剔除椎管老茧 解放受压脊髓
空军总医院骨科主任杜俊杰有个在脊柱外科尤其是颈椎外科手术领域一直处于全国领先水平的绝活,他能将传统手术做成微创,并在很小的切口下,在患者各种复杂颈椎病的椎管内游刃有余地“削磨研凿”,他称这项手术为“剔除老茧,解放脊髓”。经他手术后的患者,第二天就能下地走动,一周后就基本恢复各项活动。据悉,杜主任领衔的医疗团队在颈椎病手术治疗领域已累积了5000余例治疗经验,经回访,每一位患者疗效都很满意。
在病人心里,最可怕的脊柱疾病不是椎间盘膨出或突出,而是骨质增生导致椎管内狭窄,并将脊髓压迫出一个一个印痕。这些增生就像体力劳动者手上磨出的老茧一样附着在椎管内,使原本保护脊髓的椎管由于这些“老茧”的存在,而随时粗鲁地触碰着敏感的脊髓神经,每一次触碰,都必然引发我们肢体酸痛麻木、感觉迟钝或肢体活动受限等。骨科主任杜俊杰介绍:“椎管内出现的这些“老茧”与人的年龄和长期习惯性动作有很大关联,常给人们生活和工作带来严重影响。”杜主任领衔的骨科采用“前路颈椎间盘切除减压、植骨融合内固定术”可以为患者彻底剔除椎管“老茧”对脊髓的压迫,解除患者病痛。
前不久,骨科收治了一位著名音乐人,他是一位乐队贝斯手,自上世纪80年*开代**始练习贝斯,30余年的长期刻苦训练,使他罹患了颈椎病。随着年龄增长,病情也不断发展,他感觉自己左手的灵活性下降,并伴有左前臂疼痛麻木,严重影响了表演效果。在朋友的推荐下,慕名到空军总医院骨科,请杜俊杰主任提供帮助。
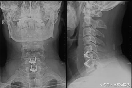
杜主任在详细询问了患者的病史,经过仔细查体,结合影像学资料,初步诊断患者为“颈椎间盘突出症(C5-7)”。影像学资料显示,患者颈5/6及颈6/7两个节段的椎间盘向左后突出,同时伴有左侧钩椎关节增生,神经根孔狭窄,严重卡压左侧神经根,这些病理改变在椎管内形成一个个“老茧”,不仅记录了这位贝斯手几十年为追求艺术完美而付出的辛劳。同时,“老茧”的存在所引发肢体各种症状也成为影响他继续演奏心爱乐器的罪魁祸首(见下图)。

结合影像资料和患者职业特点,医生认为,保守治疗恐怕已经不能解决患者问题,手术治疗应该是最佳选择。杜主任带领科室人员对患者病情反复进行讨论,经慎重考虑,决定由他带领陈宇飞、张振宇、刘悦及许砾思医生为患者实施“前路颈5-7椎间盘切除减压、植骨融合内固定术”。手术从患者颈前右侧沿皮纹切开一个4cm的切口,在切除颈5-6,颈6-7退变椎间盘的同时,用超声骨刀切除颈6-7左侧增生的钩椎关节并扩大左侧的神经根孔。随着一个个“老茧”的剔除,患者神经压迫症状迅速得到缓解,达到了美观、微创的效果(见下图)。手术历时约2小时,出血量极其微少约2毫升左右。

术后,患者左手麻木疼痛及灵活性下降等症状消失,术后第2天,患者独立下地行走无任何不适,术后5天患者平安出院,佩戴颈围继续他的演出生涯。“手不麻了,弹奏乐器的感觉一下子恢复到最佳状态。”患者激动地表示。
对于颈椎病是否手术,杜主任特别指出,由于颈椎间盘突出偏向一侧或两侧压迫神经根引起相应症状的疾病被称为神经根型颈椎病,约占颈椎病患者总数的60%左右,是临床最常见的颈椎病类型。主要症状表现为与受累神经根分布区域相一致的上肢疼痛、麻木、力量下降,伴或不伴手的灵活性下降。他建议,对于绝大多数神经根型颈椎病的治疗还是以保守治疗为主,如果经过3-6月正规的保守治疗无效且症状进行性加重,或症状严重影响患者日常工作生活时,应及时请骨科医生提供颈椎外科手术治疗。
供稿/骨科 陈宇飞
编辑/艾素 白雪
技术处理/魏育鸽