喵叔今天接到一个病例――猫隐球菌病,这是一种较少见的猫真菌性疾病。因此,大部分猫奴对其是比较陌生,特别是家养几乎不出门的猫咪很难感染隐球菌病,所以,喵叔今天就给大家科普一下,让广大猫奴了解了解。

猫隐球菌在兽医临床上主要是新型隐球菌和加蒂隐球菌两种,前者在全世界常发,后者仅仅发生在国外小部分地区。其存在于腐败的鸟粪中,特别是鸽粪,可能有些猫咪接触不到鸽子,则可能与常绿乔木有关,是一种"人畜共患病"。

鸽子粪便是传染源
对于长期室外遛弯或散养的猫咪感染的风险极高,猫咪嬉闹捕捉鸽子接很可能接触到此病。感染后猫咪会出现上呼吸道症状,隐球菌对上呼吸道有显著的亲和力,也会发生神经系统及皮肤的感染。
· 猫隐球菌感染的临床症状
前期患猫典型症状:
打喷嚏、鼻塞、呼吸困难、也常出现鼻分泌物;有些猫则会有单侧或双侧肉样团块从鼻孔突出,呈现鼻梁肿胀或脸部变形,甚至下颌淋巴结肿胀。

患猫鼻梁肿胀
中枢神经症状:
出现行为改变、癫痫、转圈、轻度瘫痪等症状。
皮肤症状:
皮肤及皮下组织可能出现单一或多发性结节样病灶,发生破溃而流出胶样物质。
眼部症状:
眼睛呈现扩张且无光反应的瞳孔,出现视网膜炎及出血和视神经炎。
· 猫隐球菌感染如何诊断?
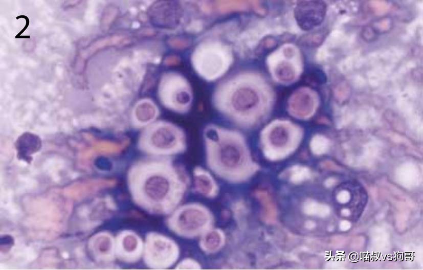
(1) 镜检(细胞学检查)
出现呼吸困难、鼻孔团块或变形等症状时,就需要对鼻分泌物或鼻梁肿胀物进行抹片镜检,一般常规染色就可以作出清除染色和确诊。

镜检下的隐球菌图
(2) 乳胶凝集试验(LAT)
检查血清或脑脊髓液中的抗原,是一种敏感且特异性极高的检验。
(3) 血常规、生化
加以支持以上检查,提高诊断确定性。
· 治疗方法
· 外科手术:
条件允许,必须先进行外科手术移除真菌团块或清除感染的组织。

· 抗真菌治疗:
氟康唑配合食物给药,可以增加药物吸收。氟康唑可以通过血脑屏障进入神经系统有效治疗神经症状,对泌尿道及眼睛穿透力也比极佳,肝毒性小,剂量30-50mg。症状缓解后再用药一个月。
· 两性霉素B
其对猫隐球菌神经感染症状效果极佳,需要配合5-氟胞嘧啶一起给药,对弥漫性病例有较好效果。
在治疗期间定期进行乳胶凝集试验检测,观察滴度是否下降或呈现阴性。

· 猫奴们如何预防?
· 避免散养猫咪或遛弯捕捉鸽子
可以有效减少猫咪接触到隐球菌病原体,如鸟粪便等。
· 定期体检
不仅可以对经常外出的猫咪检查出此病的感染,还可以整体了解猫咪健康水平。

· 提高免疫力
猫隐球菌感染是在猫咪抵抗力弱的时候,给猫咪一个健康的体况,猫咪免疫力高就不容易感染此病啦。
· 猫奴们自身体检
如果当自家猫咪感染隐球菌病时,猫奴们自己一定要体检并做相应治疗,毕竟这是"人畜共患病",猫奴们千万不要马虎。
【本期互动】
你家猫咪散养吗?
////////////
谢谢品读,下课
参考资料
[1] MclellanG, Gould D. BSAVA Manual of Canine and Feline Ophthalmology[M]. 2014.

本文为“喵叔vs狗哥”原创,谢绝任意转载
欢迎关注【喵叔vs狗哥】get更多养宠新知识