#了不起的中国医师# #生命摆渡人# #重庆头条# #2022重庆头条#
都说医者难自医,这点在现实生活中其实不是非常准确的。主要是因为现代医学极其庞大和发达,每一个医生都仅仅能掌握是指以一小部分。我在胸外科领域耕耘这么久,也只敢说自己在肺结节稍有建树;而在胸外科以外的领域,我欠缺的还是很多。
今天的这位同行,是一位妇保大夫,在遇到多发磨玻璃结节后,多地求诊。但是不同的专家却给出了完全不同的诊断结果,有的建议随访,有的建议立刻手术。在看了我的科普以后(坚持了那么久的科普还是很有用,可以让人“心中有数,遇事不慌”),决定先进行消炎处理,根据后期的随访结果来具体的进行治疗。这里我要给这位同行点个赞,思路清晰,方向明确。
在看完了17个结节的片子后,的确到了需要手术的阶段。但是没有那么着急,磨玻璃肺结节的特性决定了它只需在半年内进行手术就可以的。左侧结节处于安全阶段,不需要着急处理。
“主静则悠远博厚,自强则坚实精明,操存则气血循轨而不乱,收敛则精神内守而不浮,是勤可以致寿考也”。期望这位同行可以放松心情,将这些结节“一网打尽”,恢复健康。
以下转自患者咨询:
2022-08-17
戴主任,您好!
关注您的贴吧好长时间了,我今年50岁,是一名基层妇保大夫,本人不吸烟,爱人吸烟,既往体健,祖父因肺部疾病去世,父亲因胃癌去世。在2021年一月低烧(37.1-37.6)一周,后口服头孢呋辛酯和穿心莲内酯滴丸后,体温恢复正常,由于疫情,一直未做检查,后常常感觉双侧肩胛骨下方酸痛。
