小广时不时会收到一些家长的私信,说自家孩子的门牙是波浪形,不是平整的,是不是蛀牙,要不要补牙;还有一些家长担心是不是孩子的牙发育没完全,想着给不要孩子多补补钙,更有一些家长觉得是不是自己的孩子嗑瓜子嗑多了,导致牙齿出现了瓜子牙。

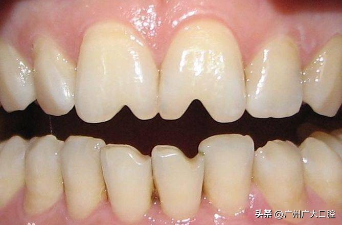
小广在此先安抚一下各位家长,这种牙齿的锯状形态是正常的, 在医学上被称为“切嵴结节”,主要是因为牙齿在发育的时候由三个发育叶融合而成,如果融合不完全就会产生这种锯齿状态。这种锯齿牙本身无害,也不需要过多干预,等小孩子长大后进食多了,自然会磨平。
当然,这种情况也不需要额外补钙,因为牙齿的钙化在牙齿萌出之前已经完成,通过食物补钙没有太大作用。除非家长觉得自己的孩子生长发育迟缓,也可带孩子去检查一下,看看是什么情况,再决定是否需要补钙。

另外,如果是这种类型的门牙,就不是 “切嵴结节”,而是真正的瓜子牙。就是门牙边缘齐整,但是中间豁了一个小口这种。

不过瓜子牙大多好发于成年的前门牙,主要还是因为嗑瓜子等尖壳类食物过度,磨耗了切牙边缘,才引发的。建议各位街坊发现自己的牙齿出现小豁口之后,先停止或减少嗑瓜子的频率,防止豁口增大。其次,如果想把牙齿恢复到原来的样子,就只能通过补牙或贴面等方式实现了,因为瓜子牙不可逆,不会自己长回去。因此,各位街坊嗑瓜子还得悠着点。