
磁共振成像序列繁多,而且新的磁共振成像序列又层出不穷。那么作为磁共振技师,在日常工作中深入研究各磁共振成像序列,并且拓展其临床应用将面临很大的挑战与机遇。磁共振成像涉及内容广泛,主要有数学、物理、工程、医学、生物学、计算机、信号处理等,需要磁共振技师拥有夯实的磁共振成像基础理论知识。同时理论结合实践,每一台磁共振成像仪出厂都配备了丰富的原始序列,给操作技师提供了丰富的可实践操作的机会。每一个检查序列都有其特殊之处,如果能将每一个序列都进行深入研究、剖析,又何愁学不好磁共振。正如古语有云:熟读唐诗三百首,不会作诗也会吟。研究透了一个序列,那么调整优化参数更是游刃有余,继而寻找能否为此序列做应用推广,应用于其他检查部位或其他疾病的检查。
By the way,由于此公众号只有我一人维护,而且现在个人时间十分有限,时常感觉力不从心。其实我很想看东西、写东西,并分享出来,而且推出了好多栏目,这样更给自己增加了好多压力。由于我不经常更新,时常感觉内心很愧疚,对不起大家的关注。好多其他的公众号,都非常厉害,首推的就是懋式百科全书,相信不用说大家都知道;还有老王讲技术(每两周一更),都是些关于磁共振设备相关的;这两个都是飞利浦的王牌培训讲师和工程师。还有西门子培训讲师的XI区(主要是CT方面),GE的天师论道等。医院个人的有志存先生等。还有好多其他医院个人的,但好多好像都不更了,说明维护公众号还是很难的啊。从一开始的翻译《The basics of MRI》到《精读磁共振成像指南》,可谓是没有一个写完的。精读系列在写的时候,一开始是设备相关的,刚好那时老王讲技术的老王也在出相关系列,感觉作为搞技术的我写的太low了,就一直没提起勇气写。慢慢地,等忙完五月,我也要给自己多点动力去看更多的东西,把未完成的事继续推进下去。先不说几天出一篇,但最起码要天天时常去写,日积月累也就能发出东西了。
好了,今天要分享的就是我打算如何去研究一个序列的。
首先,我把我们医院Philips Achieva 3.0T磁共振的厂家序列全都截图下来,打算一个一个过,序列之丰富真可谓是要啥有啥(这是老款机型了,所以新的序列不是很多,但足够研究了)。
随便挑了一个序列,就是Head->Brain->T1_weighted->T1W_IR序列。先把它的序列截图贴上来让大家看下。
<序列介绍>


<info page信息栏>

<initial选项卡>

<geometry几何选项卡>


<contrast对比项卡>


<motion运动项卡>

<dyn/ang动态/血管选项卡>

<postprocessing后处理选项卡>

还有<offc/ang偏中心/角度选项卡>、<conflicts冲突选项卡>。
我将实施八步走战略来研究磁共振成像序列。
第一步: 就是详细阅读序列介绍信息。它不仅告诉你这是什么序列,干什么用的,还告诉你为有的参数为什么这么设置,以及相关设置参数的技巧和提示。从中能够学到很多东西。


第二步: 就是看对比选项卡,因为它是序列的灵魂,从中抽离出这个序列的结构。

首先,它主要是反转恢复序列IR,并且不是单纯的IR,而是快速反转恢复序列TIR。好,现在我们先来看下IR和TIR,《磁共振成像技术指南》上讲的很清楚。
IR序列简图(省略空间编码示意)

如果用公式来描写就是:

IR序列的信号表达式如下:

TIR序列结构如下图(以此序列TSE factor=5为例):

下面结合序列参数进行探讨(每一个参数,在帮助文件中都能找到很详细的说明,一定要看!它是学习的不二法宝。tips: 用鼠标左键激活想要了解的参数,敲击F1键就会直接弹出来或者去help文件中搜索。比如想要了解IR delay):


(1)扫描模式是MS,多层,即多片技术,节约整体扫描时间;
(2)扫描技术IR,即序列结构主体是反转恢复序列;
(3)快速成像模式TSE,即快速自旋回波,同时采用多激发,那么就有了下面TSE factor的参数;
(4)快速自旋回波加速因子=5,为什么设置成5?因为这是T1加权序列,那么回波链就应该小点,以防止引入过多的T2弛豫污染,最好3~5。
(5)K空间填充顺序选择为low_high模式,为什么?这在序列介绍里说了,是为是获得短的有效回波时间。因为我们做的T1加权,那么有效TE当然要短。

(6)TE=15ms,已经足够获得较好的T1加权了。但为什么不在此序列其他参数允许的情况下设置成最短呢,即TE=shortest,可以吗?
(7)重聚翻转角调控,为什么设置成120degree呢?序列介绍里也有提到,说是减少SAR值,以及减轻磁化传递效应。在这里就是信噪比对比度的考量了。180度和120度重聚脉冲得到的信号,其对比度和信噪比都会有影响的。
(8)TR设置成最短,在序列介绍中也有说到,说设置最短得到的TR已经足够弛豫了,可以在info page中看到Act. TR=3374,已经很长,对于反转恢复序列来说足够了。

(9)反转恢复延迟TI=400ms,为什么?!在这个序列中,这是一个可以说是最重要一个参数。它决定着颅脑灰白质的对比,而且在序列介绍和postprocessing选项卡中可以看到,此序列成像的最终图像表达是想用实图来做图像。



