影,三角形基底位于胸壁缘,尖指向肺内包块。三角形影或喇叭口影与壁层胸膜间被水充填。喇叭口周围胸膜无增厚亦无粘连,这种改变国内学者称为“典型PI”,以肺癌多见。
文献将PI线状影是否与肺内病灶棘突相连或深达病灶边缘并该处肿瘤凹陷,作为肺外周良、恶性结节或包块的另一项重要鉴别诊断指标。NNPI是指胸膜线影进入结节内部,于结节表面形成切迹改变。此征对恶性胸膜凹陷诊断特异度为96.5%。外周肺炎性病变通常伴胸膜增厚、粘连,并非单纯脏层胸膜凹陷所引起。胸膜明显增厚者常无明显胸膜凹陷或虽有凹陷但较浅而不规则,称“不典型PI”,以炎性病灶多见。就炎性病变而言,不典型PI的形成可能与胸膜的粘连关系大。外周肺炎性病变尤其是结核较易累及胸膜,引起渗出,纤维蛋白沉积,吸收过程中造成胸膜的粘连、增厚。文献普遍认为,肺良性病变PI的MSCT表现,PI伴胸膜增厚粘连,造成所见线状影粗细不均,故在CT上缺乏完整PI的变化规律及胸膜面三角形影,是鉴别肺癌PI的关键。也有研究显示,肺外周良性病变PI多表现为以下两种情况:棘状胸膜凹陷,肺内病变与胸膜间见粗线状、索条状或棘状高密度影伴胸膜牵拉内陷;幕状或宽基底胸膜凹陷,病变胸膜侧一定范围与胸膜粘连相贴,形成盘底征,并伴有相应区域胸膜粘连增厚。文献报道叶间胸膜凹陷多见于周围型肺癌,但也有研究显示肺外周良、恶性结节或包块,叶间胸膜凹陷所占比例相近,并无明显差别。
总之,PI多见于周围型肺癌,其中又以腺癌最为多见,该征象亦可见于肺良性病变,如结核球、慢性炎症、炎性假瘤、肺脓肿、硬化性血管瘤等。其中Ⅰ、Ⅲ、Ⅴ型PI多见于周围型肺癌,而Ⅱ、Ⅳ型PI则在结核球等良性病变中多见。即便如此,各种形态PI在肺外周良、恶性病变的CT图像上有重叠,并无绝对的特异性。将该征象与肺外周结节的毛刺、分叶、支气管血管聚集征等其他主要征象以及临床资料进行综合分析,可提高肺外周结节的CT诊断准确率。
附:PI的分型
I型为典型表现:结节与脏层胸膜面间约1mm粗细的一根或一组呈放射状排列指向病灶中心(或肺门)的线条状影,伴或不伴脏层胸膜小三角形或喇叭口形影,无胸膜增厚;II型:有I型表现,轻或无脏层胸膜凹陷,有胸膜增厚(厚度>2mm);Ⅲ型:结节与脏层胸膜面间呈梳齿状排列的线状影,常有胸膜增厚;IV型:病灶位置太高或太低,PI中心呈上下斜形走行,CT横断像不能显示完整的PI,表现为多个层面显示结节与脏层胸膜间在肺门一结节中心连线方向上点状或线段影,脏层胸膜可见“U”形影;V型:为叶间胸膜凹陷,表现为叶间胸膜纤维牵拉向结节侧弧形移位或走行失去连续性。
从形态上讲,胸膜凹陷症又分为:1)线型;2)幕状粘连;3)锥型;4)星型四个类型。



25
印戒征(支气管轨道征)
影像表现:
