皮肤疾病,种类繁多,大约三四千种,每个人都或多或少的有一种或多种皮肤疾病。
皮肤科的疾病比较有意思,都比较直观,大夫需要练就一双“火眼金睛”,通过简单的望诊,有时候再加上一两句问诊,就能诊断出什么皮肤疾病,这是皮肤科大夫的基本功,得充分发挥望诊。
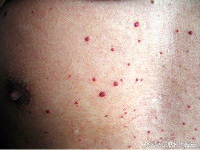
今天门诊上,遇到了一位中年妇女,她来看病的目的就是发现肚皮,后背上长出了“小樱桃”,大小跟麦粒儿似得。在今天肿瘤高发的时代,她担心自己得了皮肤肿瘤!
当然这个病,对于皮肤科医生并不陌生,不需要问诊,就能诊断。
答案很简单:樱桃样血管瘤,又名老年性血管瘤。
其实这种情况很常见,大部分人都曾长过或者见过,下面娜医生就简单为大家科普一下这种皮肤疾病:
老年性血管瘤,俗称“红痣”,常呈卵圆形或圆形,直径0.5~0.6mm深红色丘疹,质软,高出皮面,呈半球状。数目多少不等,在成年早期即可开始出现,随年龄增长而增多,可能70岁的人或多或少都出现一些。

红痣只发生于老年人吗?
答:尽管“红痣”又称为“老年性血管瘤”,但也可发生于青年,甚至青少年。数量的多少和出现年龄的早晚有个体差异。
红痣长在身体什么部位?
答:最常见于躯干和四肢近端,但其他部位也可以见到。
红痣不断增多有什么危害吗?
答:红痣的数量随年龄增长而增多,就像“老年斑”一样,到了一定年龄,多数人都会有,为一种正常生理现象,不用担心。
红痣需要治疗吗?
答:因为红痣不影响健康,不传染,不会恶变,所以一般没必要治疗。如果觉得影响美观,可以通过激光、冷冻或电凝等治疗,效果非常好。