俗话说:“能吃是福。”但对于存在牙齿缺失问题的人群,这种“幸福”已成为一种奢侈。随着技术的发展,在口中种植一颗牙齿已经不是难事,但这种“生长”在牙槽里的牙齿动辄上万的费用,让很多人牙更疼了。专家介绍,种植牙每颗从几千到一两万的价格不等,所以患者选择种植牙医院也要谨慎。

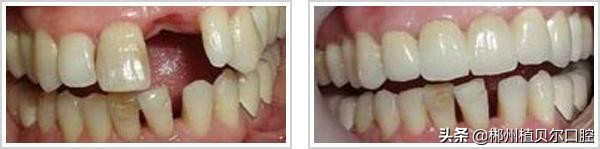
种植牙前后对比图 在线咨询种植牙价格
种植牙选植贝尔口腔 种牙更安全
植贝尔口腔引进全套号称“口腔界劳斯莱斯”的德国卡瓦口腔诊疗设备,这不仅能让医生种植设计方案更加完善,而且还能精确种植位置使种植体更加准确的植入;并且种植牙所采用的植体均为国外知名厂家进口种植体,有效缩短种植时间,大大提高植体稳定性,从此让患者再无后顾之忧。
植贝尔口腔即刻种植牙10分钟为您修复缺牙
植贝尔口腔医院引进的即刻种植牙技术抛弃了传统镶牙中的钩和套,也不用牙托,更不用磨损两侧健康好牙,在拔除患牙后即刻植入“人工牙根”,即刻镶复临时覆盖义齿,即刻有效防止牙槽的吸收萎缩和病变,即刻种植技术具有稳固牢靠、舒适美观、安全快捷、无异物感、不伤健康邻牙等独特优势。
看牙选择植贝尔口腔,舒适无痛效果好!
1、品质! 只选择知名品牌种植体
植贝尔口腔植牙始终坚持以治疗效果和患者体验为先,在种植手术中,严格遵循 医疗标准,只使用具有质量保障的 知名品牌种植体及手术材料,承诺种植手术的安全性及术后质保,种植牙成活率在国内齿科机构中始终位于前列。
植贝尔口腔引进国外知名种植系统
2、优势! 德国百年齿科经验及世界领先全套设备
植贝尔口腔引进的卡瓦口腔CT机,是目前先进的三维技术,快速CT扫描一次即可获取全部高清3D诊断图像,可以按特定需求对上下颌的种植区域或者整个头颅自定义扫描,全面精准。同时,通过电脑模 拟设计种植方案,使种植手术精准无误差。
3、专家! 解决种植牙疑难杂症
植贝尔口腔医院享用德国百年口腔诊疗技术经验,汇集了中、德、韩、日等诸多技术精湛的种植专家,他们对各类口腔常见 病、多发症、疑难杂症诊治积累了丰富的临床诊疗经验,经验丰富的专家保障了患者种植的效果。
经验丰富的国内外种植专家 在线预约专家
4、质保 !终身质保 种植无忧
拥有一口洁白、整齐、坚固、健康的牙齿是每人的梦想。植贝尔口腔ISO安全种植牙郑重承诺:保证每位种植牙患者都能享受种植牙终身质保的金牌服务,让您种牙没有后顾之忧。
种植牙关乎一辈子——谨慎选择植牙机构
种植牙以高技术难度、高医术水平著称,是口腔医学中的“塔尖”技术,种牙不但是精细手术,更是严格意义的手工艺精细活。而且种牙周期长,手术后还要复诊多次,维护保养更要终生性的。患者在进行种植牙时,必须要选品牌、选医院、选专家、选技术、选服务。只有做足功课才能有备无患,万无一失。
※温馨提示※:如果您对自己的口腔健康还有什么疑问,请在线咨询或拨打爱牙热线0735-2657767,专业在线医师会为您答疑解惑,还不定期会告知最近的院内优惠活动的惊喜哦~