(10)softone 因子=3,softone是飞利浦的一种降低听觉噪声的技术,在序列介绍里也有提及。
因为此序列主要的就是这个对比选项卡,如果有做腹部、心脏等那么motion选项卡就很重要;如果是做血管或动态时dyn/ang选项卡就很重要。在(9)中提到是模图与实图,那么什么是模图与实图呢?这个先不慌说,我们先来了解下颅脑灰白质的一些固有属性,即我想说的第三步。
第三步: 了解所要观察对象的本征属性,如弛豫时间,水脂含量,自由水结合水比例,如果是血液,那么就得搞清楚其速度大小和方向等,如果是增强检查,对对比剂也得要了解,组织结构、磁化率等等,即一切与此结构组织相关的性质。当然,这些性质,有的是与B0场强度相关的,选取时要注意。
此序列,是在颅脑检查包里的,那么它首先就是用来对颅脑进行成像的(能不能用来做其他部位的检查呢?其是T1加权,能用于增强吗?如何将此序列作更多的推广应用?),来获得灰白质对比。那么我们先来研究下颅脑的一些本征参数。

查阅相关资料,获得了颅脑灰白质、CSF以及皮下脂肪的T1弛豫时间。那么就可以根据这些参数作出其反转恢复纵向弛豫曲线了,如下图:

我们看到,脑白质的弛豫稍快于及灰质。脂肪最快,CSF最慢。下面我们需要将此观察对象的本征参数曲线与序列相结合,来更全面地来看下各参数的设置以及组织对比是如何被获取的。即 第四步 。

经过研究,TI=400ms的意义就是,当脑白质过零时,施加90度激励脉冲采集信号。这里400ms只是一个经验值,不是很精准的。但为什么是白质过零时采集呢?稍后讲。我们先来看看,这个白质过零时间到底是多少。

根据信号强度公式,可大致精确地算出TI时间,但其值是与TR相关的。如果TR=无穷大,那么过零点就是组织的T1值的ln2倍。但实际中TR并不可能无穷大,那么就可以用上式进行计算。下面来看下,此时采集的组织的对比是如何映射成图像对比的,即模图与实图。

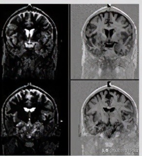
模图采集,只关心矢量的大小,不关心其方向(即是正矢量还是负矢量),那么对应到灰阶时就是,量的绝对值越大,越白;绝对值越小(即越接近于零矢量),越黑。我们对照模图M来看,在脑白质过零时采集,那么由于脂肪比脑白质弛豫快,那么其矢量已经恢复到正方向且有较大的值 ,在M图上表现为较高信号(亮);脑灰质由于比脑白质弛豫慢,那么采集时其仍在恢复,但其还没有达到零,仍有较少的负矢量,那么在M图上表现为稍高信号(灰);脑脊液由于拥有很长的T1值,那么其弛豫是非常慢的,采集时,其仍拥有很大的负矢量,那么在M图上就表现为高信号(亮);但由于采集时脑白质刚过零,那么其矢量为零,在M图像上就对应最黑,跟空气差不多(背景是黑色),即无信号。
实图采集,不仅关心矢量的大小,也关心其方向(即是正矢量还是负矢量),那么对应到灰阶时就是,最大正矢量对应最白;最大负矢量对应最黑,零矢量对应正中间的灰色,即背景为灰色(空气是没有信号的)。我们对照实图R来看,在脑白质过零时采集,那么由于脂肪比脑白质弛豫快,那么其矢量已经恢复到正方向且有较大的值,在R图上表现为较高信号对应到灰到白的灰阶,即亮白;脑灰质由于比脑白质弛豫慢,那么采集时其仍在恢复,但其还没有达到零,仍有较少的负矢量,那么在M图上表现为较低信号,对应着灰到黑的灰阶,即灰黑色;脑脊液由于拥有很长的T1值,那么其弛豫是非常慢的,采集时,其仍拥有很大的负矢量,那么在R图上就表现为更低的信号,趋于黑色;但由于采集时脑白质刚过零,那么其矢量为零,在R图像上就对应灰色,跟背景一个灰阶。
好了,实图与模图已经搞清楚了。那么我提个问题,我们常规的颅脑T1反转恢复序列一般都是采用的模图M,那么其TI反转时间是多少呢?能根据信号公式计算出最优时间吗?还有就是研究过了这个序列,就会立马想到STIR,FLAIR序列跟这个不是一个大家庭的吗?可谓不攻自破(“不研即会”)。接着,就会想到进阶序列,双反转、三反转等。
第五步: 把序列激发的时序图画出来,即每时每刻机器都在做什么?!是在寻找中心频率?调谐?施加匀场?施加饱和脉冲?施加反转脉冲?RF射频激发?施加流动补偿?施加扩散梯度?施加相位编码?施加扰相梯度?施加射频扰相?采集信号?还是就是等待时间?……说白了,就是机器的射频与梯度施加的时序关系及每一次施加的幅度大小与持续时间。有人把磁共振比作一架钢琴,把序列比作一曲谱子,那么不同的谱子就会弹奏出不同的乐章。
在哪看这些参数呢?在info page中有所提及:

TSE es / shot(ms)是什么概念呢?即回波间隙为15ms,shot为5个聚焦脉冲总共持续的时间。那么就是15ms×5=75ms。平时在表述序列结构图时,我们经常不考虑RF和(或)梯度施加的时间,但其实也是有的,而且有时对于序列参数的调整会起到一定的影响。
第六步: 细细研究所有参数,重要的、不重要的都有深入探究下。比如,此例中还有好多其他参数也很重要,如acquire during delay,water-fat shift,CLEAR。
第七步: 运用磁共振图像三角调整优化参数,根据不同的病人配合情况,不同检查目的,不同的检查方法,不同的年龄组、不同的组织对比、不同的疾病组等等,根据需求合理设置参数。