由一个小的圆形软组织密度影和一个圆形低密度区的较大的环形软组织密度影相连而成,形似印戒。软组织密度环代表扩张的支气管,其内低密度为扩张支气管内所含的气体,小圆形软组织密度影代表与扩张支气管伴行的肺动脉。受累的支气管常见于中等管径的支气管,因为主、叶及段支气管软骨较硬较厚,对扩张的抵抗力较大,而在严重支气管扩张的患者中,远端小支气管常有闭塞,数量减少,故仅有中等大小的支气管才能明显的扩张。支气管扩张可分为三度:轻度主要表现为柱状扩张;中度表现为串珠(静脉曲张样扩张)样扩张;重度表现为囊状扩张。在X线片上,支气管扩张主要表现为肺纹理集聚,边缘不清或环形透光影,以及由于支气管壁增厚形成的轨道征。
支气管扩张的少见征象:
支气管扩张比较少见的征象是黏液嵌塞征,是由于支气管分泌物贮留于扩张的支气管内所致,当支气管走行与扫描层面垂直或倾斜时表现为结节状或卵圆形团块影,当支气管走行与扫描平行时表现为Y型、V型或分支状致密影,连续多层面观察,病变聚集成堆,主轴指向肺门。其CT值高低不等,与黏液栓成分有关,粘稠及蛋白含量高时CT值偏高,分泌物稀薄时CT值偏低,可为支扩仅有的一种影像表现。支扩的常见CT表现,主要取决于支扩的程度、走行方向扫描平面的关系。印戒征和轨道征见于柱状支气管扩张。正常支气管管径稍小于伴行的肺动脉,在排除肺血管疾病的前提下,若支气管管径大于伴行的肺动脉直径,且此时的走行方向与CT扫描平面垂直,即构成特征性的印戒征;当扩大的支气管走行与CT扫描平行时,表现为轨道征,此时扩大的支气管失去了正常时由近端向远端逐渐变细的表现。环状影见于囊状支气管扩张,含气支气管呈囊球状扩大,囊腔常从肺门到肺周排成一行,或多个囊腔集成一簇。曲张征表现为扩张的支气管粗细不一,狭窄与扩张交替出现,呈串珠状排列,形似曲张静脉。
病因病理:
印戒征是支气管扩张的CT表现,它是支气管壁弹性组织和肌肉组织破坏而导致的局部支气管不可恢复的异常扩张,是受累支气管多种病理过程共同的最终结果。支气管扩张的病理改变主要是管腔扩张和管壁增厚。
支气管扩张的判定:
判定是否扩张主要是根据被评价的支气管和伴行动脉直径的相对比例关系。正常情况下,支气管和伴行的肺动脉的直径前者较小,比例是0.62±0.13,当支气管径大于临近肺动脉,或在胸膜下1cm内见到支气管,可考虑支气管扩张。囊状扩张的支气管管径一般大于1cm。
支气管扩张的伴随征:
支气管扩张可伴有叶段的肺萎缩,大多继发于支气管周围纤维化的瘢痕性肺不张,表现为较大的肺动脉和主或叶支气管的移位,叶间裂的移位,邻近肺段内的支气管和肺血管结构的重新排列,在萎缩肺中可见增粗的含气支气管征。支扩周围常见感染性病变,意味着支气管感染经支气管播散到周围气腔内引起肺实质的感染。在CT上首先表现为支气管壁的外缘模糊,以后病变播散到支气管周围气腔内,再进展为段或叶实变,囊状支扩囊内常出现气液平面。支扩是肺部常见的慢性感染,常侵犯中等大小的支气管。
支气管扩张的部位:
支气管扩张的发病部位常与病因有关,化脓菌和病毒感染所致者,多见于两下肺;继发于结核或其它肉芽肿,多见于上叶和下叶背段;过敏性支气管肺曲菌病可引起肺中央部的支气管扩张。其病理学表现为支气管管壁有单核细胞浸润,在严重病例中,纤毛上皮变性退化,代之以鳞状或柱状上皮,最后支气管壁的弹性层丧失,支气管肌肉和软骨破坏导致局部或广泛的支气管不可逆的异常扩张。
支气管扩张(支气管扩张和支气管肺囊肿)的鉴别:
支气管扩张症与多发先天性支气管肺囊肿由于起源部位相同,影像表现极为相似,所以常给影像鉴别诊断带来困难。支气管扩张症形成的空腔于下肺多见,直径多<1cm,腔内积液多见,液面呈弧形凹面,多表现为下壁厚、上壁薄。扩张支气管周围常存在炎症或结核病变,继发炎症者壁增厚,同时可见病灶周围肺纹理紊乱,部分病例纵隔向病灶侧移位。多发先天性支气管肺囊肿病灶分布则上下肺差异不大,直径>1cm者较多见,腔内积液少见,液面水平。除继发感染者壁厚>1 mm,其余壁厚均<1 mm,且壁厚较均匀。多数肺内发育障碍的支气管在囊肿形成后可继续发育,形成狭窄的气道,将分泌物全部或部分引出,形成含气囊肿或气液囊肿。均无纵隔移位表现,也无支气管柱状扩张。
由于二者均有支气管管壁的局部薄弱、膨大,所以病变部位都表现为薄壁类环形透亮影,腔内可有或无积液。由于囊腔均较小,所以积液因毛细现象及表面张力作用多表现为弧形凹面,给人以下壁厚、上壁薄的印象,而囊腔>3cm者无上述作用,液面水平。支气管扩张多有腔内积液,而多发先天性肺囊肿病腔内积液少见,推测是由于前者支气管管壁弹性组织不足,收缩无力,分泌物难以完全排出所致,而后者膨胀的管壁不乏弹力组织,收缩时能将分泌物完全排出。有文献报道支气管扩张常因伴行有肺动脉分支显示,横断面构成“印戒”( signet ring)征,认为此征象有助于支气管扩张的诊断 。而多发先天性肺囊肿中病灶<1cm者中也可见有印戒征,而且与支气管扩张症的印戒征出现率无明显差别。认为主要是因为肺囊肿较小时未造成伴行的肺动脉推移,所以同样能形成印戒征,而支气管扩张推移了伴行的肺动脉时也不会显示印戒征。由于支气管肺癌发生于支气管黏膜组织,所以文献报道支气管肺囊肿恶变时可出现壁结节。支气管反复感染和阻塞造成肺间质的增厚、纤维化,明显的支气管柱状及囊状扩张,所以支气管扩张病例伴发周围炎症、肺纹理改变及纵隔等周围组织结构移位机率较多。
支气管扩张与多发先天性肺囊肿由于病理成因不同,所形成的影像表现虽相似却有不同,观察大多数病灶的大小、腔内积液情况、周围组织结构的改变及结合病史可以作出准确的鉴别诊断。

26
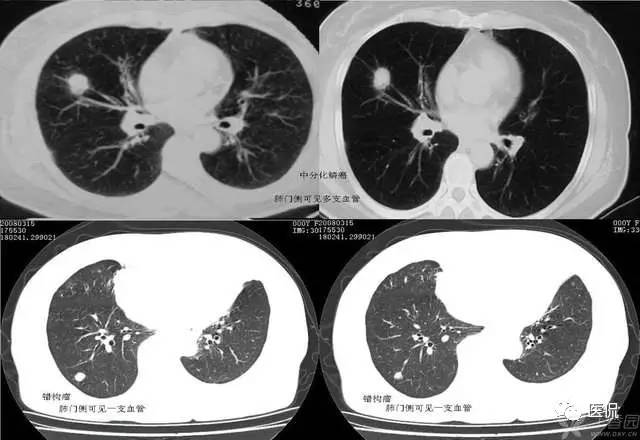
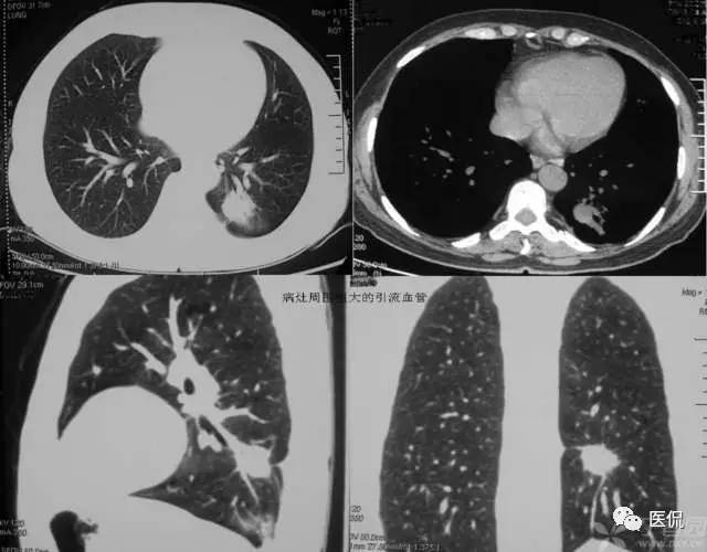
血管集束征
血管集束征在影像上表现为肺结节周围一支或几支血管到达瘤体内或在瘤体边缘截断或穿过瘤体的现象。其形成包括以下三种情况:
(1)肺血管进入肿瘤内或穿过肿瘤;
(2)肺血管受牵拉向病灶移位;
(3)肺血管到达肿瘤的边缘截断。
