道理大家都知道,也是至理名言——坚持就是胜利,生命更是如此,这是儿女的坚持,这是母亲的坚持,生命因为坚持而更加精彩!
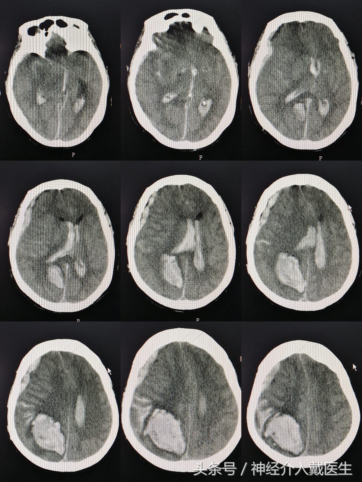
那是发生在去年12月23日晚上十一点多,随着救护车的一阵紧急呼叫,一名重型脑出血患者被送往重症监护室。谢某,女,77岁,因为突然神志不清1小时,呕吐2次,小便*禁失**入院。既往高血压病史20余年,血压最高220/120mmHg,冠心病10余年,平时低于一般活动即感胸闷,气促。入院时候血压230/120mmHg,双侧瞳孔已经散大,头部CT:右侧顶叶脑出血,脑内血肿,右侧额颞顶部硬膜下血肿,蛛网膜下腔积血及脑室出血,脑疝。

胸部CT:动脉粥样硬化,左心增大,肺部感染,心电图:偶发房早,多发室早,凭经验,脑内出血量这么大,超过70ml,这么快就发生脑疝的,人基本上难救的,向家属交代病情的危险性,做手术清除血肿和去骨瓣减压上唯一可能延长生命的方法,但是因为基础病变多,颅内出血多,手术风险是相当大的,可能死于手术台上,最好的结局就是植物人。病人的女儿是个老师,听我们说了之后,坚决要求尽最大努力抢救,并且和远在深圳的弟弟电话商量后,更是态度坚决,不管什么结局家属都能够接受,留下一个躯壳也行,并且一再保证,即使病人死了,也不会怪医生,让医生不要有后顾之忧。经过一个晚上的手术后,病人安全的下了手术台,

又经过多少个日日夜夜医生护士的努力,生命体征趋于平稳,目前已经转入普通病房,因为当时脑出血后导致的脑损伤太重,最近复查的头部CT,几乎满脑子都是缺血性改变。

虽然病人现在仍然没有苏醒,但是病人家属对我们还是非常感谢的。现在仍然是昏迷状态,可以无意识睁眼,家属准备到专业康复科室进一步康复治疗,

希望好人有好报,早日康复。
我常常和家属聊,我说你们有什么动力让你们这样坚持不懈的救治,明明知道效果不好,他儿女说,母亲为我们付出太多,我们只想把她留下来,即使是一个躯壳也行。
到底是为了什么坚持? 为了那份割舍不断的亲情,为了那毫无结果的一丝奇迹希望,为了无法磨灭的记忆和母亲的哺育之恩,想把真实的亲人留在自己的身边。
为了那份割舍不断的亲情:中国人讲究团圆,讲究完美,一个家庭的团圆,离不开父母,父亲是天,母亲是地,父母在,就是一个家庭,父母不在,只是兄弟姐妹,如果走了一个,总有不团圆,少了什么一样的感觉,让人觉得孤独。家庭完美,离去一份子总会感觉生活中缺少什么。母亲生我时, 剪断的是我血肉的脐带, 这是我生命的悲壮 ,如果母亲*天升**, 剪断的是我情感的脐带, 这是我生命的悲哀!
为了那毫无结果的一丝奇迹希望: 那是因为知道没结果却在心里还有一丝幻想,希望奇迹会出现,谁愿意放弃那点点事实上不存在的希望呢?
为了无法磨灭的记忆和母亲的哺育之恩:想起母亲含辛茹苦的把我们拉扯大,岁月的付出谁能够明白,谁言寸草心,报得三春晖,我们现在的尽力救治也是无法弥补回报母亲哺育恩情之万一。我从来没有认真思考过关于母亲离去的事情。虽然意外和不幸每天都在身边发生,但是它们似乎又离自己很遥远。关于“至亲的人有一天会离开自己”这种假设从来不曾有过。但老人从内心里是不愿舍弃家人去天堂的,他求生的欲望是很强烈的;虽然照顾老人很辛苦、很痛苦,但想到当她可能离家人而去后的情景,我们宁愿让我们伺候着他,即便她不能活动,即便她没有多少意识,也许她能够感觉到儿女的期望,不愿意看见儿女失魂落魄、毫无生气、落寞的神情!母亲是家里的主心骨,在心理和精神上是一个依靠,如果他人走了感觉天塌下来了,自己没有了魂,精神头都没有啦!如果有如果,也许我会做得好很多。
好人一生平安,相信儿女与母亲的坚持有好的结果,相信生命也会因坚持而更精彩。
怎么样?你觉得本文对你有帮助的话请不要忘记点击“关注”二字再“点赞”一下呀,也可以多转发帮助其他有需要的人!我是专业的神经外科从事介入的医生,会有更多的脑血管疾病健康知识,干货“奉献”给你的。谢谢。
从他汀的前世今生看他防治脑血管疾病的必要性!
脑卒中,迟来的决定有何用!
老年人伤不起!
早期发现脑卒中,健康生活多一些。
上百元神经营养神药与几块钱的脑复康有啥区别?
缺血性脑卒中三个治疗方法比较,孰优?
高血压病人吃降压药后反而更加头晕是怎么回事?
防治缺血性脑血管疾病的两*法大**宝!
让动脉粥样硬化斑块缩小有办法!