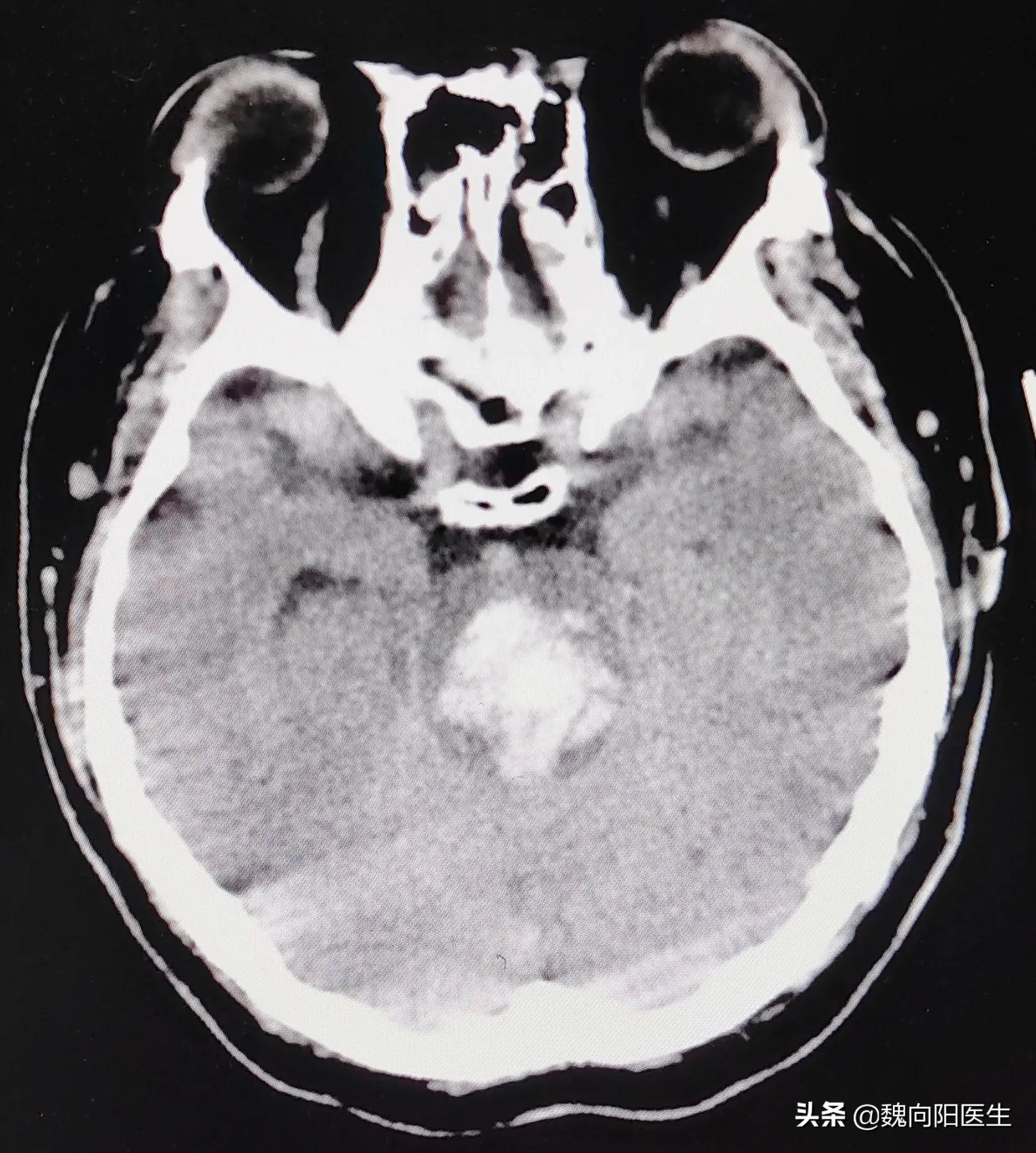
40多岁的他,因为长期没有有效控制血压,且对高血压的认识不足,并没有正规的服用降压药,最终在去年的某一天,因为脑干出血而住进了医院的重症监护室。
自从发病的那一天就一直处于昏迷状态,发病前作为一名普通的工人,默默无闻地为社会作出贡献,生活虽然不算富裕,但是过的也很充实,小日子还算幸福。
像这样的患者治疗起来还是棘手,不但要耗费大量的医疗资源,患者家属要承担高额的医疗费用,且治疗效果很是不理想。

脑干出血患者治疗后的三种结局
脑干出血患者经过积极努力的治疗,往往有三个结局:
第一种结局,也是我们最希望看到的,就是把患者治愈,患者完全好转出院,或者只遗留轻微的后遗症,可以基本回归生活。
第二种结局,经过积极努力的治疗之后,人最终没有挽留住,也就是人财两空,对于患者及家属来说,肯定是很大的打击,毕竟人都想活着。
还有第三种结局,经过医生、患者和家属的综合努力,患者的命终于是保住了,但是会遗留严重后遗症,甚至呈植物状态,也就是俗称的#植物人#。

对于第一种结局是很难出现的,也就是俗称的医学奇迹,因为大脑是很脆弱的器官,一旦出现损害就会造成不可逆的影响。
如果你是脑干出血患者的家属,你希望是哪种治疗的结局?
不给患者治疗可能会后悔,治疗成植物人可能会更后悔。
@魏向阳医生 温馨提示: 脑干出血之后,不要希望经过治疗可以恢复如初。我们能做的就是尽可能的去预防脑干出血,控制高血压是预防脑干出血的最简单、方便、有效的手段。
#脑出血#