血管集束征的形成是由于肿瘤组织向血管支气管鞘或小叶间隔生长,瘤体内纤维组织增生或瘢痕形成,牵拉临近血管向瘤体集中所致。其中进肺门侧的血管束、支气管构成,血管壁多为扩张的小动脉,说明肺癌供血丰富;远肺门侧的血管束由扩张的小静脉组成,可能和静脉回流受阻有关。血管集束征的形成机制是由于恶性肿瘤细胞产生肿瘤生成因子诱发肿瘤形成新生血管,尤其是血供丰富的恶性肿瘤,由于其生长活跃,常致使肿瘤供血的血管代偿性增粗,这些血管长扩张或伴有肿瘤细胞的支气管动脉鞘浸润或瘤栓形成。这就意味着,肿瘤或结节周围血管是否增粗表明该病变的良恶性程度。血管集束征的出现与肿瘤或结节的大小有关,小于1公分的病灶较少出现;腺癌出现的的几率较高,因为腺癌供血丰富,纤维化形成的更明显。尤其要注意的是,一支血管引向结节或肿瘤内,不只仅见于恶性结节,也可见于良性病变如结核球、炎性假瘤或错构瘤。对于引向两性结节的这支血管可看作血管连接,而不是血管集束征。多支血管引向病变即出现了血管集束征这在恶性肿瘤出现的机会较高。此外,肺恶性结节累计静脉的机会更多,病灶不论大小,如果见到结节累及静脉,强烈提示恶性可能。判断某支血管是动脉还是静脉,主要根据其走形来判断,动脉主要和支气管伴行,静脉主要位于病灶的边缘绕行。关于血管集束征的血管,有学者认为大多数并非肿瘤供血血管或肿瘤血管,被肺癌卷入的肺动脉不参与肿瘤供血。另外,肺癌瘢痕的形成和癌巢的增殖与破坏与血管集束征和胸膜凹陷征的形成有关。血管集束征主要见于肺癌,尤其是腺癌和肺泡细胞癌。但是该征像不仅见于恶性肺结节,肺良性病变如结核球、球形肺炎等也可见到。所以仅根据血管集束征判断病变的良恶性并不是完全可靠的。

腺癌粗大的引流血管:

27
胸膜分离征
表现为胸膜脏层和壁层胸膜增厚并被其间的胸腔积液分开,当胸膜感染,胸腔内积脓时,胸膜常常有明显强化。脓胸一般继发于细菌性肺炎。在肺炎旁胸腔积液时,由于毛细血管通透性增加,液体进入胸膜腔,随着液体集聚增加,细菌透过损伤的内皮进入胸膜腔,导致胸膜腔积脓,随后纤维和内皮毛细血管在胸膜表面形成包膜并增厚。脓胸通常伴有胸膜外肋下肌组织肿胀和胸膜外脂肪变薄。

28
胸膜下弧线(SCLC)
肺胸膜下弧线影像(SCLS)的病理基础
国外学者对此征象的CT与病理对照研究指出,SCLS是细支气管周围纤维性增厚及肺纤维化引起的肺泡变扁和肺不张。构成SCLS的肺不张为肺脏皮质与髓质交界处的盘状肺不张,肺不张的发生与肺间质纤维化后肺脏的顺应性减低有关。指出肺脏蜂窝状改变的边缘融合也可形成SCLS,SCLS位于蜂窝之间,这在HRCT图像上可清楚地显示。临床发现,SCLS发生在慢性肺炎之后,少数发生在慢性支气管炎合并肺间质纤维化患者吸气不足状态,深吸气时大部分消失,也有发生在阻塞性肺不张后,这些表明SCLS为肺脏局部通气不良发生的盘状肺不张。胸膜广泛钙化,SCLS与胸膜钙化的范围一致,肺内也有轻度的肺间质纤维化改变,胸膜钙化可能使胸膜下肺组织的顺应性下降,从而对SCLS的形成有促进作用。胸膜增厚与胸膜结节也可能引起类似的结果。