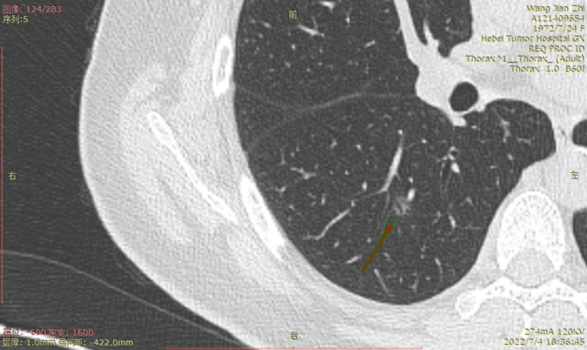
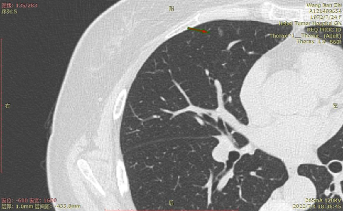
今年6月22号河北省人民医院进行CT检查后,报告双肺多发磨玻璃结节及微小结节以右肺为多,建议六个月后复诊。我于7月3号在河北省四院胸外科就诊,大夫建议复查薄层CT,7月4日CT结果报告示两肺多发结节,部分为磨玻璃密度,建议三个月复查,省四院的主任看了CT后有的建议立即住院手术,有的建议三个月复查,专家意见不一致,后来我看了主任的贴吧,首次发现肺结节先口服莫西沙星,三个月后再复查的贴吧,就没有立刻手术,从7月4日开始口服莫西沙星,现已完成15天疗程。等待复查的这一段时间里,总是担心大的结节已有浸润,请主任给予帮助,看看我的CT,给出我治疗建议,麻烦主任了!
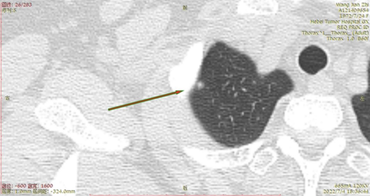
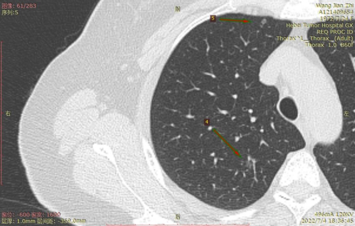
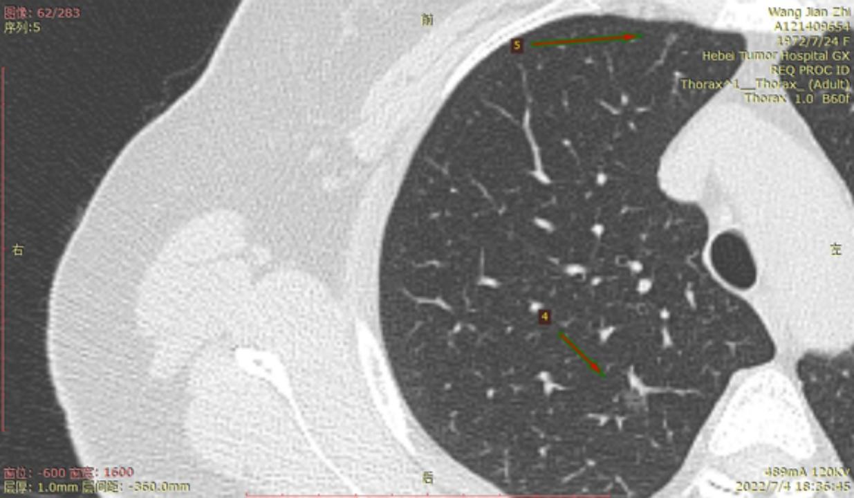
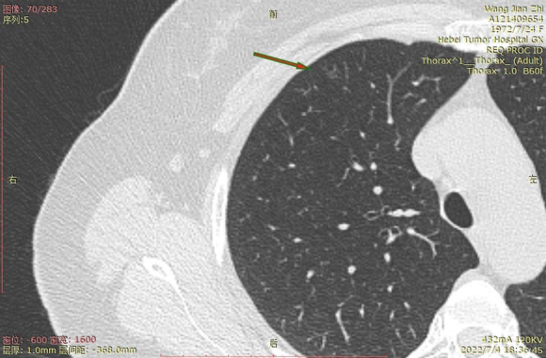
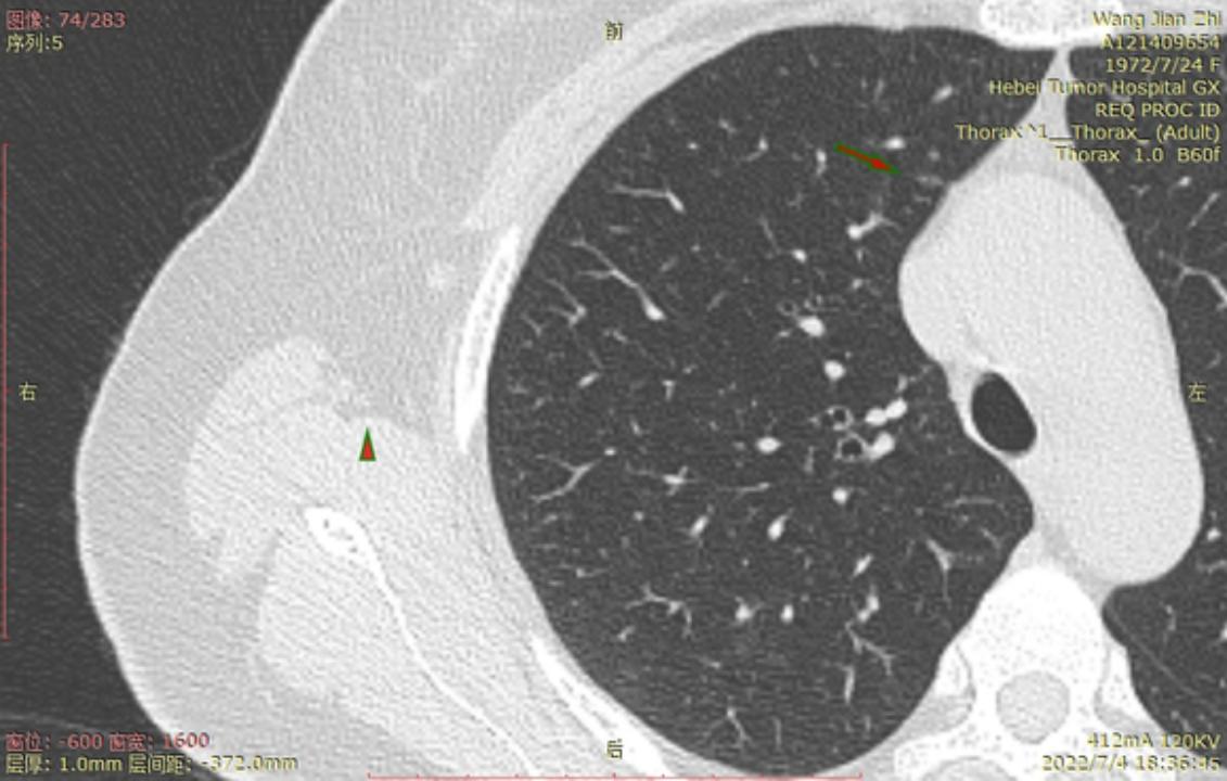
结1

