脑梗死在大部分患者眼里面是一个典型的内科疾病,他是不需要手术的,只需要通过药物治疗就可以。
这种观点是片面的。
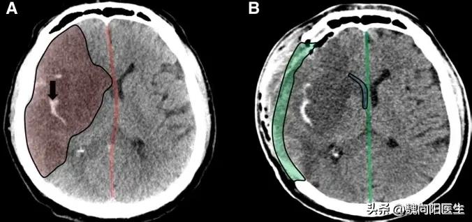
有一种脑梗死是叫做大面积脑梗死,由于大面积脑组织坏死之后,出现严重的脑水肿,引起明显的占位效应,压迫正常脑组织出现恶性循环。
具有占位效应的大面积脑梗死预后最差,占大脑半球脑梗死的2%~8%以及小脑梗死的4%~25%。

大面积脑梗塞的危害
恶性脑水肿,大面积脑梗死发生之后会引起严重的水肿占位效应,有可能加重成脑肾,甚至死亡。
出血转化风险增加:大面积脑梗死之后,由于血管再通及血脑屏障的破坏,容易导致再灌注后出血。
锯掉头骨的目的
为了减轻恶性脑水肿对于正常脑组织压迫及颅内压增高的症状,对于出现脑疝的患者,及时的纠正脑疝症状。医生往往需要把患者的头盖骨去掉,让多余的压力向外充分释放,从而保护正常的脑组织,降低颅内压。
总之医生锯掉患者的头开骨就是为了降低颅内的压力,待患者脑水肿消退后,保住患者的性命,尽可能的减少正常脑组织的继发性损害,待病情稳定之后,择期行颅骨修补术。

@魏向阳医生#大面积脑梗死# #去骨瓣减压术#
参考: 中华医学会神经外科学分会, 国家卫健委脑卒中筛查与防治工程委员会, 海峡两岸医药卫生交流协会神经外科分会缺血性脑血管病学组. 大面积脑梗死外科治疗指南 [J] . 中华医学杂志, 2021, 101(45) : 3700-3711.