SCLS的HRCT形态特点
SCLS与生理性的肺下垂部线性影像不同,生理性胸膜下线位于肺脏的最低部,在仰卧位时位于下叶后部,而转变为俯卧位时下叶后部的线性影像消失,生理性胸膜下线多距胸膜下5mm以内,可合并局限性肺脏密度增高。而SCLS虽然在肺脏后部多见,但多超过一个肺段的范围,并可位于肺脏非下垂的部位。体位变换时其形态无变化,也不会消失。多数SCLS表面光滑、呈连续状,少数为不规则及不连续状。煤工尘肺的SCLS可有结节状影,或厚度较大。
SCLS的诊断意义
SCLS可见于多种肺间质纤维化的疾病,如慢性支气管炎合并肺间质纤维化,煤工尘肺,特发性肺间质纤维化,胶原病引起的肺间质纤维化,及结节病引起的肺改变等。慢性支气管炎,特发性肺间质纤维化,煤工尘肺及胶原病引起的肺脏改变等均可出现,占90.3%。以往一些作者曾认为SCLS在石棉肺多见,或认为此征象是石棉肺病人的特有表现。但临床研究的结果表明,SCLS是肺间质纤维化的一种常见征象,见于多种疾病。此外,SCLS还见于炎症、肺瘀血和吸气不足状态。对于肺间质纤维化的病例,SCLS为肺间质纤维化的早期改变。
SCLS周围无肺间质纤维化征象者占25.71%,仅有小叶内间质增厚及小叶间隔增厚者占28.57%,发生较多蜂窝改变的仅占20%。SCLS的长度与肺间质纤维化的严重程度有关,有人对随访的肺间质纤维化逐渐加重的患者,发现SCLS也由短线型发展为长线型。即使SCLS可发生在有蜂窝的部位,但蜂窝改变多较轻微,而在蜂窝改变较密集之处未能见到SCLS。有研究指出,SCLS开始发生在肺间质纤维化轻微的部位,5年后该部位发生严重蜂窝改变,SCLS则不能显示。这表明SCLS的发生、延长与肺间质纤维化加重有关,但出现严重蜂窝后SCLS则不能显示。
总之,SCLS可以变小或消失,表明SCLS有些为可逆的改变。不同的疾病SCLS在形态上多无显著的差异。煤工尘肺SCLS可有细小结节,此结节与肺内结节的形态相似,代表了煤工尘肺的形态特点。但对大多数疾病而言,SCLS缺乏鉴别诊断价值。


29
冰山征
yc023711战友发了这样一个帖子:右肺上叶站位,有病理【病理结果已公布】 - 丁香园论坛,病理是肺类癌。其中有网友谈到了“冰山征”的问题。个人感觉,冰山征并非肺类癌所独有,凡是病变沿支气管粘膜下生长,并向粘膜内侵犯的病变都可能出现这一个征象,所以小细胞肺癌可以出现这种表现。
当然,因为支气管肺类癌常表现为支气管内肿块,肿块可以向外生长侵犯邻近的肺实质,有时表现为支气管腔外部分病灶大于腔内部分,CT能够清楚显示肿物在支气管腔内和腔外的部分,此征象也就是所谓“冰山征”。病灶较大并向周围侵犯邻近肺组织时CT可见此表现,此征象有助于周围型肺不典型类癌的诊断。显然,典型肺类癌同样可以表现这一征象。
