“吸毒减肥”这个谎言
在戒毒康复案例中并不少见
多少年幼无知的男女
为追求“美丽”误入歧途
当发现上瘾时却为时已晚

今天这篇文章,就要用真实的图片
为你揭露“吸毒减肥”的真相
▽▽前方高能▽▽
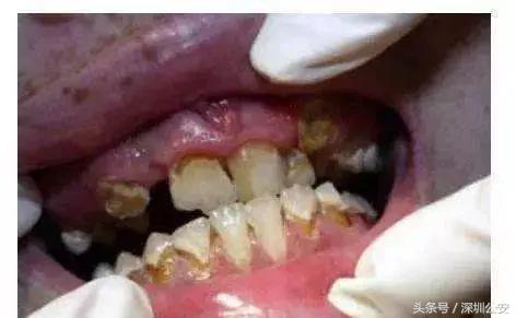
牙齿

观看《湄公河行动》的时候,毒贩的一口烂牙给小编留下了深刻的印象,*品毒**之所以会毁坏人的牙齿和口腔,这是因为:
①*品毒**可对口腔粘膜和牙齿造成多重损害,*品毒**直接刺激上呼吸道粘膜形成粘膜溃疡,造成口腔内菌群失调,出现牙龈出血等严重的炎症,进而导致牙龈萎缩、牙齿松动,严重影响咀嚼功能。长期使用*品毒**还会直接导致牙齿大面积变黑或是缺损脱落。
②吸毒还会刺激口腔黏膜上皮细胞异常增生,导致黏膜角质层逐渐增厚,对骨骼系统、免疫系统都造成危害,导致牙周病发生几率特别高,增加口腔感染的风险,还会增加罹患口腔癌的机会。
所有*品毒**都会对牙齿造成不同程度的损害
其中以*毒冰**的危害最为突出
一旦吸食*毒冰**
健康的牙齿只需3个阶段
就会变成“*毒冰**牙”!
第一阶段
龋齿、口臭、牙龈红肿
第二阶段
嘴唇上出现伤口,牙龈开始退缩,龋齿呈严重趋势
第三阶段
龋齿发展到牙龈边缘以下,牙齿出现缺失,嘴唇的伤口越发明显
具体而言,俗话所说的“*毒冰**嘴”
主要有以下症状:
1、口干、龋齿 ——唾液作为缓冲液,可以稀释我们饮食中的酸类。*毒冰**可抑制唾液分泌,造成口干,并减少唾液对牙齿的保护作用,从而造成龋齿。
(图片高能,请双击查看)

2.牙周病 ——吸毒是牙周病尤其是重度牙周炎的高危因素,吸毒者自身免疫功能下降,导致牙周病患病几率是不吸毒人员的10倍以上!
(图片高能,请双击查看)

3、口腔癌 ——吸毒还会导致鹅口疮、口腔癌等。吸毒会导致口腔干燥,也会增加口腔感染的风险,易发生口腔黏膜疾病,比如鹅口疮。如果继续沉迷于吸毒的话,患口腔癌的几率大大增加!
(图片高能,请双击查看)

不仅是牙齿
吸毒还会毁坏吸食者的皮肤和五官
▽▽前方继续高能▽▽
皮肤

(明星萧淑慎吸毒前后的对比照)
不同种类的*品毒**会对人的皮肤造成不同的伤害,详细来说:
1、长期吸食*毒冰**会导致人体内毒素堆积,导致皮肤上长有“冰疮”,严重时会溃烂红肿发炎,有白刺;
2、吸食*啡吗**的瘾君子在使用静脉注射时会在手、手臂、小腿脚部等发现颜色较暗的注射痕迹;而肌肉注射则会在注射的皮肤上永远留下吸毒的纪念——瘢痕;
3、*粉K**吸食者背部和后颈会长出痕痒的毒疮,俗称“茄疮”;
4、*卡因可**吸食者的皮肤有虫行蚁走感,有针刺样疼痛,万般痛苦下吸食者不惜用刀切开皮肤取“虫”,而留下疤痕累累(故又命名为“*卡因可**虫”)。如果*卡因可**中混入了左旋咪唑成分,则会引起吸食者的皮肤发黑,老化死亡,甚至导致面部皮肤腐败脱落。
(图片高能,请双击查看)

为了警示年轻人不要接触*品毒**
美国戒毒网站Rehabs
把一组瘾君子吸毒前后的照片做成了gif
直观地呈现了他们吸毒前后的容貌变化
光是看到他们松弛、长满斑点的皮肤
就能感受到一个个生命正在凋零……





鼻子

(图为英国一名吸毒男子,他因过度吸毒导致鼻子坍塌。)
不少吸食*粉K**和*卡因可**的瘾君子都会选择用鼻腔吸食*品毒**,这种吸食方式最先毁坏的,就是吸食者的鼻子。
具体而言,*粉K**会带来长期的不良刺激,造成吸食者鼻腔内血管脆性增加,组织变性,吸食者呈现持续流鼻涕的外部特征。此外,他们的鼻子每天都会保持“一吸一吸”的状态,仔细观察,他们的鼻子旁边可能还会残留*粉K**粉末。
而*卡因可**吸食者的鼻粘膜部分组织通常会坏死或溃疡,也由于*卡因可**对鼻粘膜长期形成刺激,吸毒者会不停地挖鼻子,导致鼻中穿孔甚至坍塌。
最著名的一个案例,是英国已故名媛塔拉·帕尔默·汤姆金森曾因吸毒,导致鼻中隔塌陷,不得不接受整形手术,直到她在2017年去世前,外媒一直把她不良的健康状况归因于过往的吸毒经历。

◆ ◆ ◆ ◆ ◆
除此之外,吸毒人员还会因为长期吸食*品毒**,导致身体长期缺乏营养,呈现身材消瘦、脸色灰黄、体质衰弱、面青唇白、未老先衰、头发早白、声音哑颤等生理特征。
为了写这篇推送
小编鼓起了勇气去为大家选配图
当看到这一张张触目惊心的照片时
小编却心生恻隐……
这些照片的主人当初在接触*品毒**时
也许是听信了“朋友”的误导
又或者只是出于好奇的心态,一时贪玩
但这毁坏的容颜,却会伴随他们一生
甚至夺去他们的健康和生命