结2

结3

结4-5


结6


结7

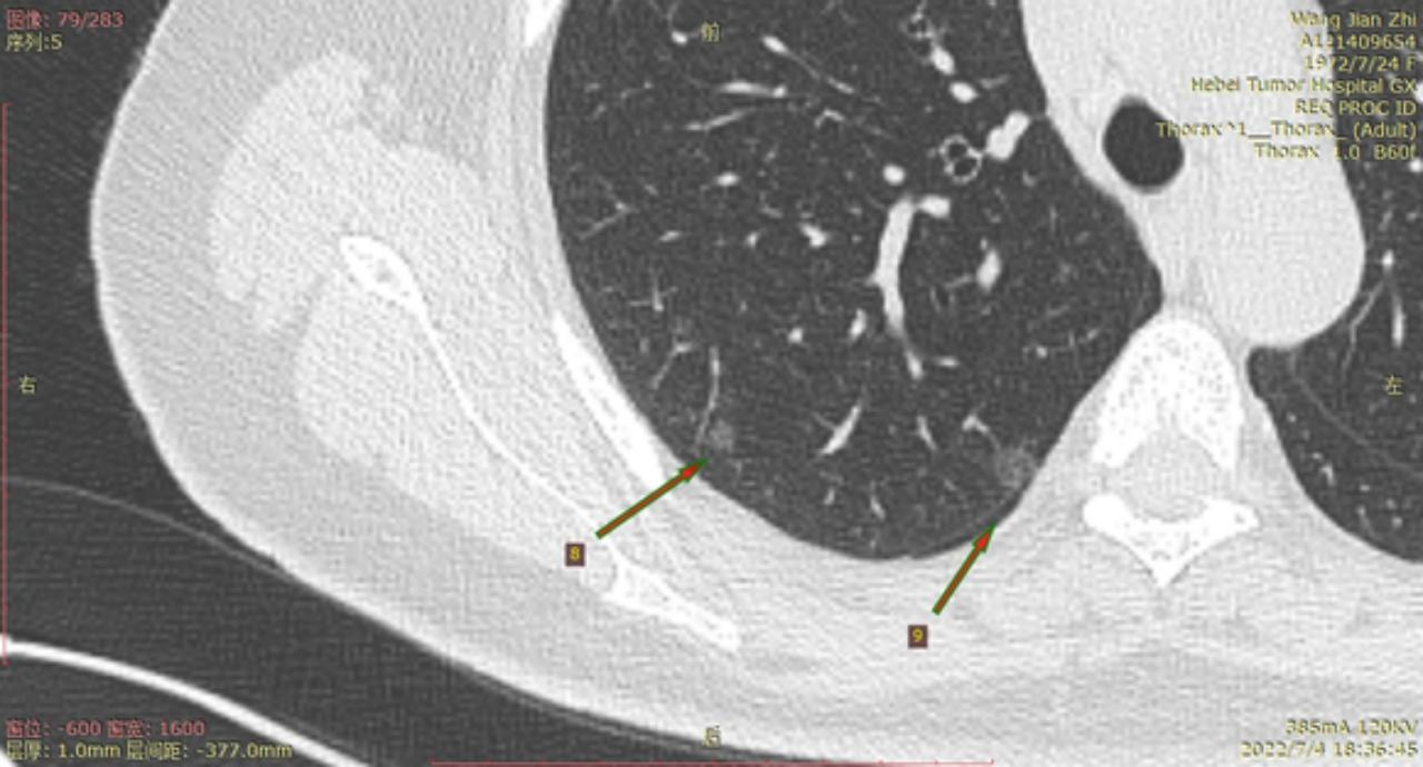
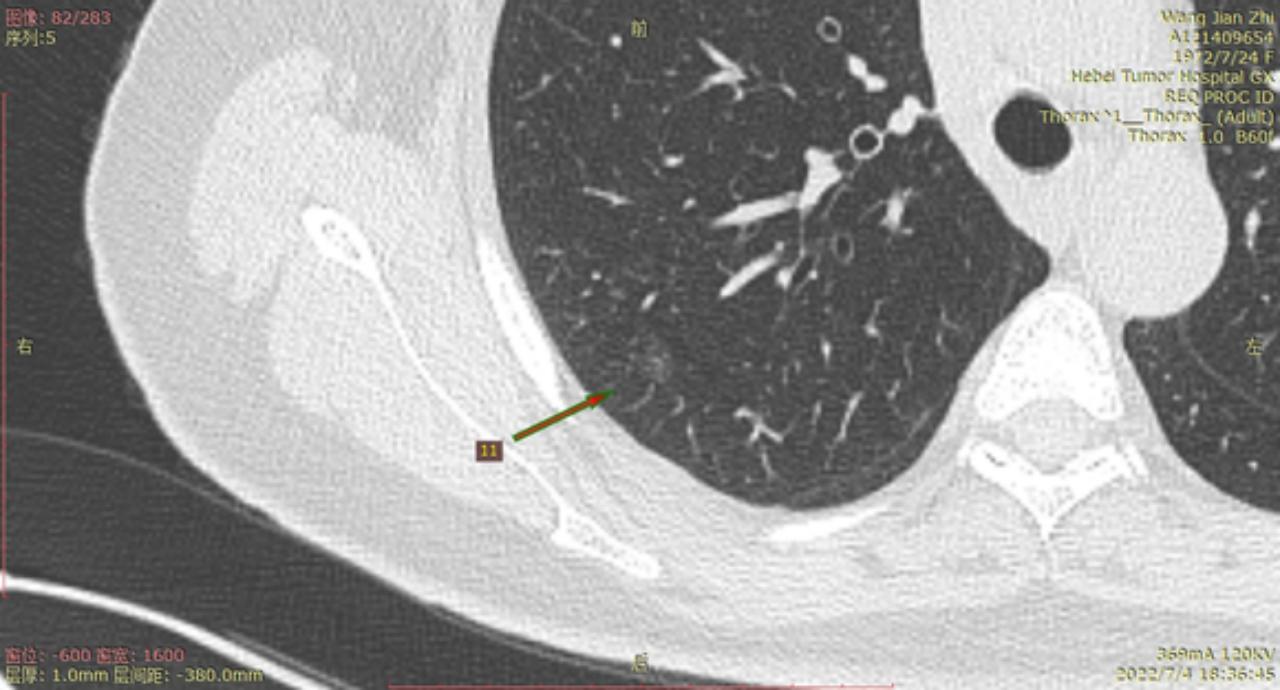
结8-11





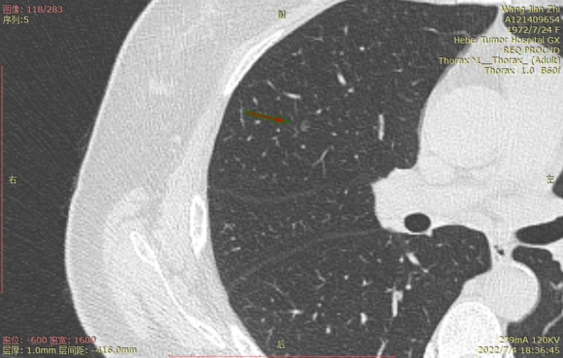
结12

结13

结14

结15

结16

结17

我的回复
右侧至少5枚以上的微浸润或原位腺癌,大的两枚结节微浸润,建议半年内把右侧5mm以上或者有危险的结节一网打尽。左侧结节还安全,安心随访