要说明一点的是,类癌和小细胞肺癌其实是同一种类型,只是其分型不同而已。就如肺癌可以分为低分化,中分化和高分化一样。小细胞肺癌就像是一个低分化的肺癌,而类癌就是较小细胞肺癌分化好的一种病变,它们是同门兄弟,性格不同。下边用病例和图示说明“冰山征”,不过,下边病例的病理都是小细胞肺癌:

30
花朵征
花朵征这里主要指传染性非典型肺炎(SARS)的早期表现。该病早期CT表现较有特征性:肺窗上观察,肺血管纹理显著增强,一般在小叶范围渗出,主要为间质渗出,因此密度较淡,往往呈磨玻璃样密度,外形如“花朵”样,即增粗的血管纹理为“花柄”,小叶范围的渗出影像为“花冠”,散布其间的肺血管分支犹如“叶脉”,形成一朵朵根在肺门,朝向胸膜下的含苞欲放的“鲜花”,彼此界限清;病变严重时,“花朵”可融合,形成“花丛”样外观;纵隔窗上常不显影;纵隔淋巴结不大;早期空气支气管征不多见,进一步实变时明显;动态观察,进展迅速,但吸收慢,和临床症状不同步,后期纤维化明显;常在背部坠积性发病,而支气管开口向上的肺叶、段发病相对少见;可以以上肺野发病为主,此时较难与结核鉴别;有少数病人可出现胸腔积液,如治疗得当,吸收很快。典型病例大体可分为间质渗出期、实质渗出期和纤维化期三期。
SARS病毒是一种新病毒,与常见的引起呼吸道感染的其他病毒相比,其毒力强,致病力强,人群普遍易感,因此很容易引起肺部炎症;但其也与其他病毒有共性,早期往往为间质性肺炎,具有间质性肺炎的一般特点。但SARS病毒引起的肺炎,其病理变化较其他常见病毒性肺炎更剧烈,常迅速。造成明显的肺部渗出。发病早期,以间质渗出为主,病毒短时间内大量繁殖,引起血管周围间质及小叶间质渗出,肺泡腔内只有少量的液体和细胞成分,因此病灶密度较淡;肺部明显充血,血管纹理显著增强,以增强的血管纹理为中心,形成“花朵”征或“花丛”征,大体与肺动脉的供血区域形态一致;病变进一步进展时,可有明显的肺泡渗出,从而演变为实质炎,病灶密度增高。此时病理上可见肺泡腔内有大量细胞成分,有时可见透明膜,红细胞。经过治疗后,渗出减轻,部分吸收,肺泡的渗出相对容易吸收,而间质的渗出吸收较慢,容易引起肺间质纤维化,此时病人的自觉症状多数已明显改善,体温业已降为正常,病灶相对静止,可长时间存在肺部阴影。若渗出过多,吸收不良,持续影响通气、换气功能,则可因严重缺氧、呼吸衰竭而导致死亡。由于本病无化脓倾向,因此,整个病程未出现肺实质结构的坏死与破坏,所以也没有形成空洞,这容易和结核鉴别;本病亦少累及大气道,纵隔、肺门淋巴结也不大,因此,一般不引起肺不张,咳嗽、咳痰也较不明显,这与常见的细菌感染引起的实质炎明显不同。可以说,早期非典的CT表现是典型的。
传染性非典型肺炎(SARS)常为双肺发病;多位于两肺中下野胸膜下周边带,但与胸膜之间常有透亮带,较少累及叶间裂或段间裂,不以明确的叶或段分布。

快扫码关注医侃(yikantime),就差你啦!▼