来源: 影像时间 01
NCP影像概述
Fight 2019-nCoV
根据现有临床资料, 大部分新型冠状病毒的临床表现有相对典型的发热及下呼吸道症状, CT 早期多发性磨玻璃病变和后期肺实变。
CT 检测的优势是立竿见影,马上可以做出判断。对疾病的严重程度和发展可以有个直观的影像资料。其局限性是:
1. 与其它肺部感染有一定程度的重叠;
2. 早期感染可能沒有明显的肺部影像改变;
3. 影像诊断标准有待进一步完善。
影像学检查方法
X 线
- 诊断敏感度、特异度低;平片漏诊率高,病变初期多无异常发现
- 对磨玻璃病变不敏感
- 床边胸片对重症患者有价值
- 病变严重时表现为双肺弥漫性多发实变影
胸部 CT 平扫
- 首选影像学检查方法
- 薄层肺窗图像(1.0-1.5 mm)更有价值
02
病例实战
Fight 2019-nCoV
病例 1 男性,78 岁,发热 2 天
CT 示:两肺近胸膜下多发磨玻璃影;内见支气管充气征

病例 2 男性,30 岁,门诊就诊,主诉不详
右肺上叶尖段病变为实变影,余肺野内病变呈磨玻璃样改变

病例 3 女性,54 岁,发热
两肺野外周带多发点片状渗出、实变影,边界欠清,周围见晕征

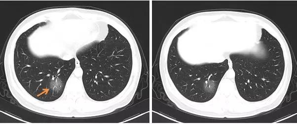
病例 4 男性,34 岁,发热
右肺下叶后基底段单发磨玻璃样病变

病例 5 女性,35 岁,发热待查
左肺上叶斑片状渗出、部分实变,内见支气管充气征

"
上述病例均为新型冠状病毒肺炎确诊病例
"
03
征象复习
Fight 2019-nCoV
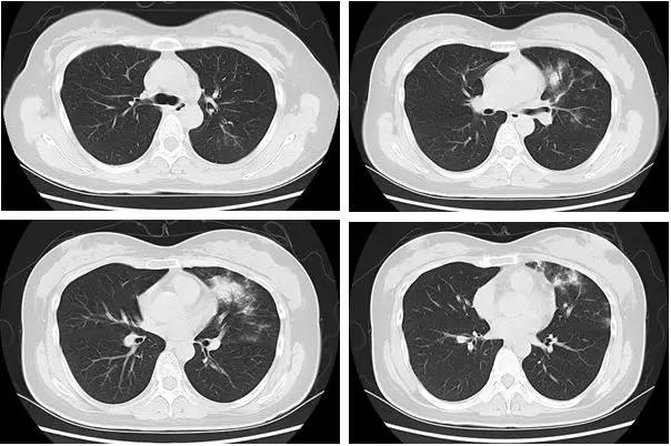
最为典型和有特征的早期表现:
胸膜下斑片状磨玻璃影,多发、单发都可以;其纹理可呈网格样(铺路石征)
CT 诊断要点
1. 早期病变为局部斑片状亚段分布为主;
2. 进展期多个累及多个肺叶,并出现部分实变;
3. 重症期双肺弥散性实变」白肺」 ;
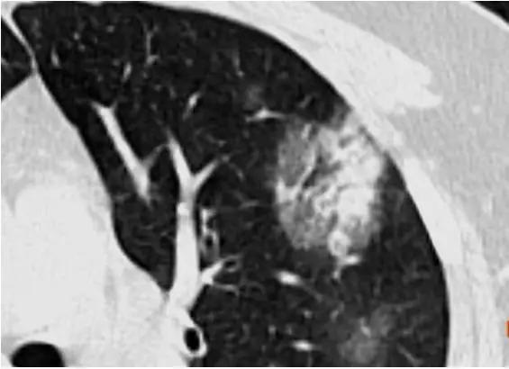
下面是几个新冠肺炎所具有的征象:
混合磨玻璃及晕征


支气管充气征

形态:扇形、球形

【版权声明】本平台属公益学习平台,转载系出于传递更多学习信息之目的,且已标明作者和出处,如不希望被传播的老师可与我们联系删除