作为一个66岁的老人,面临每一个人老了都会遇到的牙齿问题,
我退休前是中医附一的一名医生,所以也认识一些牙齿的医生,


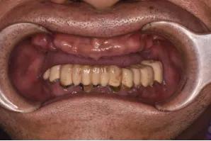
上面牙齿做了烤瓷桥冠,有根尖炎还缺了好几颗牙
牙齿已经在认识的牙医那里拔了
虽然我也已经退休,但是职业病还是改不掉,
特别是这个牙齿影响着我后面的日常生活,
自己问了一些老友,也让女儿帮忙上网查了一下
对比下来更倾向牙祖口腔的技术和性价比较高
针对我这个情况,牙祖口腔陆益兰院长给我这样的治疗方案:
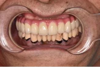
因为我上半口的牙已经在朋友那里拔掉了,就先给我种植上半口,采用的“牙立得”技术,当天种牙就当天可以戴上临时的牙,看起来不会丑
这个方案很是满意,之前做的牙冠桥先用着,省钱省力,性价比很高
虽然年纪大了,但不代表我不爱美,人老心不老呀

手术后不影响正常饮食,不然让我整天吃流食我可受不了

出门和老友下棋没有牙讲话都讲不清这不让那几个老家伙笑话我嘛
这牙齿我每天刷牙照镜子都要臭美一会,我家那老太婆对我这行为是没眼看了哈哈
给我做手术的是牙祖口腔井湾子院院长,院长自身也比较专业毕业于湖南中医药大学,
从事口腔临床工作多年,曾进修于武汉大学口腔医院,年轻有为啊
效果我也是比较满意的,现在都是年轻人的时代喽
虽然不是多大的手术,但还是很欣慰咱们医学技术的发展,着实是解决了很多的麻烦和疾病。