到这里我们说茅台为什么好喝了。首先,关于茅台的味道,我们听到两个截然相反的说法:
1.茅台确实好喝。那味道,别的酒做不出来。
2.我就不信你能喝出茅台跟习酒的区别来!说茅台味道好的,都是装的!就像当年说《伊默斯晚餐》是艺术精品那帮人一样!
Bloom 教授讲,人家说好喝,并不是装出来的。这有科学实验为证。
近些年,欧美好些个大学都重复做了这个实验,得到相同的结论。
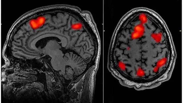
这个实验是让品酒人躺在 FMRI(功能核磁共振成像)机器上,嘴里含一根吸管吸红酒喝。
实验人员换不同的酒,告诉品酒人现在喝的是什么酒(有时候撒谎有时候说真话),同时用 FMRI 对大脑成像来监督味觉体验。
如果真的是味道好,大脑成像中某些部位(medial orbitofrontal cortex)会亮,如下图。


这些实验,无一例外地发现是这样的结果:


这些研究的结果说明,人们说茅台好喝,是真的感觉到了好喝,不是装的。但这有个前提,就是品酒人得知道那是茅台。如果不知道,那就很难喝了,而且也不是装的,是真的难喝。
这正如人们对《伊默斯晚餐》的前后两种截然不同的欣赏体验,也正如人们对周迅裸体的前后两种欣赏体验。所以 Bloom 教授说,我们都是本质主义者。
下次你请人喝酒的时候,如果酒不好喝,很简单,把价格签撕掉,换个名酒的签贴上去,酒的味道马上就变好喝了。是真的好喝!如下图。


那么我们可以得出结论了:
茅台为什么好喝?因为它贵。