
从产品到精品,不仅需要经历实验室里的苦心钻研,更需要经历临床的千锤百炼,精雕细琢。而唯有精品,才能真正安全有效地造福医生与患者!

2019年9月,赛诺微走进享有“精工之国”美誉之称的德国,在当地6所知名的大学医院开展了为期一周的微波消融手术及产品演示。包括在慕尼黑城市医院(Hospital of the City Munich)等3家医院开展的7例微波消融手术,以及在海德堡大学(University Hospital Heidelberg)等3家医院进行的产品推介和离体演示。
依靠自主研发的创新技术,Dophi™ M150E微波消融系统有效解决了普通微波产品存在的消融不可控的临床痛点,实现了精准、一致、可控的球形消融效果。所有参与手术的医生都对Dophi™ M150E微波消融系统的临床表现给予了非常积极的评价,并对产品的持续优化迭代提出了宝贵建议。此次手术周,也大大增强了医生们对赛诺微产品的认可与信心,让众多欧洲专家感受到,赛诺微出品,必是精品!
此外,凭借优异的临床表现,手术周结束后不久便有三家参与本次微波消融手术的医院购入了Dophi™ M150E微波消融系统,以此帮助医生开展更安全、精准、可控的微波消融手术,造福更多患者。

作为名列欧洲前五强中第一的国家,德国不仅拥有欧洲第一大医疗市场,还享有非常重要的学术地位。此次微波消融手术周上的优异表现,不仅为赛诺微进入对品质要求极为苛刻的德国市场打下了坚实的基础,更为赛诺微在全球树立“精工品质”的品牌形象做出了积极的背书。

消融周第一天,我们来到慕尼黑城市医院(Hospital of the City Munich),在这里进行了两例微波消融手术。慕尼黑城市医院是慕尼黑规模较大的综合性医院,年肿瘤消融手术达300多例(这在欧洲国家可不是个小数目了)。本次微波消融手术的主刀医生为Thomas Helmberger,Helmberger教授就职于该院的诊断和介入放射学、神经放射学和核医学系,曾为德国介入放射学会(DeGIR)的创始人和主席。Helmberger教授长期专注于肝脏和肝外肿瘤的介入治疗,包括肿瘤消融微创治疗。

Helmberger教授使用Dophi™ M150E进行手术
两例微波消融手术均在肝脏进行,病灶紧贴血管和胆管,手术环境非常复杂,手术难度系数极高。但是,得益于我们微波消融天线的专利反相位技术、精准控制技术以及全天线水冷技术,消融区域得到了很好的控制,由此有效实现了肝脏肿瘤的精准消融。结合影像资料我们可以看出,消融区域的圆率非常高,并且消融后毗邻病灶的血管与胆管几乎没有受到损伤。

术中影像资料
“这真是太不可思议了!病灶周围的血管与胆管在消融后几乎完好无损!” Helmberger教授对Dophi™ M150E微波消融系统的精准消融惊叹不已。
术后,Helmberger教授表示对本次微波消融手术的临床效果及产品使用体验都非常满意,并给与了优化建议。他评价我们的微波天线设计时说道:“天线穿刺性很好,针杆硬度适宜,在体内调整针尖方向时具有很好的力的传导性,手柄的持握感也很好。”

消融周第二天,我们走进德国UKR 雷根斯堡大学医院(UKR University Hospital Regensburg),在这里进行了两例肝脏肿瘤的微波消融手术。该医院的放射介入中心是位列德国前三名的肿瘤消融中心。主刀医生Lucas Beyer为该中心的负责人,他不但经验丰富,且技艺高超,是德国肿瘤消融领域的青年领军人物。

Lucas教授使用Dophi™ M150E进行手术
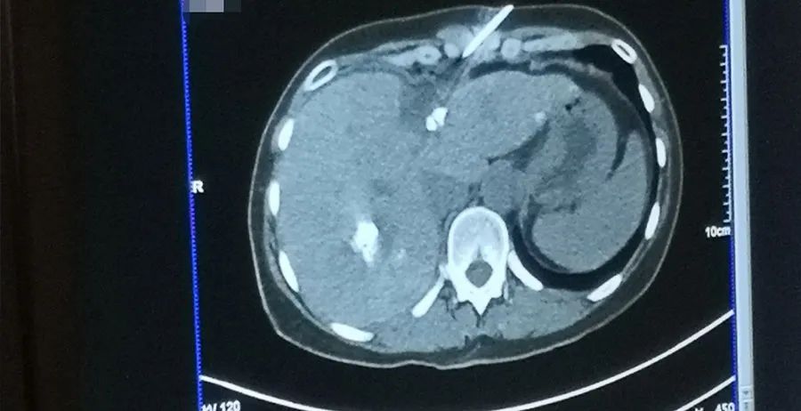
两例肝脏微波消融手术中,第一例为一个3.0cm的病灶,单针消融两次后顺利完成手术。第二例为肝部5个转移肿瘤,使用单针消融五次。“Super good!”,当Lucas教授在术后消融影像中看到5个大小几乎一模一样的圆形消融区时惊叹道!之后,他也不禁多次赞叹Dophi™ M150E微波消融系统带来的精准、一致、可控的消融效果。

术中影像资料
同时,他也指出Dophi™ M150E微波消融天线刚性适宜,针杆和针尖的穿刺能力非常好,更易控制穿刺方向以及精准穿刺到病灶位置,肿瘤的全过程可以得到精准控制。另外,手柄的握力很好,使用非常舒服。本次试用取得了很大成功!

