
“时间就是生命”,急救医学突出一个“急”字,需要医院内部的多学科协同,更需要院际之间特别是上下级医院之间的协同。我市进一步整合全市急救资源,开展急诊急救多学科和院际协作,重点打造了脑卒中中心、胸痛中心、创伤中心、新生儿救治中心和高危孕产妇救治中心等“五大中心”,以急性胸痛、急性脑卒中、创伤和高危孕产等高发病率、高死亡率、高致残率急症为重点,建立多学科协作、多部门联动、一键启动快速响应的急诊急救体系,急诊急救能力进一步提升。
沈医二院作为我市急诊救体系重要一员,在脑卒中、胸痛和创伤病人救治中发挥了重要作用。日前,在一起车祸造成的伤员救治中,多学科通力合作,再次成功救治一名重型闭合性颅脑损伤、多处肋骨骨折、肺挫伤等复合型危重创伤患者。
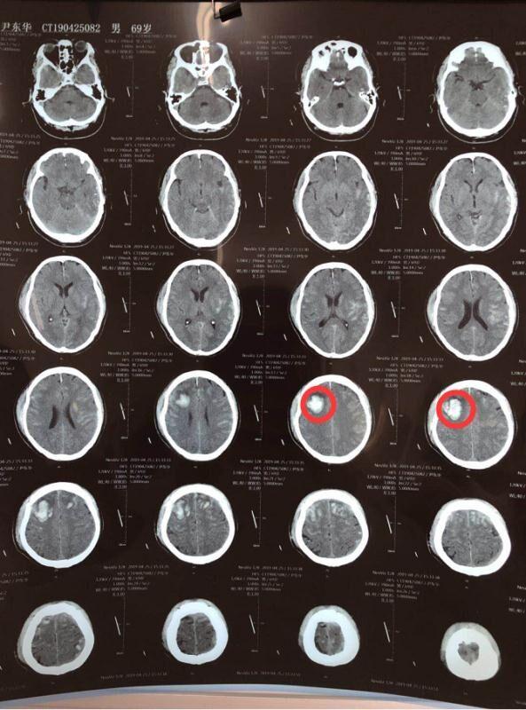
事发当日上午10点20分左右,68岁的王先生在一起车祸中导致重伤,头右颞枕部包块,多处肋骨骨折,被紧急送至沈阳医学院附属第二医院和平院区急诊科,此时距车祸发生已过去2小时,到院时王先生已出现神志恍惚、源于模糊不清等症状,立即开通创伤急诊救治绿色通道,神经外科张沛光主治医师迅速做出判断,紧急为其急行头、胸部等CT检查,检查结果提示颅内出血进行性增加,神经外科孙冬弢主任会诊后,明确诊断为重型闭合性颅脑损伤;弥漫性轴索损伤;双侧硬膜下血肿;双侧额叶、左顶叶、左颞叶、脑干多发脑挫裂伤;外伤性蛛网膜下腔出血;双侧额颞顶骨骨折;肋骨骨折;肺挫伤;低血容量休克;胸腔积液等。随着时间一分一秒的过去,患者已处于深度昏迷状态!患者病情危重,随时有生命危险,需立即手术治疗!

头部CT术前

头部CT术后
于是,在孙主任主持下,联合急诊科、神经外科、普外肿瘤科、骨外科、心胸外科、CT室、超声科等多学科开展了紧急救治,一切准备就绪后,晚20:30分为患者行左额颞及右额扩大冠切开颅,右额叶脑内血肿清除术,双侧硬膜下血肿清除术,右额去骨瓣减压术,术后针对患者出现低血容量休克,普外科、心胸外科、骨科及超声科会诊,明确低血容量原因,为患者输血1000ML。经医护人员一夜的通力合作,患者最终生命体征平稳,术后安返ICU病房。

此次多学科成功抢救患者,充分体现了沈医二院抢救创伤急危重症患者的实力和技术力量。成功的经验,在于对患者病情的准确判断、得力的抢救措施、及时的抢救、创伤急救中心各专业学组的密切配合、通力合作,对涉及多脏器损伤的程度、风险的充分评估及讨论,制定适合患者个体化的治疗方案等,既抓住主要矛盾,又不顾此失彼。对创伤急救医生来说,面对急危重患者的抢救,争分夺秒,掌握"先救命后治病"的基本原则,将为患者创造有利手术条件,为患者提高利益最大化。

供稿单位:沈阳医学院附属二院
