“只是在人群中多看了你一眼
再也没能忘掉你侧脸”

侧颜最能看出一个人的五官立体感
好看的侧颜,让人移不开眼睛
嘴型和下巴是面部的焦点
对颜值影响指数高达88%

打开UC浏览器 查看更多精彩图片
人家的侧颜如沐春风
而你的侧颜可能
上唇外翻
下巴紧绷
看不出下巴的弧度和曲线
……
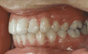
牙齿影响脸型的具体表现
平时我们留意到一些朋友的脸型好像并不怎么顺眼,很多人误以为是天生的颜值问题,其实关键在于牙齿状况,一起来看看以下例子。
龅牙—导致“嘴凸”
龅牙是最为常见的,随着年龄增长龅牙会越来越凸出,不仅影响自信,还会导致嘴凸、嘴唇无法自然合拢,影响面部曲线,通过矫正就可以很好的解决。

牙齿拥挤—导致“没下巴”
重度牙齿拥挤,不仅让人笑容不自信,而且影响口腔清洁问题,易发引发口腔疾病,还会影响牙齿发育,导致下巴发育不足,形成“没下巴”。矫正牙齿不仅可以让面部更美观,还可以让下巴显现出来。

地包天—易形成“月牙脸”
下排牙齿覆盖上排牙齿,俗称“地包天”。严重影响面容美观,导致吃饭,咀嚼功能下降,加重胃肠负担,还可影响发音,影响身体健康。这种情况越早矫正效果越好。

偏侧咀嚼—脸形不对称
由于一边的牙齿龋坏或缺失、或者是咬合偏颌等原因,长期用另一侧吃东西,导致双脸型不对称,严重影响美观和心理健康。若发现自己有偏侧咀嚼的习惯,应及时改正。

牙齿矫正改变侧貌的原理
人的侧面样子的主要区别集中在下 1/3,即鼻部、唇部以及颏部的相互关系,就能利用牙齿矫正改变!

通过调整牙齿的位置与排列,影响临近的嘴唇脸颊的肌肉和软组织形态的变化。从侧面来看,原本外凸或内凹的嘴型得到改善,鼻唇沟和颏唇沟角度也得到了改变。

在矫正过程中,让下巴更突出、上翘,视觉上会有下巴变尖的感觉,获得了堪比 “整容” 的效果!
看完以上的介绍,如果你还在疑惑自己是否牙齿外凸? 教你用个简单的方法判断!

将鼻尖和下巴连一条直线,如果嘴唇突出,碰到手指,就能大致判断你有牙齿外凸……
虽然牙齿矫正无法让大饼脸变锥子脸,但确实能让脸型更漂亮! 而且牙齿矫正技术也在不断发展,帮助你悄悄变美,完美侧颜杀,指日可待~