消融周第三天,我们来到法兰克福大学医院(University Hospital Frankfurt)。该医院的放射介入治疗中心规模名列全德NO.1,年消融手术量在700例左右。法兰克福大学医院放射介入治疗中心规模大、实力强,聚集了多位德国知名肿瘤介入专家。该中心目前使用的微波产品品牌齐全,包括美敦力、AngioDynamics、以及HS AMICA等,中心对于产品的准入资格及临床效果都有非常高的评判标准。而赛诺微Dophi™ M150E微波消融系统能进入这样一流的医院进行临床试用,本身就是对赛诺微产品巨大的信任与肯定!

微波消融手术中
当天,Tomas Vogl教授主刀,使用Dophi™ M150E微波消融系统高效地完成了三例肝脏微波消融手术。“Very nice!”, Tomas Vogl教授在完成三例手术后这样评价道。即使与其他主流国际品牌进行“针”锋对决,我们的消融效果及使用体验也都是出类拔萃的,由此也受到Tomas Vogl教授和整个手术团队的一致好评。

术中影像资料
除肯定微波产品精准、一致、可控的消融效果外,Tomas Vogl教授还特别指出,Dophi™ M150E微波消融系统在消融时,病人的疼痛感比他使用的其他产品要低很多,患者的耐受度很不错。针对这样的临床反馈,我们也会在以后的临床应用中不断验证。

消融手术周第四天,我们来到德国海德堡大学医院(University Hospital Heidelberg),进行微波产品展示及离体演示。600多年前,德国最古老的大学——海德堡大学成立,它在生命科学领域的实力誉满全球,医学专业尤为突出。海德堡大学医院是目前欧洲最大、最先进的医疗中心之一,每年吸引大批来自欧盟乃至全球的患者。作为全德前五的先进医疗中心,它在各个领域按照最高的国际标准为患者提供最好的医疗服务。

赛诺微在海德堡大学医院进行微波产品演示
而该院的放射介入中心实力也享誉全球,每年肿瘤热消融病例数可达500例。主刀医生Chang教授对于Dophi™ M150E微波消融系统的离体消融结果非常满意,积极肯定了我们产品精准一致、安全可控的独特优势。同时,他也特别指出,“Dophi™ M150E微波消融天线的针尖和针体的强度非常适应,穿刺性很好!”。他向我们表示,“希望可以尽快安排临床试用,期待可以在海德堡大学医院引入赛诺微微波消融产品,帮助更多的医生和患者。”

消融周第五天,我们来到位于德国巴登—符腾堡州的SLK-海尔布隆医院(SLK-Hospitals Heilbronn GmbH)和卡尔斯鲁厄市医院(Karlsruhe City Hospital)进行了产品推介和演示。参与本次培训的医生有Philippe Pereira等知名专家。Philippe Pereira是欧洲非常资深的介入放射专家,长期致力于肿瘤治疗领域的研究,现任SLK-海尔布隆医院微创疗法和核医学诊断放射科主任,并担任2020年欧洲肿瘤介入大会(ECIO)副主席、欧洲心血管与介入放射大会(CIRSE)成员等。
产品介绍会上,赛诺微向与会医生详细介绍了产品拥有的多项专利技术,以及独特技术带来的安全可靠的产品性能,得到医生的一致认可与赞赏。此外,医生们都对产品简约大方的外观和界面设计表示喜欢。会后,专家们迫不及待地亲自操刀演示Dophi™ M150E微波消融系统。在紧随本次消融周之后于西班牙巴塞罗那举行的CIRSE展会上,Philippe Pereira教授及多名专家特地来到赛诺微展位参观交流,进一步了解赛诺微肿瘤消融产品。

Philippe Pereira教授在赛诺微展台参观交流
赛诺微在本次德国微波消融手术周中收获颇丰,除了“100%积极反馈“和订单,我们更大的收获是医生们对赛诺微产品进行的细致入微的使用评价和优化建议。这些收获将鼓励我们继续前行,继续坚持自主研发创新,坚持精工品质,不断打磨产品与服务的每一个细节,更好地服务全球的医生和患者!
赛诺微目前在肿瘤消融领域的产品包括Dophi™ M150E微波消融系统、Dophi™ R150E射频消融系统和Dophi™ N3000陡脉冲治疗系统。未来,赛诺微将继续探索并引领全球肿瘤消融技术的发展,为全球提供更先进、更完整的肿瘤消融方案,实现肿瘤消融治疗的精准化、多样化与可靠性。